一提到急性白血病,人们谈虎色变,是因为急性白血病有起病急、病情进展快、发病初期死亡率高、疾病有复发风险等特点!绝大多数急性白血病治愈的唯一方法是异基因造血干细胞移植。有一种急性白血病,可以不用行造血干细胞移植即可治愈。我科近期就收治了一例能治愈的急性白血病-急性早幼粒细胞白血病(AML-M3)!
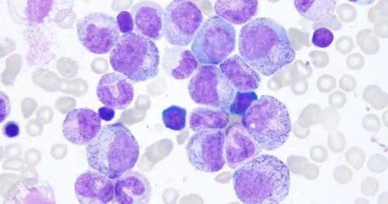
患者为年轻女性,由于“间断发热1周余、发现白细胞增高、血小板减少1日”来我院血液科门诊就诊。血常规提示,外周血可见到异常细胞!且同时患者凝血异常!紧急收住院后,行骨髓象、免疫分型、融合基因、染色体等检查,很快确诊为急性早幼粒细胞白血病(高危)。让人揪心的是,患者住院时已经合并弥散性血管内凝血(DIC)!随时有脑出血或其他脏器出血、血栓危及生命的可能。立即给予患者全反式维甲酸联合砷剂诱导分化治疗。但更吓人的是,经过诱导治疗,患者的白细胞计数急速上升,从治疗前的白细胞计数10×109L,很快升至60×109/L!凝血异常及低纤维蛋白原血症越来越重!出血风险越来越大,患者生命危在旦夕!
患者年纪轻,是家里的顶梁柱,生病住院后家里没了主心骨。时间就是生命!科里为该患者制定了早晚两查房方案,每天全科讨论,对每一个化验指标详细解读,不放过病人的任何一个临床表现变化,密切监测病情变化,根据患者病情随时调整治疗,全力以赴救治APL患者。这个年轻APL患者的病情牵动着全科人的心。患者经历了DIC、诱导分化综合征、肺部感染、家属难以接受患病事实几乎崩溃等重重难关。这例APL患者的成功诊治得到了北京大学人民医院血液病研究所江浩教授的精心指导。经过无比艰难的2周余的治疗,最终换来了患者的转危为安,医务人员的一切辛苦都是值得的。患者已于近日出院。
急性早幼粒细胞白血病究竟是一种什么样的白血病呢?急性早幼粒细胞白血病(APL,又称:M3)是一种特殊类型的急性髓系白血病(AML),绝大多数患者具有特异性染色体易位t(15;17)(q22;q12),形成PML/RARα融合基因,其蛋白产物导致细胞分化阻滞和凋亡不足,是APL发生的主要机制。APL易见于中青年人,平均发病年龄为44岁,APL占同期AML的10%~15%,发病率约0.23/万。近三十年来,由于全反式维甲酸(ATRA)及砷剂的规范化临床应用,APL已成为基本不用进行造血干细胞移植即可治愈的白血病。虽然多数APL可以不用行造血干细胞移植术即可治愈,但在发病初期、疾病控制稳定前APL患者临床表现凶险,起病及诱导治疗过程中容易发生出血和栓塞而引起死亡。简而言之,大多数APL预后好,但发病时极为凶险,随时有生命危险!




文章仅用于公益科普及学术交流,部分资料和图片来源于网络,如有侵权,请联系删除。


