2026年1月,在心脏中心及心内科核心组指导支持下,在麻醉科、血管外科、超声医学科等多个兄弟科室大力协助下,心内科结构性心脏病团队在开展常规瓣膜介入治疗的同时,成功完成多例高难度复杂瓣膜介入手术。
病例一
团队为患者实施了经腋动脉导管主动脉瓣置换术(TAVR)。患者是73岁男性,有陈旧性心肌梗死、心力衰竭、心脏骤停及心脏支架手术病史,因反复呼吸困难3年、近1个月加重至无法平卧,入住朝阳医院冠心病重症监护室(CCU)。检查显示患者心脏功能严重受损,主动脉瓣存在中重度狭窄与关闭不全,心脏扩大且泵血能力下降,还伴有肺动脉高压。患者符合TAVR手术条件,但术前发现下肢动脉病变严重,一侧血管闭塞、另一侧严重狭窄且钙化明显,无法通过常规的股动脉入路手术。经多学科讨论,决定改用非常规的腋动脉入路实施手术。在杂交手术室,血管外科副主任宋盛晗团队全力协助,心内科主任医师徐立带领结构性心脏病介入治疗团队,顺利经左侧腋动脉为患者置入瓣膜,术后复查无明显异常。患者当日便拔除气管插管,恢复情况良好,心脏功能明显改善,术后4天顺利出院。

经腋动脉导管主动脉瓣置换术(TAVR)患者相关影像
病例二
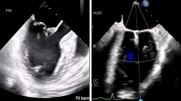
团队成功为一例巴洛综合征(Barlow综合征)合并重度二尖瓣关闭不全患者,实施经导管二尖瓣缘对缘修复术(TEER)。经股静脉TEER术已是朝阳医院常规开展的成熟技术,而巴洛综合征因心脏瓣膜质地脆弱、脱垂范围广,在技术开展初期被列为高风险“红区”病变,视为手术相对禁忌。朝阳医院在熟练开展“绿区”“黄区”常规病例TEER手术的基础上,借鉴国内外经验,成功攻克这一难题。患者为74岁女性,因突发呼吸困难无法平卧3天急诊入住CCU,有房颤、陈旧性脑梗及左侧偏瘫病史。检查显示其二尖瓣严重脱垂,导致重度关闭不全,心脏血液反流明显。经与家属充分沟通后,团队为患者实施TEER手术。在麻醉科、超声医学科精准配合与引导下,手术团队顺利置入两枚夹子修复瓣膜。术后复查显示,瓣膜脱垂问题完全解决,仅残余微量反流,无瓣膜狭窄情况。患者术后即刻清醒拔管,安返病房并顺利出院。

经导管二尖瓣缘对缘修复术(TEER)治疗巴洛综合征合并重度二尖瓣关闭不全患者相关影像
病例三
团队采用经股动脉TAVR术,成功救治一例大瓣环单纯主动脉瓣关闭不全患者。以往这类手术因瓣膜缺乏足够固定力,仅适用于部分解剖条件合适的患者。新型带定位件的经股动脉TAVR器械手术创伤更小、患者恢复更快。患者为73岁男性,因间断胸闷不适2年、加重1周入住外院,检查发现主动脉瓣重度关闭不全、心脏扩大,左心室射血分数(LVEF)降至35%,外院评估后认为不适合常规手术,遂转入朝阳医院。患者还伴有慢性肾病与贫血,身体基础条件较差。进一步检查显示,其心脏瓣环偏大,血管形态特殊,即便使用新型器械,仍存在瓣膜脱落、栓塞的高风险。针对这一复杂情况,麻醉团队协助实施镇静局麻后,手术团队小心翼翼输送瓣膜,精准调节定位件并高位植入。术后仅残余微量瓣周漏,心电图无传导阻滞情况,患者即刻清醒,顺利返回病房。

经股动脉TAVR治疗大瓣环单纯主动脉瓣关闭不全患者相关影像
新年伊始,上述复杂瓣膜介入手术的成功,彰显了心内科结构性心脏病团队在开展常规介入手术的基础上,具备救治高危、复杂心脏瓣膜疾病患者的过硬能力,为这类患者带来了新的康复希望。


