近日
清华大学北京清华长庚医院
普通外科、超声科的两位年轻医师
联手诊断了一例不典型的甲状旁腺肿瘤
见证了临床与医技间的默契
也见证了新生代的“较真儿”劲
普通外科主治医师刘安阳接诊了一位“浑身不得劲”的患者,详细询问后,自述脖子上有个小鼓包。刘安阳门诊查体没有发现异常,为了安抚患者的焦虑情绪,同时排除淋巴结问题,开立了甲状腺超声检查。
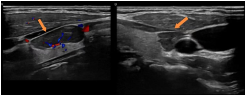
超声科主治医师谭庆亭执行甲状腺超声检查时,发现患者左叶外侧有一个低回声结节,位置有些“尴尬”——既不像典型的甲状腺结节,也不在正常甲状旁腺的解剖区域,于是在报告中审慎写道:“甲状腺来源可能性大,其他来源不除外。

看到这句超声诊断,刘安阳立刻意识到这背后谨慎的留白。他打开超声图像仔细查看:结节回声均匀,包膜完整,血供丰富,与甲状腺相对独立,虽然也确实不在典型旁腺位置,但“不除外”三个字,已是最重要的提示。刘安阳随即为患者开具针对性检查,结果迅速印证了判断:
· 甲状旁腺激素(PTH):159.23 ng/L(参考范围12.0–88.0),显著升高;
· 血钙:2.59 mmol/L(参考范围2.11–2.52),同步升高;
· 离子钙:1.36 mmol/L(参考范围1.15–1.29),亦高于正常;
生化指标明确指向“原发性甲状旁腺功能亢进”,结合超声特征,该结节高度考虑为异位于甲状腺区域的甲状旁腺瘤。事后交流时,谭庆亭说:“当时确实很纠结,位置太不典型,直接下旁腺诊断依据也不充分。”刘安阳回应:“你写的‘不除外’,就是给我最重要的线索。如果只报‘甲状腺良性结节’,这个甲旁亢很可能就错过了。”
一次潜在的漏诊,因报告的“留白”与临床的“警觉”,被及时拦截。虽然是一项良性病,但如果长期未诊断,会导致患者肾结石、骨质疏松、高血压等等严重的并发症。
这看似巧合的默契,背后其实是长期积累的协作习惯。在整合式医疗的背景下,一个包含超声、病理、外科多学科成员的小群长期保持着高效协同——不典型的图像、存疑的报告、有趣的病理,常常被“丢”进去讨论。日复一日的“切磋”,养成了彼此之间的“心照不宣”。在这个高效协同的平台上,普通外科主任罗斌始终鼓励“在沟通中共同提高”;超声科主任张华斌,总会在诊断模糊的时候,“浮出水面”,一锤定音;病理科主任尹洪芳团队,提供的金标准诊断,常常为疑难病例画上圆满句点,让临床诊疗形成有效闭环。
致敬每一位在报告里深思熟虑、在诊断中慎之又慎的医者,更要点赞爱“较真”、常“争论”、始终向着真相靠近的团队!在医学的路上,有人同行、有人共思,幸也。


