蛛网膜下腔出血(SAH),尤其是高分级动脉瘤性SAH(aSAH),被公认为神经科最凶险的急症之一。一旦动脉瘤破裂,患者面临着再破裂出血和急性脑积水致颅内高压的双重致命威胁。
近日,清华大学附属垂杨柳医院神经外科成功救治一例WFNS分级V级的重症aSAH患者。采用介入栓塞联合脑室外引流(EVD)双管齐下的策略,最终患者转危为安。
患者韩先生,入院3天前洗澡后出现头痛头晕,未诊治,因症状加重前来清华大学附属垂杨柳医院神经内科门诊就诊。期间,患者头痛剧烈,伴恶心呕吐,被紧急送至急诊科,头颅CT提示蛛网膜下腔出血、脑室出血(Fisher分级4级)。随即患者出现昏迷,GCS5分,呼吸困难,急诊行气管插管,呼吸机辅助呼吸,并联系医院神经外科前来急会诊。


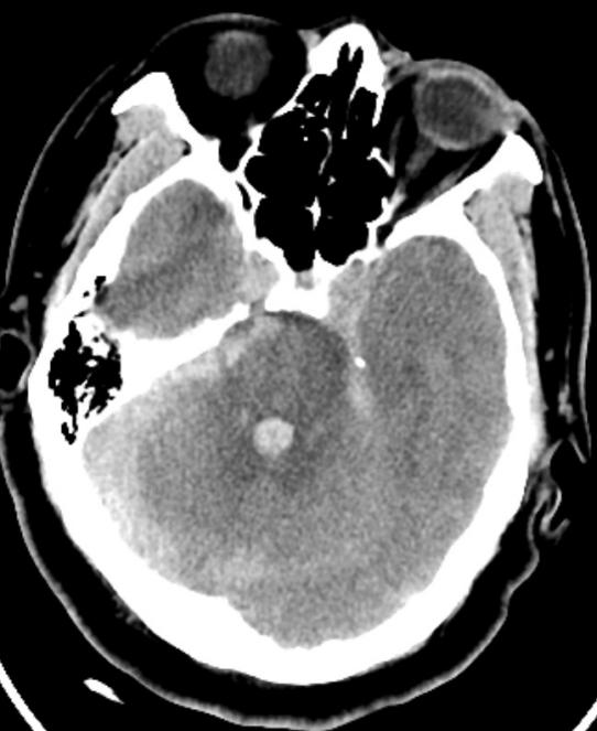
▲头颅CT显示广泛蛛网膜下腔出血,脑室积血
神经外科副主任医师刘磊前往急诊会诊后,联系上远在外地的患者妻子,得知患者既往有高血压病史。经刘磊仔细研判病情认为,患者颅内动脉瘤破裂可能性最大,且存在多次破裂出血。经与患者家属电话沟通,患者多次颅内出血,出血量大,病情进展迅速,现Hunt-Hess分级5级,死亡率极高。即使存活,严重残疾率也极高。家属表示理解并同意积极治疗。时间就是生命,跟死神抢人,脑血管病介入团队迅速制定手术策略:急诊在全麻下行介入栓塞+脑室外引流术。
手术于复合手术室进行。先用血管造影机行CT检查提示脑室出血增多,脑室铸型,急性脑积水形成。团队立即行左侧脑室钻孔引流术,于左侧脑室内放置脑室引流管,颅内压极高,引流血性脑脊液。随后行脑血管造影提示左侧大脑前动脉A2段动脉瘤,团队采取微创治疗,应用支架辅助,于动脉瘤内填入3枚弹簧圈,造影显示动脉瘤完全闭塞,载瘤动脉通畅。手术历时3小时,手术完毕后行CT检查未见新发颅内出血,脑室引流管位置良好。

▲栓塞前

▲栓塞后
术后患者转入ICU,接受机械通气、镇静镇痛、防治脑血管痉挛、脱水降颅压等治疗。复查头颅CT见颅内出血逐渐减少,无脑梗死及脑积水。术后一周拔除脑室引流管,行气管切开术。患者病情逐渐好转,术后3周脱离呼吸机,转至当地康复医院继续治疗。出院时患者能自动睁眼,左侧肢体可活动。
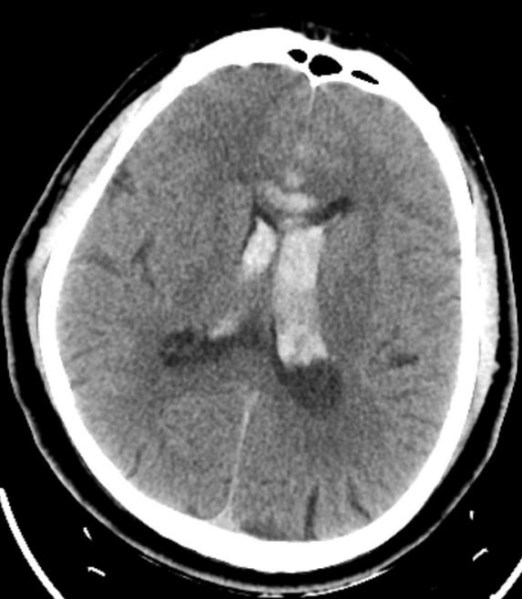
▲脑室引流前

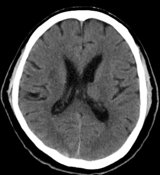
▲出院前
出院后1个半月,患者家属发来患者康复期间视频,患者气管切开已封口,除记忆力轻度障碍外,其他神经功能均已基本恢复。在电话中,患者家属对医院神经外科及时、精准、有效的治疗表示了感谢。

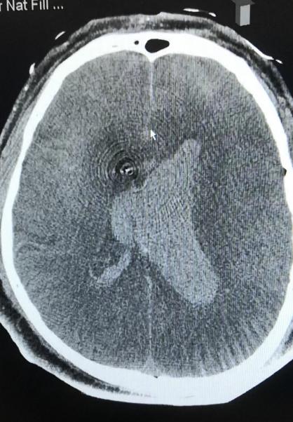
▲术后3周

▲术后2个月
此例手术在复合手术室完成,避免了搬动转运患者,节约了抢救时间。此前,清华大学附属垂杨柳医院神经外科已在复合手术室采取杂交手术成功抢救多例急诊重症脑血管病患者,体现了医院神经外科处理复杂脑血管病的技术实力。今后,清华大学附属垂杨柳医院神经外科将继续致力于提升学科综合实力,为百姓健康保驾护航。


