在北京大学首钢医院医学影像科的CT室内,随着厚重的铅门缓缓打开,一位81岁高龄、身患帕金森综合征的老人被缓缓推入。门外的走廊里,她的一双儿女紧握着双手,目光追随着母亲的身影,神情中交织着跨越三千公里求医的期盼与不安。他们来自新疆乌鲁木齐,此行的目标,是母亲右肺内两枚形迹可疑的磨玻璃结节。

千里求医:高龄母亲的“定时炸弹”与儿女的揪心抉择
故事始于一次常规的医疗检查。81岁的黄女士被查出右肺上叶、下叶各有一枚磨玻璃结节,形态提示恶性可能。然而,黄女士年事已高,且受帕金森病困扰多年,身体机能与耐受性远逊常人。当地医生坦言,常规外科手术创伤大、风险高,年迈体弱的老人能否承受,实是未知数。这个难题,像一块沉重的石头,压在了孝顺的儿女心头。
“不希望母亲承受风险,一定要找到更稳妥的治疗方式!”抱着这份执念,黄女士的儿子多方打听,得知北京大学首钢医院医学影像科副主任于明川团队在肺结节微波消融领域经验丰富,尤其擅长处理复杂病例。于是,一家人从天山脚下奔赴北京,将希望寄托在这里。
仁心研判:多维挑战下的“毫米级”作战图
面对远道而来的患者和复杂的影像资料,于明川的诊断与当地医院一致:结节具有恶性征象,必须干预。但如何干预?这考验着医者的智慧与担当。一次性处理两枚结节,患者合并帕金森病、高龄、结节位置刁钻,上叶结节紧贴胸膜,下叶结节蜷缩在叶间裂与胸膜构成的狭窄夹角内。这无异于在微观世界里进行一场必须毫厘不差的“排雷”手术,稍有不慎就可能损伤其他器官,引发气胸、出血等严重并发症。

此时,于明川的大脑如同一个高精度的三维导航系统,反复模拟进针路径:“上叶结节,针尖需在胸膜前精准‘刹车’;下叶结节,必须像穿越雷区般,从下向上巧妙避开叶间裂……”每一个决策,都关乎老人安全。但这次,需要更极致的精准,必须分毫不差。
术前检查结果为手术的成功增添了底气:黄女士神态清醒、凝血功能正常,虽有帕金森病史,但身体状况具备手术条件。“顺利的话两天就能出院,放心交给我们!”于明川的承诺,像一颗定心丸,让焦虑多日的家属终于松了口气。
精准消融:铅门外的守望与毫米间的生命护航
手术当日,CT室经过严格消毒后,成为临时“战场”。“这是局麻手术,全程有监护,不舒服随时说,不会太疼。”于明川轻声安抚着躺在手术床上的黄女士。连接心电监护、CT引导定位、画定位线、消毒铺巾,每一步都有条不紊的进行着。

当平车推入,铅门在患者身后关闭的一刹那,门内是医者即将开始的精密“拆弹”,门外是家属焦灼的等待与祈祷。
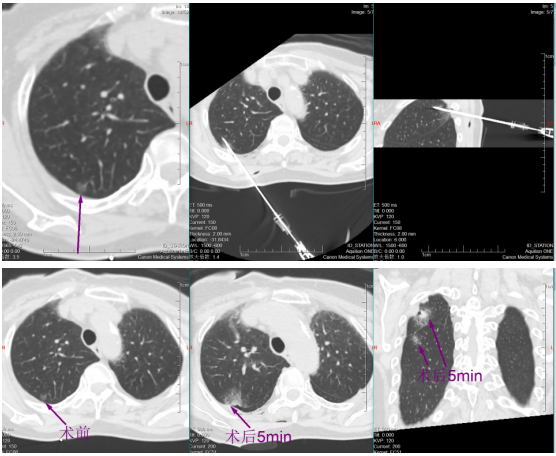
挑战随即开始。帕金森病导致黄女士身体不时微颤,这对需要毫米级稳定的穿刺是巨大干扰。于明川凝神屏息,双手稳如磐石,细微调整针道,在CT的实时引导下,消融针稳稳穿过8毫米的磨玻璃结节,精准停在胸膜前方3厘米处,完美避开胸膜危险区。“开始消融,30瓦一分钟!”随着指令下达,微波消融针开始加热,热量在结节处缓缓扩散,将病灶逐步凝固坏死。黄女士全程清醒,未感丝毫不适。
一分钟后,复查CT显示,结节被一圈磨玻璃密度影完整包裹,这意味着病灶已完全处于烧灼区内,第一枚结节消融成功!

