近日清华大学附属垂杨柳医院胸外科接诊一位中老年男性患者,既往酒精性肝硬化,肾衰竭长期透析病史,患者因“间断胸闷憋气”就诊,胸部CT提示右侧大量胸腔积液,2025年7月1日行右侧胸腔置管引流,每日引流黄色清亮胸水约2000ml,多次胸水化验未见肿瘤细胞、结核分支杆菌及细菌生长,给予内科保守治疗,间断引流并积极补充白蛋白。患者顽固性胸腔积液,引流管无法拔除,经我科科室会诊后,决定给予患者手术治疗。患者饱受“胸水”折磨,家属及患者本人手术意愿强烈,于7月23日全麻下行胸腔镜下滑石粉胸膜固定术,手术由胸外科崔健主任主刀,历时2小时,术中将滑石粉均匀涂抹于胸膜腔表面,过程顺利,术后积极给予抗炎、止疼等治疗,恢复顺利,过程中间断性发热,对症治疗后恢复正常并顺利拔除胸腔引流管。

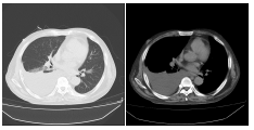
术前胸部CT

术中手术图片

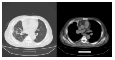
术后胸部CT
胸腔积液是什么?
您可以把它想象成我们的肺和胸壁之间(一个叫胸膜腔的地方)本来只有一点点润滑液,像机器里的润滑油一样。但如果因为生病,这里的水突然变多了,就好像这个小小的空间被水淹了,肺被水压着,人就会觉得喘不上气,这就是胸腔积液,俗称“胸水”。
为什么会有胸腔积液?
如果看到一个老人喘不上气、查出有胸水,最先想到的两大原因就是:一个是心脏不好;另一个是肝脏不好。当然,还可能存在的原因包括肺炎、肺结核、癌症等。
结合这个病例,我们来了解一下什么是肝性胸腔积液
这是一种特殊的“漏出液”,是肝硬化引起的严重并发症。 肝脏是身体里的一个“化工厂”和“滤水站”,负责合成一种叫“白蛋白”的重要物质,它像一块“海绵”能把水吸在血管里。如果肝脏变硬了(肝硬化),功能坏了。一方面,“海绵”白蛋白变少了,吸不住水;另一方面,肝脏内部的血管压力会变得非常高(门静脉高压)。结果水就很容易从血管里“漏”到肚子里(形成腹水),肚子里的水再通过膈肌上的一些小孔洞,“跑”到胸腔里去了(形成胸水)。这通常是右边单独有。一般情况下有长期肝炎病史或者长期大量饮酒的人更容易患病。肝性胸水发生率为5%~15%,最常见于右侧胸腔(85%),也可发生在左侧(13%)及双侧胸腔(2%)。
怎么治理?
1.基础治疗: 少吃盐、吃利尿药(“排水药”)、输白蛋白。
2.抽水: 能暂时缓解气喘,但治标不治本,反复抽还会让身体丢失大量营养。
3.做TIPS(降低门静脉压力手术): 一个比较复杂的介入手术,能减轻肝脏压力,从而减少水的产生,但不是所有人都适合。
4.胸膜固定术(就像这个病人做的): 这是对付顽固性肝性胸水的一个大招。医生通过胸腔镜(一种微创手术)往胸腔里吹一种叫“滑石粉”的药粉。这个药粉会刺激胸膜,让肺和胸壁这两层膜粘在一起,彻底消灭掉存水的空间。水没地方呆了,自然就不会再积水了。术后发烧是身体对滑石粉的正常反应,一般几天就好了。
5.终极办法: 肝移植。换一个健康的肝脏,从根本上解决问题。
总结一下:
肝性胸腔积液是肝硬化晚期的一个棘手问题,病人会非常喘。治疗上,当内科办法效果不好时,胸腔镜下滑石粉胸膜固定术是一个非常重要的有效方法,能显著提高病人的生活质量。
参考文献:Bubu A Banini,Multidisciplinary Management of Hepatic Hydrothorax in 2020: An Evidence-Based Review and Guidance


