一般正常成年人,脑的平均重量约1400克,占体重约2%左右,大约有140亿个神经细胞,是人体中最娇弱的器官,只要脑血流中断5—7分钟,脑神经细胞就会出现不可逆的损害,也就是说一旦神经细胞因缺血缺氧发生死亡,便不会再生,这就是为何脑卒中后很多患者留有后遗症的原因。
脑的血液供应主要依赖于两大供血系统:颈内动脉系统和椎基底动脉系统,颈内动脉系统主要负责大脑半球前2/3的血液供应,包括双侧大部分额叶、顶叶和双侧颞叶;椎基底动脉系统主要负责大脑半球后1/3(后枕区域)及脑干、小脑等血液供应。相对来说,椎基底动脉系统对人体更重要,因为大脑好比是人体的司令部,而脑干又可称为大脑的司令部,主宰头面部及躯干、四肢的运动、感觉,脑干内还有心血管运动、血压、呼吸的调节中枢,有保持清醒状态的网状上行激活系统,功能非常强大,所以,脑干内脑细胞破坏导致的临床症状往往较重,严重者可导致植物状态,甚至危及生命。

脑血管疾病是指由各种原因导致的脑血管性疾病的总称。卒中是脑血管病的主要类型,脑卒中一般分为缺血性卒中(包括脑梗死、短暂性脑缺血发作)和出血性卒中(包括脑出血和蛛网膜下腔出血)两大类。脑梗死是由于各种原因所致的局部脑血管闭塞、血流中断,脑组织发生缺血缺氧性坏死而导致相应神经功能缺损的综合征。如果脑部血液供应障碍是暂时的,局部脑血管短时间血流中断后又很快复流,导致患者出现短暂的神经功能缺损症状,即称为短暂性脑缺血发作。短暂脑缺血发作是可控性疾病,是脑梗死的先兆,一旦发生需要及时就医,尽快治疗,否则发作越频繁、发作持续时间越长,发生脑梗死的几率越大,从而导致不可逆性神经功能缺损,可能给患者带来终生残疾。


因脑供血血管突发阻塞所引起的卒中称为缺血性卒中。占全部卒中的60-80%

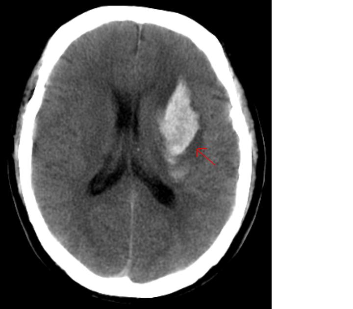
因局部血管破裂导致血液外溢,侵入脑组织所引起的卒中称为出血性卒中
突然发生以下症状要考虑可能是卒中:突然发生的口眼歪斜、言语不利、单眼或双眼视物模糊或黑朦、复视,单侧上肢/下肢或偏侧肢体无力、平衡障碍、突发的反应迟缓、意识不清等。发生以上情况,需第一时间到住址附近的卒中中心或具备卒中急救绿色通道的医院就诊,以免延误病情。卒中的救治效果与就医是否及时息息相关。每节约一分钟,将减少200万个脑细胞死亡,所以说,时间就是大脑,切勿舍近求远。
一旦发生脑卒中,脑细胞会出现不可逆性损害,临床症状虽然经过积极治疗大部分患者可有不同程度恢复,但病情较重者往往会遗留后遗症状。所以,严防卒中,预防至关重要,这个话题后续会给大家介绍。
本文仅用于公益科普,如有不适请尽快就医,部分图片来源于网络,侵删,谢谢!


