近日,清华大学附属垂杨柳医院神经外科脑血管病介入组成功为一名70岁患者实施椎动脉狭窄支架植入术联合动脉瘤栓塞术,一次手术解决两大难题。术后患者恢复良好,次日即顺利出院。
患者高先生,70岁,患有高血压病多年。2年前曾行冠状动脉搭桥术,平素规律服药。2个月前,他因左上肢突然麻木被送至清华大学垂杨柳医院急诊科就诊。头颅CT提示右侧顶叶少量蛛网膜下腔出血。后入住神经外科进一步诊治,全脑血管造影(DSA)结果显示:右侧椎动脉起始部重度狭窄约70%,左侧椎动脉颅内段闭塞;右侧椎动脉颅内段存在直径约3.5×2毫米的夹层动脉瘤;右侧颈内动脉颅外段存在重度狭窄,左侧颈内动脉通过前交通动脉代偿。

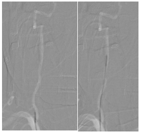
▲右侧椎动脉起始重度狭窄左侧椎动脉颅内段闭塞

▲右侧椎动脉V4段夹层动脉瘤

▲右侧颈内动脉颅外段重度狭窄,左侧颈内动脉代偿右侧颅内
椎动脉是供应小脑和脑干的主要血管,狭窄易导致后循环缺血、梗死。而远端动脉瘤如同埋藏在血管壁上的“不定时炸弹”,一旦破裂,致死致残率极高。
考虑患者此次少量蛛网膜下腔出血与颅内动脉瘤无关。患者右侧颈内动脉重度狭窄,左侧椎动脉颅内段闭塞,后循环供血完全依赖于右侧椎动脉,因此右侧椎动脉起始重度狭窄合并远端动脉瘤手术指征明确。结合患者“狭窄+动脉瘤”同时存在的现状,经过医院神经外科讨论,脑血管病介入组提出了治疗方案,即:一期(一次手术)行“椎动脉狭窄支架植入+动脉瘤支架辅助弹簧圈栓塞术”。手术的关键在于策略和顺序:既要恢复血流,又要防止斑块脱落,还要确保动脉瘤致密栓塞。
经过充分术前准备,介入手术在导管室护士、技师及麻醉师的全力配合下,择期在全麻下进行。术中,神经外科副主任医师刘磊利用“四步走”的方式,为患者进行手术:
第一步,通路建立与保护。经股动脉穿刺建立通路。考虑到狭窄程度重,导引导管难以通过椎动脉开口,强行通过易导致斑块脱落,甚至损伤血管内膜致夹层。刘磊副主任医师应用小球囊穿梭技术顺利引导导引导管通过椎动脉起始狭窄处,到达指定位置。

第二步,处理动脉瘤,拆除不定时炸弹。医生将微导管超选择进入动脉瘤腔内,依次填入数枚弹簧圈,直至动脉瘤完全栓塞,不再显影。因为动脉瘤瘤颈宽,故于载瘤动脉内植入了支架以达到致密栓塞,降低复发率。

第三步,解除狭窄,恢复血流。选择合适尺寸的球囊扩张式支架,精准释放于右侧椎动脉起始部狭窄段。

第四步,最终验证。再次造影显示:狭窄消失,支架位置良好。动脉瘤不显影,弹簧圈致密填塞。

手术历时约2.5小时,患者术后头部昏沉感明显好转,次日顺利出院,无新发神经功能障碍。
此次手术的成功实施,体现了清华大学附属垂杨柳医院神经外科在处理复杂脑血管疾病方面的技术实力。通过一期手术同时解决椎动脉狭窄和远端动脉瘤,既避免了患者分次手术的负担,也降低了术中风险,为复杂脑血管病变患者提供了更优的治疗选择。


