清华大学附属垂杨柳医院多学科协作完成罕见纵隔神经鞘瘤微创切除手术
近日,清华大学附属垂杨柳医院胸外科联合麻醉科,通过MDT多学科协作成功为一名患者完成上纵隔罕见神经鞘瘤的微创切除手术,术后患者恢复良好,顺利出院。
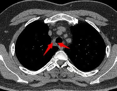
患者为35岁男性,在体检中发现上纵隔气管旁存在一直径约1.5厘米的肿物。胸外科为其进行了超声支气管镜引导下经支气管针吸活检术,病理结果提示为神经鞘瘤。影像学检查显示肿物疑似侵犯气管,但气管镜观察见局部黏膜尚光滑、仅略有隆起,病情具有一定复杂性。

为制定稳妥的手术方案,胸外科主任崔健联合麻醉科主任杨彦伟、副主任任海强共同开展多学科讨论。团队在明确肿瘤完整切除为目标的基础上,周密设计了手术入路与操作步骤,并准备了气管局部切除与重建的应急预案,以应对术中发现气管受侵犯的可能。
手术在胸腔镜下进行。术中探查发现,尽管肿物对气管形成局部压迫,但未侵犯气管壁。在团队密切配合下,手术顺利完成肿瘤完整切除。术后病理结果进一步证实为神经鞘瘤。患者术后恢复顺利,第二天拔除胸腔引流管,第四天出院。

该病例的成功诊治,体现了医院在胸部疑难疾病诊疗方面多学科协作的优势。通过胸外科、麻醉科、病理科等多科室的紧密配合,实现了对罕见纵隔肿瘤的精准诊断、预案完善与微创治疗,在保证手术安全性的同时,最大程度减少了手术创伤,加快了患者康复进程。


