标准化+个性化:为晚期肺肉瘤样癌患者带来希望
近日,清华大学附属垂杨柳医院胸外科通过化疗联合免疫治疗方案,成功为一例晚期肺肉瘤样癌患者实现肿瘤明显缩小及症状缓解,为后续治疗奠定基础。
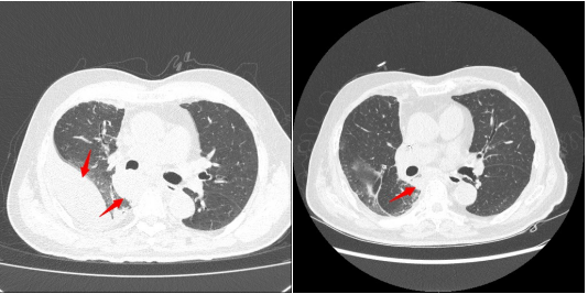
患者为76岁男性,三个月前突发右侧胸痛伴胸闷,症状进展迅速,一周后需持续吸氧。当地医院检查发现右侧大量胸腔积液,胸部CT提示右肺门巨大占位,伴胸膜肿物及纵隔淋巴结肿大。转入清华大学附属垂杨柳医院胸外科后,经团队行经支气管超声引导纵隔淋巴结穿刺活检,病理确诊为肺肉瘤样癌,PD-L1表达大于90%,PET-CT进一步明确为晚期病变。
针对该患者病情特点,胸外科团队制定了化疗联合免疫治疗的个体化方案。2025年11月下旬及12月中旬,患者分别完成两个周期的白蛋白紫杉醇+卡铂联合帕博利珠单抗治疗。治疗后患者胸闷、喘憋等症状显著缓解,影像学复查显示右肺门肿瘤及胸膜多发转移病灶均明显缩小,治疗效果显著。目前患者整体病情得到有效控制,已出院继续接受恢复性治疗。

此病例的成功救治,体现了医院胸外科在晚期肺癌特别是少见病理类型诊疗方面,通过精准病理诊断、规范分期评估及个体化综合治疗,为患者提供系统、有效的全程管理。科室将继续跟进该患者治疗进展,并不断优化肺癌多学科诊疗模式,提升复杂肺癌病例的诊治水平。


