在人们的日常生活中,有时候不经意间会吞下一些不该吞咽的东西,比如食物的核、药品的包装、饺子中的硬币,甚至小玩具。许多人可能认为这些小物件不会造成太大的伤害,但实际上,它们有可能引发严重的健康问题。

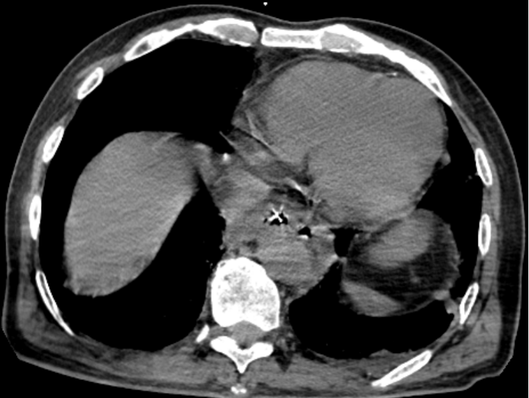
▲胸部CT可见食管内高密度异物及纵膈中低密度影
春节前的一个周末,一位老年男性患者就因为误食枣核3天就诊于北京市垂杨柳医院消化内科。消化内科医生谢俏在接诊后,根据患者病情,完善胸部CT检查,确认食管中段异物导致食管穿孔,同时已经出现了纵膈感染情况。患者血常规提示白细胞及C-反应蛋白明显升高,病情十分危重。谢俏立即联系医院胸外科医师赵云会诊,经学科讨论决定先行内镜下异物取出。

▲术中发现食管内可见枣核嵌顿,食管穿孔处有脓液溢出
使用异物钳将枣核取出,取出后测量枣核长度约3cm
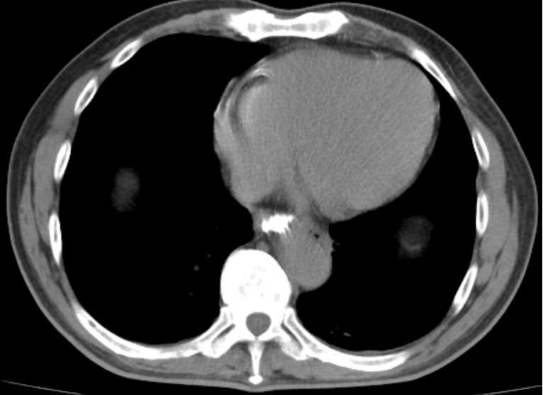
消化内科副主任医师黎俊及第二手术区副护士长刘晓静为患者进行急诊内镜下异物取出术。术中可见一枚枣核横跨在食管中段,其两端已经刺入食管左右壁,在食管穿孔局部进行吸引时,有大量脓液从穿孔处溢出。使用异物钳将枣核取出后,患者胸痛症状明显缓解。随后在内镜下放置鼻饲管及胃管进行引流,患者收入胸外科进一步诊治。在胸外科的细致诊治下,患者终于脱离险境,2周后复查胸部CT食管穿孔完全愈合出院。

▲经过2周治疗后,复查胸部CT未见造影剂外溢
这一事件引发了我们对异物误吞及其后果的关注。那么,枣核为什么会引发如此严重的后果?我们该如何预防这种情况的发生呢?
一、食管穿孔的成因与发展过程
食管是连接喉咙与胃的管道,负责将食物从口腔传送到胃部。正常情况下,食管壁由多层组织构成,具有一定的弹性和韧性。然而,当异物如枣核被误吞时,如果其大小、形状或坚硬程度不适合通过食管,卡在食管的狭窄部后,可能导致食管壁的撕裂或穿孔,进而造成内部出血和感染。
食管穿孔是一种非常严重的医疗急症,通常伴随着剧烈的胸痛、吞咽困难、呼吸急促等症状。食管穿孔后,食物和液体可以进入纵膈,导致纵膈感染、脓肿甚至败血症等并发症。这是一种较为严重的感染,通常需要紧急医疗干预,甚至可能危及生命。
在这起事件中,患者在误食枣核后未及时就医,导致病情加重,最终产生了纵膈感染。这一过程不仅仅是一个简单的异物误吞,还涉及身体反应的复杂性以及延误就医的严重后果。
二、应对策略与预防措施
为了减少误吞食物的风险,我们可以采取以下几种预防措施:
1.增强警惕意识:在日常生活中,尤其是吃坚果、枣类等带核水果时,要特别小心,尽量避免吞咽核类物体。家长应对小孩进行教育,提醒他们不要将小物件放入嘴中。老年人吞咽能力相对较弱,建议适量减少食用坚硬的食物。
2.仔细咀嚼:在吃东西时,尽量避免分心,比如看电视或使用手机。专注于进食可以减少误吞的可能性。在进食时,要养成细嚼慢咽的习惯,尤其是对于坚硬的食物,如枣子、坚果等。建议将食物尽量咀嚼成小块,避免大块食物直接吞咽。
3.定期健康检查:对于有吞咽困难或食管疾病史的患者,应定期进行健康检查,及早发现潜在问题。
4.及时就医:如果误吞了异物,切忌盲目尝试自我处理,应立即寻求医疗帮助。医生可以通过内镜等手段安全地取出卡在食管内的异物,避免可能的并发症。
通过这起事件,我们要深刻认识到误食异物的潜在危险性与严重性。希望大家都能在享受美食的同时,时刻保持对进食安全的关注,预防误吞事件的发生。愿每个人都能健康、快乐地生活,让饮食成为生活中的一种享受,而不是隐患的源头。


