攻坚克难通气道,妙手仁心护呼吸 清华大学附属垂杨柳医院呼吸介入团队成功救治结核后气道瘢痕狭窄患者
近日,清华大学附属垂杨柳医院呼吸与危重症医学科介入团队,成功为一名结核后气道瘢痕狭窄患者实施介入治疗,帮助患者重启顺畅呼吸。

患者主因“间断咳嗽、咳痰2年,加重1周”入院。患者2年前于新型冠状病毒感染后出现咳嗽、咳白黏痰,症状反复。2023年底曾因咳嗽、发热于当地医院及胸科医院就诊,诊断为“支气管扩张症、肺结核”,予规律抗结核治疗8个月后停药。此后病情常于天气变化或劳累时反复。1周前(2025年12月16日)因吸入煤气后出现咳嗽加重、发热,体温最高38.5℃,伴咳痰困难、喉间哮鸣音。

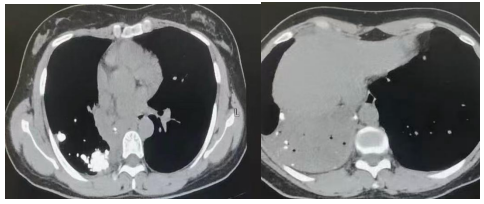
胸CT右中间段狭窄钙化影 右中下叶肺不张
入院支气管镜探查,可见右中间段明显狭窄开口直径约2-3mm,管口痰液堵塞。

气管镜下右中间段开口明显狭窄 右中间段开口痰液堵塞
病例治疗难度极高,病程超过3个月,属于陈旧病灶;右中间段开口仅2-3mm,长度约2.5cm;结核引发的气道瘢痕组织坚韧致密,且核心痛点为球囊扩张后极易弹性回缩,导致气道再次闭塞,形成治疗恶性循环;手术操作容错率极低,对团队技术提出严苛考验。
张杰教授带领团队综合评估,支气管镜引导下分次完成球囊扩张,取出狭窄段结石,顺利置入支架,防止瘢痕回缩,保持气道通场,为气道重塑创造条件。待气道结构稳定后,将为患者取出支架。
此次救治精准攻克核心难点,兼顾短期疗效与长期修复,充分彰显了团队在复杂气道病变介入领域的过硬实力与诊疗智慧。


