肺作为人体不可或缺的供氧器官,是一种不可再生的宝贵资源。对于多发肺结节的诊治,不仅需要医生精准清除这些“不定时炸弹”,更需最大限度保留宝贵的肺组织。近期,清华大学附属垂杨柳医院胸外科成功完成一例多发肺结节患者的切除手术。
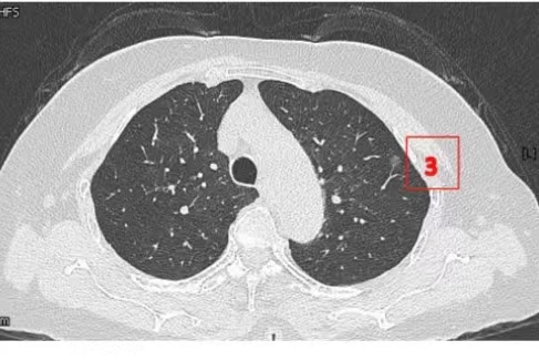
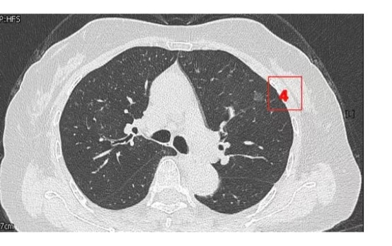
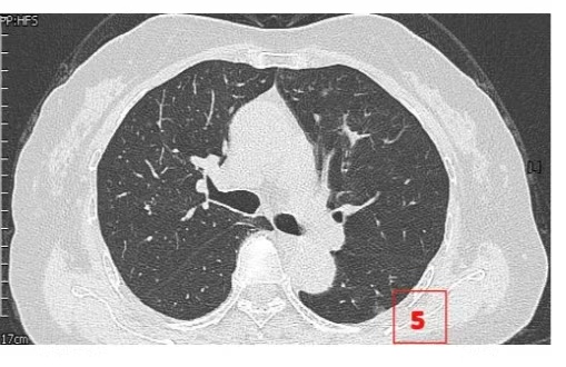
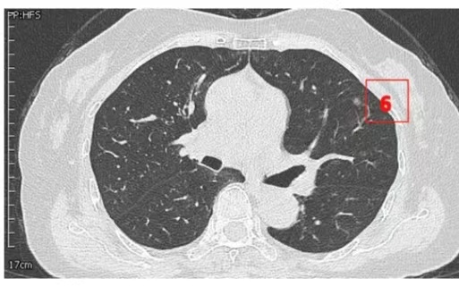
患者女性,71岁,因“发现左肺多发结节2周”入院。胸部CT提示左肺多发磨玻璃结节,较大者位于左肺上叶,呈类圆形,边界清晰,最大直径约9mm。该CT表现高度提示恶性可能。鉴于患者结节数量较多,为减少术中肺组织损伤,术前于CT引导下行经皮肺结节定位术,继而实施胸腔镜下左肺楔形切除术。术中共切除肺部结节6枚。术后病理示:左肺上叶较大结节(4号)为微浸润腺癌,其余5枚结节均为原位癌。患者术后恢复良好,于术后第1天拔除胸腔引流管,第4天顺利出院。






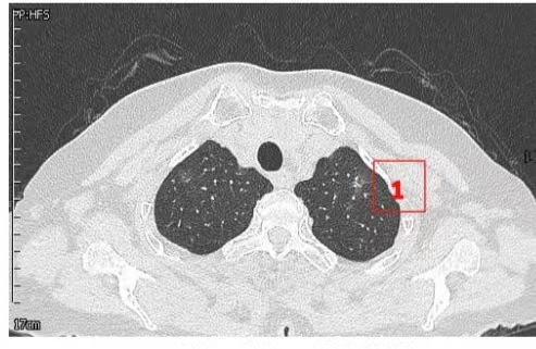
▲术前定位


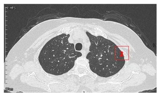
▲定位操作
科普小贴士:
1、肺结节可采用的治疗方式?
手术治疗:对于高危结节的治疗,外科手术切除是首选方式。
非手术局部治疗:不能耐受手术、拒绝手术的患者,可选用消融治疗(冷冻、射频)、立体定向放射治疗。[1]
2、特殊人群的早期诊治:同时合并这些信号的患者需立即行动!
长期吸烟者:年吸烟量>30包;
肺癌家族史:直系亲属有肺癌患者;
慢性肺病患者:COPD/肺结核/肺纤维化;
早筛建议:40岁起“年度低剂量CT”+肺癌抗体检测;发现肺部结节后,根据结节良恶性表现,在胸外科专业医师指导下定期复查或治疗。
温馨提示:
终结“结节焦虑”,发现肺部多发结节不要紧张,可在专业医师评估后,选择保守或手术治疗方案;对于需要手术的患者,大部分患者手术预后都很好,腔镜下手术治疗让患者不仅创伤较小,而且术后并发症也较少,预后快,出院早。清华大学附属垂杨柳医院胸外科以饱满的热情,精湛的技术,舒适的环境为您的健康保驾护航,以微创之刃清除疑云的“星空”!
参考文献:
[1]钟华,姚烽,陈群慧,等.肺部多发结节的诊断和治疗[J].中华肿瘤杂志,2023,45(6):455-463.DOI:10.3760/cma.j.cn112152-20220606-00390.
本文仅限于公益科普及学术交流,如有不适请及时就医。本文治疗方案仅适用于本病例。文中部分资料来源网络,侵删。


