近日,一名接受激素治疗的天疱疮患者,因颈部及纵膈脓肿引发严重多重耐药菌感染,进展为感染性休克。患者在外院经一周的气管插管、机械通气等生命支持治疗后,病情仍未控制。危急时刻,患者跨越千余公里紧急转诊至北京朝阳医院。医院即刻启动多学科协作抢救模式,耳鼻咽喉头颈外科、急诊ICU、胸外科、感染科等20余个科室专家先后参与救治,耳鼻咽喉头颈外科及胸外科团队累计实施四次手术。历经两个月精准施治,患者感染得到控制,器官功能逐步恢复,最终顺利康复。
激素削弱免疫防线,感染趁虚而入
天疱疮是一种自身免疫性大疱性皮肤病,需长期使用糖皮质激素抑制异常免疫反应。43岁的刘女士(化名)因该病每日口服8毫克甲泼尼龙,持续三个月。这种治疗虽能控制病情,却显著削弱了机体免疫力,使她对病原体的抵御能力急剧下降,轻微感染也可能快速发展为全身性重症感染。不久后,一种对常规抗生素耐药的致病菌侵入其体内,引发严重感染。
感染迅猛扩散,转院寻求救治
10月2日,刘女士因“面部肿胀”在外院就诊,初步诊断为“腮腺炎”,经克林霉素、病毒唑等药物治疗后症状无改善。一周内,感染迅速蔓延,10月9日,刘女士出现呼吸困难、胸闷,指脉氧监测值低于90%,生命体征濒临崩溃,紧急行气管插管及机械通气支持。
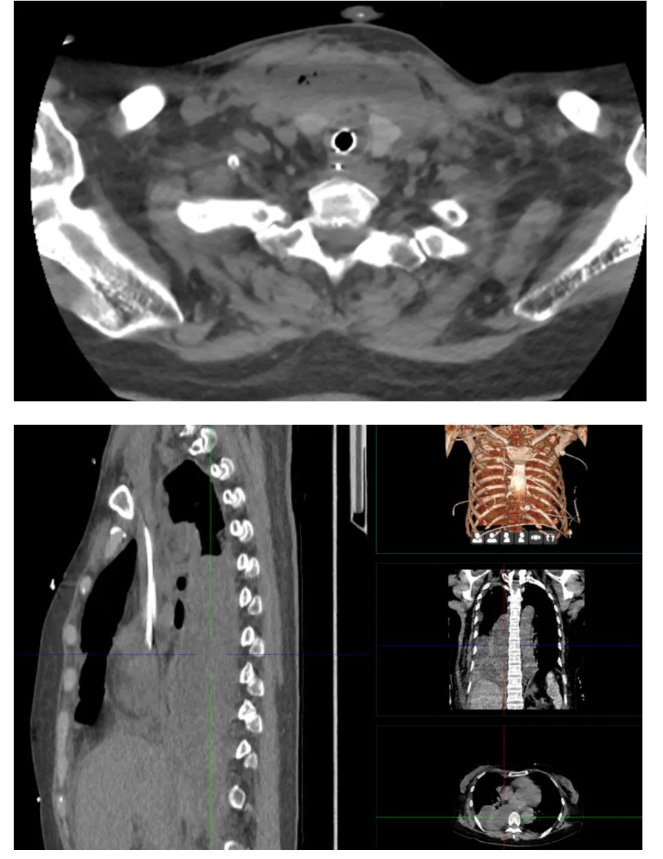
影像学检查显示让人震惊,其颈部、纵膈及胸腔均存在多发脓肿,短期内已引发广泛多部位感染,多器官功能损伤风险极高。当地医院随即启动强化治疗,包括脓肿切开引流、胸腔穿刺引流、血液滤过及强效抗感染方案,但一周后感染仍未控制,家属决定转院。

