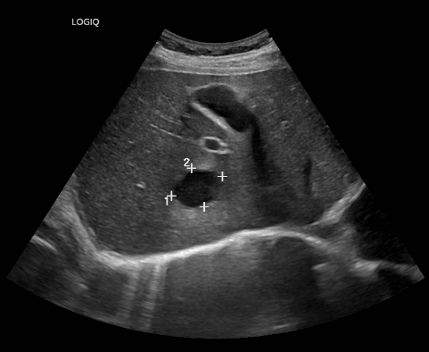
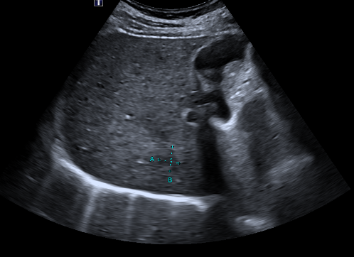
前段时间会诊了一名因为发热入院的老年患者,住院期间做胸部CT发现肝占位,因为既往有肺癌手术史,不排除肺癌肝转移,所以请肝胆外科会诊。经过肝脏超声等进一步检查(图1),考虑为肝脓肿可能性大,给予抗感染治疗后症状缓解后出院,5个月后复查,肝脓肿明显缩小(图2)。

图1:超声可见肝脓肿范围3.3cmx2.5cm

图2:超声可见肝脓肿范围缩小至1.5cmx1.3cm
肝脓肿是一种肝脏的严重感染疾病,主要由细菌、真菌或阿米巴原虫等微生物引起。其中,细菌性肝脓肿最为常见,多由胆道感染、血液性病变或肝脏外伤导致细菌入侵肝脏而引发。胆道系统的结石阻塞、糖尿病等导致机体抵抗力降低,都是细菌性肝脓肿的高危因素。阿米巴肝脓肿则与阿米巴虫的感染有关,通常通过粪口传播。肝脓肿的严重性不容忽视,它可能导致右上腹的胀痛、发热、畏寒等全身感染症状,甚至引发败血症、感染中毒性休克等严重并发症,威胁生命。因此,对于肝脓肿,早发现、早诊断、早治疗至关重要。
一、肝脓肿的成因
细菌性肝脓肿的成因主要为病原菌的入侵。其常见的入侵途径有经胆道入侵与经肝动脉入侵。经胆道入侵为细菌性肝脓肿最常见的入侵途径。患者在患有胆囊炎或胆管结石等疾病时并发化脓性的胆管炎时,细菌可沿胆管上行入侵,感染肝脏后形成脓肿。经肝动脉入侵是指患者体内的任何部位发生化脓性病变时,病原菌都可随肝动脉入侵,在肝内引发多发性的脓肿,例如化脓性骨髓炎、急性上呼吸道感染、亚急性的细菌性心内膜炎等。
阿米巴性肝脓肿的唯一病因为溶组织阿米巴原虫。在机体及肠道的抵抗力减弱的时候,阿米巴滋养体就会入侵肠壁,使其发生溃疡。阿米巴滋养体又可经肠壁的破损处淋巴管、静脉或直接入侵肝脏。大多数的滋养体在肝脏内被灭活,仅有少数滋养体得以存活,但其会在门静脉内部迅速的繁殖播散,引发局部的缺血与坏死。除此之外,阿米巴滋养体会不断的分泌溶组织酶,致使肝细胞出现液化、坏死及脓肿。阿米巴肝脓肿的脓腔相对较大,其内部充满脓液,脓液较为黏稠,无臭无菌。
二、肝脓肿的症状
肝脓肿的症状主要包括发热、肝区疼痛、肝肿大以及全身乏力、食欲减退等。其中,发热是最常见的症状,通常为持续性高热,体温可达39-40摄氏度。肝区疼痛表现为钝痛或刺痛,可随呼吸加重。肝肿大则是由于脓肿的形成和炎症的扩散导致肝脏体积增大。此外,患者还可能出现恶心、呕吐、腹泻等消化系统症状,以及贫血、消瘦等全身症状。
三、肝脓肿的诊断
肝脓肿的诊断主要依据患者的病史、临床表现、体格检查和实验室检查。病史方面,医生会询问患者的既往病史、用药史以及家族史等。临床表现方面,医生会观察患者的症状、体征等。体格检查方面,医生会进行肝区的触诊、叩诊等,以了解肝脏的大小、形态、质地以及有无压痛、叩痛等。实验室检查方面,主要包括血常规、肝功能、细菌培养、药敏试验等。此外,影像学检查如B超、CT、MRI等也是诊断肝脓肿的重要手段。
四、肝脓肿的治疗
肝脓肿的治疗主要包括抗生素治疗、手术治疗、介入治疗和支持治疗。
1.抗生素治疗
肝脓肿是由细菌感染引起的,因此抗生素是治疗肝脓肿的基础药物。根据病原菌的种类和药敏试验结果,选择敏感、有效的抗生素。常用的抗生素有青霉素类、头孢菌素类、氨基糖苷类等。抗生素治疗通常需要持续4-6周,以彻底消灭病原菌,防止病情复发。在治疗过程中,医生会根据患者的病情变化及时调整抗生素的种类和剂量。
2.手术治疗
对于较大的肝脓肿,或者抗生素治疗无效的患者,可以考虑手术治疗。手术方法包括脓肿切开引流、肝叶切除等。手术治疗的优点是能迅速清除脓液,缩短病程,但手术风险较高,需严格掌握适应证。在手术前,医生会进行全面的评估,以确定手术方式和风险。手术后,患者需要密切监测生命体征和病情变化,以及进行必要的护理和康复。
3.介入治疗
介入治疗是一种微创治疗方法,主要包括经皮穿刺脓肿抽吸和置管引流。这种方法创伤小,恢复快,适用于不能耐受手术的患者。介入治疗可以迅速减轻症状,降低并发症风险。在介入治疗过程中,医生会在超声或CT的引导下进行穿刺操作,以准确抽取脓液或放置引流管。治疗后,患者需要定期进行复查和随访,以了解治疗效果和病情变化。
4.支持治疗
肝脓肿患者需要卧床休息,保持充足的水电解质平衡,纠正营养不良,提高机体免疫力。支持治疗还包括对并发症的处理,如抗休克、纠正电解质紊乱等。在支持治疗过程中,医生会密切关注患者的生命体征和病情变化,以及进行必要的营养支持和护理。
五、肝脓肿的预防
预防肝脓肿首先要保持健康的生活方式,增强机体抵抗力。对于胆道疾病、糖尿病等高危人群,更应定期体检,及时发现并治疗潜在疾病。同时,注意饮食卫生,避免摄入被污染的食物和水源。此外,对于已经患有肝脓肿的患者,应积极治疗原发病灶,避免病情复发和恶化。
总之,肝脓肿是一种严重的肝脏感染性疾病,需要及时诊断和治疗。通过合理的治疗方案和预防措施,可以有效地控制病情、缓解症状、提高患者的生活质量。


