患者女性,34岁,体检发现甲状腺结节。查体:左侧甲状腺可触及约3cm大小明显肿物,质软,局部皮肤无红肿破溃,无压痛及触痛。甲功:TPO 465.8。

超声所见:甲状腺双叶弥漫性改变,回声不均,内见许多散在低回声区,左叶中部见一个实性低回声区,大小约28×14mm,形态规则,边界清,内部回声不均匀,CDFI:其周边及内部见较丰富血流信号,TI-RADS-3级。

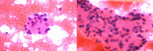
甲状腺-FNA:可见较多量甲状腺滤泡上皮细胞,排列松散或小团状,细胞核增大、拉长,核沟和核内假包涵体易见,背景中可见均质粉染透明变物质。

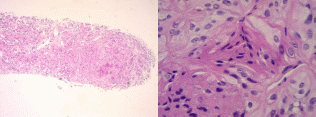
甲状腺-粗针活检:瘤细胞排列呈小梁状、器官样结构,细胞梭形或呈多角形,长轴垂直于基底膜,胞质丰富,嗜酸或透明,核沟及核内假包涵体,未见核分裂象,细胞巢间可见透明变的基底膜样物质沉积。

免疫组化结果:CK7、TTF-1、CD56、C117呈弥漫阳性,TG、Galectin-3呈灶状阳性,CK19、CT、CEA、CgA、S-100、CT、MC、P63、TPO、Braf呈阴性,Ki67(SP6/MIB-1)胞膜/胞质均呈阴性,核增殖指数<1%,胶原Ⅳ显示透明变基底膜样物质阳性。
分子病理结果:BRAF V600E基因15号外显子未见突变。
病理诊断:甲状腺透明变梁状肿瘤。
随访:射频消融术后随访6年,未见肿瘤复发及转移。
甲状腺透明变梁状肿瘤(hyalinizing trabecular tumor,HTT)是一种向甲状腺滤泡上皮细胞分化的肿瘤。Carney等于1987年报道了11例组织形态学特征不寻常的甲状腺滤泡性肿瘤,并命名为“玻璃样变梁状腺瘤” 。该肿瘤镜下主要以小梁状结构为特征,小梁间有较显著的透明变基底膜样物质沉积,核的特征与甲状腺乳头状癌重叠,并可能与甲状腺髓样癌及副节瘤等肿瘤混淆。HTT临床发病率低,Lee等报道HTT仅占甲状腺结节切除病例的0.2%(10/5111)。该肿瘤女性发病率高于男性,多见于中年女性。临床通常无明显症状,常因体检触诊发现甲状腺结节或影像学检查偶然发现,彩色超声多普勒常表现为甲状腺单发的实性低回声结节,边界清楚,类似于滤泡性肿瘤,结节周边及内部常见血流信号,钙化罕见。
HTT通常表现为单侧单发有包膜的结节,界限清楚,切面实性、分叶状,灰白至淡黄色。镜下肿瘤以形成小梁状优势结构为特征,或呈实性巢状、腺泡状结构,间质富于窦状毛细血管;肿瘤细胞梭形或呈多角形,胞质丰富,嗜酸或透明,长轴垂直于基底膜,核的特征类似于PTC,核沟及核内假包涵体易见,核周可见特异性黄色小体,核分裂象罕见。瘤细胞巢间可见大量透明变的基底膜样物质沉积,PAS染色及胶原Ⅳ免疫组化染色阳性。HTT细胞核的特征与PTC有重叠,针吸细胞学易误诊为PTC,HTT细胞学示甲状腺滤泡上皮细胞丰富,围绕淀粉样透明变基质呈放射状排列,无乳头及滤泡结构,无平铺细胞片,细胞核拉长呈梭形,核膜不规则,核沟及核内假包涵体易见,胞界不清。Marina N. Nikiforova等研究表明,与PTC不同,GLIS重排在HTT中较普遍,特别是PAX8–GLIS3重排,这种融合基因导致GLIS过表达,进一步上调细胞外基质基因引起胶原沉积,从而产生镜下肿瘤组织中胶原丰富的现象。
Ki-67(MIB-1)染色瘤细胞质/细胞膜阳性在HTT较具有特异性,但并不是所有的HTT都会出现这种现象,本例Ki-67(MIB-1)细胞质/细胞膜染色呈阴性。
HTT是一种低风险甲状腺肿瘤,绝大多数生物学行为良好,甲状腺腺叶切除可取得良好的治疗效果,应避免过度治疗。
[参考文献]
[1]Carney JA,R yuan J,Goellner JR. Hyalinizing trabecular adenoma of the thyroid gland[J].Am J Surg Pathol,1987,11(8):583-591.
[2]Lee S,Han BK,Ko EY,et al.The ultrasonography features of hyalinizing trabecular tumor of the thyroid are more consistent with its benign behavior than cytology or frozen section readings[J].Thyroid,2011, 21(3):253-259.
[3] Carney JA,Hirokawa M,Lloyd RV,et al.Hyalinizing trabecular
tumors of the thyroid gland are almost all benign[J].Am J Surg Pathol,2008,32(12):1877-1889.
[4]Bronner MP, LiVolsi VA, Jennings TA. PLAT:paraganglioma-like adenomas of the thyroid.[J].Surg Pathol,1988,1:383–389.
[5]李杰,宋欣,石怀银.甲状腺玻璃样变性小梁状肿瘤10例临床病理分析[J].诊断病例学杂志,2018,25(2):104-111.
[6]刘丽燕,张声,刘永建,等.甲状腺透明变梁状肿瘤6例临床病理分析[J].临床与实验病理学杂志,2014,30(9):1030-1033.
[7]Chiara Saglietti,Simonetta Piana,Stefano La Rosa,et al.Hyalinizing trabecular tumour of the thyroid:fine-needle aspiration cytological diagnosis and correlation with histology[J].J Clin Pathol 2017,70:641–647.
[8]Marina N. Nikiforova,Alyaksandr V. Nikitski,Federica Panebianco,et al. GLIS Rearrangement is a Genomic Hallmark of Hyalinizing Trabecular Tumor of the Thyroid Gland[J].THYROID,2019,29(2):161-173.
[9] Rumi Hino,Noriko Motoi,Kazutoshi Toda, et al. Stromal tiny black dots, like“sugar-coated”,of von Kossa stain[J].Pathology International,
2018,68:76–182.
[10]任配友,刘嘉,王培松,等.甲状腺透明变梁状肿瘤研究进展[J].中国肿瘤临床,2015,42(15):774-777.
[11]马佳敏,武林枫,王刚,等.甲状腺透明变梁状肿瘤诊治进展[J].中国实用外科杂志,2018,38(5):575-577.