患者影像学检查结果
千余公里生命转运,多学科严阵以待
此时,刘女士需依赖呼吸机维持氧合,脓毒症与多器官功能衰竭风险持续攀升。一场跨越千余公里、历时7小时的救护车转运紧急启动,目的地直指北京朝阳医院。医院提前集结耳鼻咽喉头颈外科、胸外科、感染科等多学科专家团队,做好抢救准备。
连夜多学科联动,完成首次脓肿清除
10月16日下午,医院副院长、急诊医学中心行政主任梅雪组织多学科会诊,要求全力救治该患者,“患者非常年轻才43岁,必须救,不能放弃!” 这不仅是一道行政命令,更是医院对生命的庄严承诺。
急诊医学科副主任殷文朋、胸外科主任胡滨、耳鼻咽喉头颈外科主任刘锦峰迅速会诊分析病情,一小时内确定治疗方案并集结手术团队:耳鼻咽喉头颈外科负责颈部脓肿切开引流,胸外科实施纵膈及胸腔脓肿微创清除,急诊ICU负责术后管理。
当晚,手术顺利开展。耳鼻咽喉头颈外科头颈肿瘤组组长刘明宇带领团队对颈部脓肿进行充分开放引流,胸外科副主任苗劲柏通过腔镜精准清除纵膈及胸腔内坏死组织并放置引流管。术后患者转入急诊ICU,急诊医学中心学科主任唐子人、副主任医师安乐带领监护团队启动全方位高级生命支持,成功应对消化道大出血等危机,患者生命体征逐步平稳。

多学科团队为患者手术
攻克多重耐药难题,感染逐步控制
手术只是第一步,多重耐药菌感染成为后续治疗的主要挑战。患者脓液培养先后检出纹带棒杆菌、曲霉菌、多重耐药的鲍曼不动杆菌等,仅少数抗生素有效。感染和临床维生物科副主任李冉全程精准指导,依据病情变化和药敏结果动态调整抗感染方案,最终患者感染得到有效控制。
医患信任筑牢基础,救治稳步推进
术后,耳鼻咽喉头颈外科医生每日坚持换药,颈部脓肿脓液逐渐减少、脓腔缩小。经18天ICU治疗,患者达到拔管标准,于11月3日转入耳鼻咽喉头颈外科病房。患者家属在刘锦峰查房时感慨地说:“感谢朝阳医院多科室的全力救治,庆幸当初坚定地选择了朝阳医院”,这份厚重信任为后续救治凝聚了合力。
呼吸危机再起,多学科再解难题
拔管后,患者因长期机械通气出现咳嗽无力、排痰困难等症状,呼吸频率骤升至40次/分,病情再度危急。耳鼻咽喉头颈外科护士长唐艳军第一时间发现险情并汇报,刘锦峰迅速启动多学科会诊。重症医学科(SICU)值班组长于凯评估后建议即刻转入SICU治疗。转入后,多学科团队经研讨确定气管切开术为最优方案,11月6日手术顺利完成。待生命体征稳定后,患者于11月10日转回耳鼻咽喉头颈外科病房。
平衡多重治疗矛盾,逐步推进康复
患者治疗期间同时存在消化道活动性出血与静脉血栓风险,陷入“止血与抗凝”的两难境地。常营院区医疗护理管理部主任路璐牵头启动“减负行动”,多学科团队审慎评估后逐步撤离各类管路,当最后一根胸前引流管被拔除,患者身体负担显著减轻。康复医学科医师同步指导患者开展坐起训练,治疗重心逐步从生命维持转向功能康复。针对患者双下肢肌力几近消失的症状,路璐再次组织多学科会诊。神经内科、骨科、重症医学科专家联合研判,排除格林-巴利综合征、腰椎脓肿等疾病,最终确诊为危重病性多神经肌病(CIP/CIM)。
恢复经口进食,启动全面康复
11月25日,经耳鼻咽喉头颈外科评估吞咽功能、消化内科排除消化道出血后,患者终于可以经口进食。从温热米汤到正常饮食,一周内患者进食功能完全恢复。
为帮助患者恢复肢体功能,刘锦峰团队确立站立康复目标。康复科医师制定针对性训练方案,针灸科、中医科同步开展辅助治疗。唐艳军带领护理团队融合重症监护与康复理念,指导患者开展被动肢体活动与呼吸康复训练,用有温度的护理助力康复。
康复进程突破,彰显多学科实力

患者逐步康复并能够生活自理
在医护团队与患者的共同努力下,患者逐步恢复,不仅声音清亮,还能独立行走。从卧床不起到生活自理,此次复杂危重症救治的成功,充分彰显了北京朝阳医院强大的多学科诊疗能力与无缝协作精神。
未来,北京朝阳医院将持续发挥多学科强大的综合救治能力优势,不断挑战技术高峰,面对复杂疑难病例,敢于担当,精诚协作,用专业与责任为每一位患者的生命健康保驾护航。

患者与医护团队在锦旗前合影


