近日,首都医科大学附属北京朝阳医院石景山医院呼吸与危重症医学科通过多学科协作(MDT)模式,成功为一名辗转多地、久治不愈的复杂肺部疾病患者明确了诊断,并制定了精准治疗方案。
山西患者栗女士(化名)一年来反复出现气短、口唇青紫,曾在多家医院就诊,尝试过抗感染、抗结核等多种治疗,效果均不理想。来到我院后,呼吸与危重症医学科马霞主任医师带领团队,为患者迅速开展了系统检查。
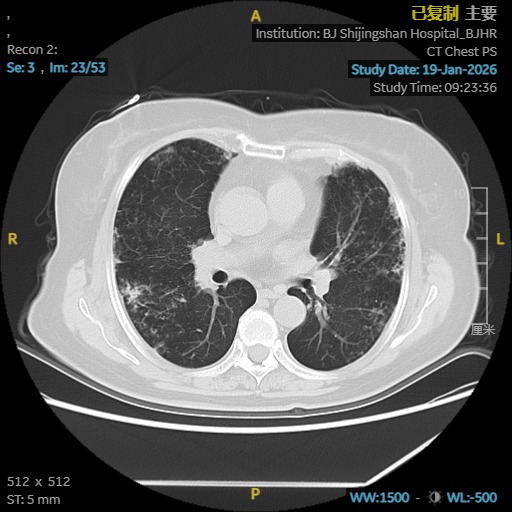
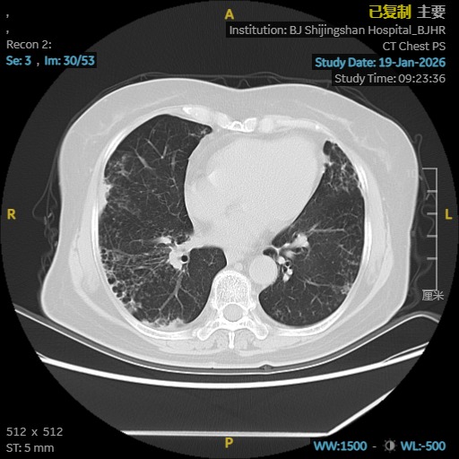
依托医院高清CT、肺功能、气管镜及精准分子检测平台,团队很快锁定了隐藏在表象背后的真实病因:鸟胞内分枝杆菌合并耐药念珠菌感染,同时伴有进展性肺间质纤维化。这两种疾病相互交织,诊治难度大,对医疗团队提出了很高要求。
为给患者制定最安全有效的治疗方案,马霞主任医师立即启动MDT机制,联合临床药师、影像科、检验科专家进行会诊。在多学科共同研判下,团队为栗女士量身定制了集抗感染、抗真菌、抗纤维化于一体的综合治疗策略,在精准打击病原的同时,全力保护肺功能。
目前,栗女士已开始接受治疗,病情趋于稳定,正在康复之中。此次成功救治,充分体现了石景山医院以患者为中心、依托多学科协作与精准医疗手段解决疑难复杂疾病的综合能力。



【专家提醒】
如出现持续咳嗽、咳痰、呼吸困难、不明原因体重下降等症状,切勿拖延,请及时至正规医院呼吸科就诊,早诊断、早干预对改善预后至关重要。
【科普小课堂】
1、认识非结核分枝杆菌(NTM)
非结核分枝杆菌(NTM)是除结核分枝杆菌、麻风分枝杆菌外的分枝杆菌统称,广泛存在于水、土壤、灰尘中,其中鸟胞内分枝杆菌复合群(MAC)致病力较强。
感染途径:主要经吸入气溶胶或摄入污染水源/食物感染;
易感人群:有慢阻肺、支扩、肺间质纤维化等慢性肺病者,免疫低下人群(如长期用激素、器官移植后),部分老年女性;
诊断难点:症状类似肺结核,易混淆;培养耗时久,需特殊技术;治疗需3-4种药物联合,疗程长达12-18个月,且易耐药。
2、 了解进展性肺间质纤维化(PPF)
间质性肺疾病(ILD)是一组弥漫性肺部疾病,包括已知和未知病因。共同病理特点是不同程度的肺泡炎症和间质纤维化。一部分患者经过正规治疗及常规治疗后,肺间质纤维化进程仍进行性进展,在临床上,将这种表型ILD称之进展性肺纤维化(PPF),其诊断标准主要依据2022年ATS/ERS/JRS/ALAT临床实践指南及2025年最新诊疗指南,具体标准如下:需同时满足以下条件:
A影像学证据:胸部高分辨率CT(HRCT)显示存在肺纤维化表现,如网格影、蜂窝影、牵拉性支气管扩张等,且排除特发性肺纤维化(IPF)。
B.时间范围:在过去的1年内出现疾病进展。
C.至少符合以下3项标准中的2项:
(1)呼吸道症状加重:如咳嗽、气短、呼吸困难等症状较前明显加重。
(2)生理学进展(满足以下任意1项):
a.用力肺活量占预计值百分比(FVC%)绝对值1年下降≥5%;
b.经血红蛋白(HB)校正的一氧化碳弥散量占预计值百分比(DLCO%)1年下降≥10%。
(3)影像学进展(满足以下任意1项):
a.牵拉性支气管扩张和细支气管扩张的范围或严重程度增加;
b.新发磨玻璃影伴牵拉性支气管扩张;
c.新发细小网状影;
d.网状结构异常扩大或增粗;
e.蜂窝状结构新发或增大;
f.肺容积缩小。需注意,诊断时需排除其他可导致类似表现的原因(如感染、药物副作用等),且需结合临床症状、肺功能检查、影像学检查等综合判断。
治疗上主要是针对原发疾病治疗、非药物治疗(氧疗、肺康复、心理社会治疗及姑息治疗等)、抗纤维化治疗(尼达尼布、吡非尼酮)。
常见并发症包括胃食管反流(GERD)、肺动脉高压(PH)、肺栓塞(PE)、肺癌、阻塞性睡眠呼吸暂停低通气综合征(OSAS)和急慢性肺部感染等,需要长期监测。


