近日,清华大学附属垂杨柳医院胸外科成功诊治一名80岁高龄小细胞肺癌患者,通过精准诊断与规范化综合治疗,显著改善患者症状,取得良好近期疗效。
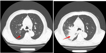
患者王大爷一年前体检发现右肺上叶有一约6×4mm结节,当时未予重视。一年后,他突然出现活动后喘憋症状,复查胸部CT显示右肺上叶后段出现约50×50mm不规则实性团块,影像学高度怀疑肺恶性肿瘤。

入院后,胸外科团队为患者行超声引导下经支气管针吸活检(EBUS-TBNA),病理结果提示为小细胞癌,并发现纵隔淋巴结转移。进一步全身检查显示,患者已出现肋骨及肝内多发转移,诊断为右肺上叶小细胞肺癌(cT3N2M1c IVB期)。
小细胞肺癌是一种生长快、侵袭性强、易早期转移的神经内分泌肿瘤,约八成患者确诊时已处于广泛期。针对王大爷的病情,胸外科团队制定了化疗联合免疫治疗的个体化方案,采用依托泊苷联合顺铂,并加用替雷利珠单抗免疫治疗。
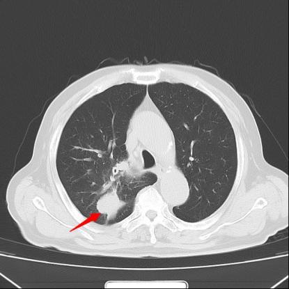
经过一个周期的治疗后,患者喘憋、咳嗽等呼吸道症状明显缓解,复查影像显示右肺上叶肿物显著缩小,疗效评估良好。这一结果让患者及家属重拾治疗信心,也为下一阶段治疗奠定了基础。
清华大学附属垂杨柳医院胸外科在肺部肿瘤诊疗方面具备一体化核心优势,可安全规范开展超声支气管镜等精准活检技术,在明确肿瘤分型分期的同时保障操作安全。科室依托多学科协作与精准影像评估,实现肺部肿瘤的“早筛、早诊、早治”闭环管理,既能为早期患者提供胸腔镜微创根治手术,也能为中晚期患者制定个体化综合治疗方案,在手术根治性、器官功能保护及术后快速康复等方面形成特色优势。

近年来,免疫检查点抑制剂联合化疗已成为广泛期小细胞肺癌的标准治疗方案,多项临床研究证实该策略可显著延长患者生存期。此次王大爷的成功诊治,体现了清华大学附属垂杨柳医院胸外科紧跟学科前沿、践行规范化诊疗的临床实践能力,也为高龄复杂肺癌患者提供了有效的治疗选择。