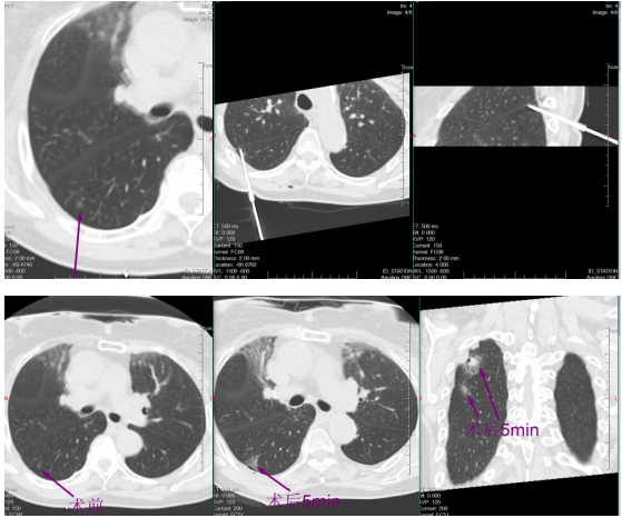
稍后,于明川与冯文汉等团队成员密切配合,向难度更高的第二枚结节发起冲击。这枚结节藏在叶间裂与胸膜构成的狭小夹角内,可操作空间极小,如同在“夹缝中绣花”。按照术前预案,于明川放弃平行进针思路,采用由下而上的特殊进针方式,巧妙避开关键解剖结构。针尖精准抵达结节区域,经过反复测量确认安全后,30瓦功率持续消融一分钟。术中,黄女士的心率、血压始终平稳,未出现任何不良反应。术后CT扫描证实,结节被完全覆盖,烧灼区与叶间裂仅隔几毫米,这毫厘之间的精准,正是生命安全的坚实屏障。

阴霾散尽:千里求医之路画上圆满句号
一小时后,铅门再次打开。于明川将黄女士的儿女引至屏幕前,影像清晰地显示:两枚结节已被完全覆盖,消融范围边缘距离关键解剖结构仅存毫厘之差。“两个结节都顺利消融成功了,没有并发症,手术很成功!” 话音落下,黄女士儿女心中悬了许久的大石终于落地。看着术后安然躺在病床上、面容平和的母亲,他们眼中盈满欣慰。
术后第二天,经过严密监护,黄女士顺利出院。如今,术后的随访显示,黄女士生活如常,当地复查CT提示结节已彻底消失,手术区域仅留下两条细线状疤痕。这场跨越三千公里的求医之旅,在北京大学首钢医院医疗团队的仁心仁术中画上圆满句号。
从新疆到北京,从焦虑担心到如释重负,这段旅程镌刻的,不仅是现代医学技术——CT引导下微波消融对于高龄、高危肺结节患者展现出的微创、精准、高效的技术优势,更彰显了医者的责任与担当:他们以丰富的经验为舟,以精湛的技术为桨,以对生命的敬畏为罗盘,在风险重重的海域中,为患者精准开辟出一条安全、温暖的康复航道,真正诠释了“有时去治愈,常常去帮助,总是去安慰”的医学温度。


