
近日,清华大学北京清华长庚医院神经外科联合急诊科、麻醉科、手术室、重症监护室(ICU)等多学科团队,成功急诊救治一名因脑出血导致昏迷的30岁青年患者。经治疗患者神志清醒,肢体活动、言语及各项功能恢复良好,顺利康复出院。
患者从事互联网工作,经常连续熬夜加班。此前,他已出现头晕头痛、四肢无力、走路不稳等,居家休息,不料突然昏迷,被邻居送至清华大学北京清华长庚医院急诊科。
到院时,患者已陷入昏迷,无法言语,呼吸急促,躁动不安并伴有大量呕吐。急诊科团队立即启动绿色通道,紧急完成头颅CT及脑血管检查,结果提示脑出血(脑内血肿),并已引发急性脑积水、枕骨大孔疝——这意味着脑组织正遭受严重压迫,脑干功能濒临衰竭,患者随时可能出现呼吸、心跳骤停,生命危在旦夕。

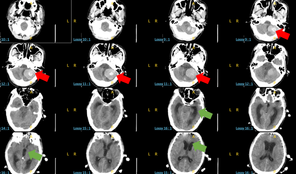
术前头颅CT:红色箭头示巨大脑内血肿,
绿色箭头是脑积水导致幕上脑室系统扩张,脑组织受压
神经外科值班医师、副主任医师张培海紧急会诊,并向科室副主任郭毅汇报病情。团队果断制定了“脑室钻孔外引流术联合乙状窦后入路显微镜下脑内血肿清除术”的急诊手术方案,旨在第一时间降低颅内压、清除血肿、解除脑疝风险。

张培海主刀手术
手术在当晚迅速开展。在麻醉科的精准护航下,张培海主刀,手术顺利实施,术中可见,原本因高压而高度膨胀的脑组织逐渐恢复常态。术后复查头颅CT显示脑内血肿病灶已清除,脑积水明显缓解。从患者晚9点多被送至急诊至次日凌晨4点手术完成,仅共用时6小时左右。
次日,患者意识逐渐转清,经过ICU与神经外科病房医护团队的接力治疗和精心护理,患者恢复迅速:逐渐能够独立操作手机,四肢均可自主活动,未遗留偏瘫、失语等神经功能障碍,在家人搀扶下床活动,饮食、大小便功能均恢复正常,一周后顺利出院,目前患者已恢复正常生活。
新闻链接
张培海医师提醒,脑出血并非中老年人专属,青年人同样可能罹患,且常起病急骤、病情凶险。严防脑出血,这些信号与习惯至关重要:
诱因警惕:过度疲劳与感染是重要导火索
避免身体严重透支:长期熬夜、连续高强度工作、精神压力巨大,会导致血压剧烈波动、血管调节功能紊乱,大大增加脑血管意外风险。
感染期间尤其当心:病毒或细菌感染(如流感、肺炎等)可引起全身炎症反应,可能导致血管内皮损伤、血压升高,诱发脑出血。感染后出现异常头痛、呕吐、乏力、意识改变时,需格外警惕。
控制基础风险:血压管理是核心
许多青年高血压患者并未自知或不重视。建议定期监测血压,尤其有家族史、肥胖、生活习惯不良者。确诊高血压必须遵医嘱规范治疗,切勿随意停药。
识别预警信号:及时就医是关键
突发剧烈头痛(常描述为“一生中最严重的头痛”)、头晕、恶心呕吐、肢体麻木或无力、言语不清、视物模糊、行走不稳、意识障碍等,均可能是脑出血的征兆。一旦出现,应立即拨打急救电话,或尽快前往有救治能力的医院急诊。
养成健康生活方式:预防重于治疗
规律作息,保证充足睡眠,避免长期熬夜。
均衡饮食,限制盐、脂肪摄入,避免暴饮暴食,尤其是高脂高盐餐饮。
保持情绪稳定,学会释放压力,避免过分激动或愤怒。
适度锻炼,增强心血管功能。
定期体检,关注血压、血脂、血糖等指标。


