近日,清华大学附属垂杨柳医院神经外科脑血管病介入团队运用支架辅助弹簧圈栓塞技术,成功为两例破裂大脑中动脉瘤患者实施紧急介入治疗,术后患者恢复良好,未遗留神经功能障碍。

破裂大脑中动脉瘤是神经外科和神经介入领域最具挑战性的急症之一。大脑中动脉(MCA)M1段分叉部呈“Y”或“T”形,而动脉瘤通常位于此部位,且与多条重要的分支血管(如豆纹动脉)关系密切。治疗时必须保护这些分支,否则会导致灾难性神经功能缺损(如永久性偏瘫、失语)。开颅夹闭术一直是MCA动脉瘤治疗的传统模式,但随着血管内治疗技术的进步,介入治疗的MCA动脉瘤越来越多。而该部位解剖结构复杂,常与重要分支血管相邻,治疗需在彻底栓塞动脉瘤的同时确保载瘤动脉及分支通畅,对手术精度要求极高。
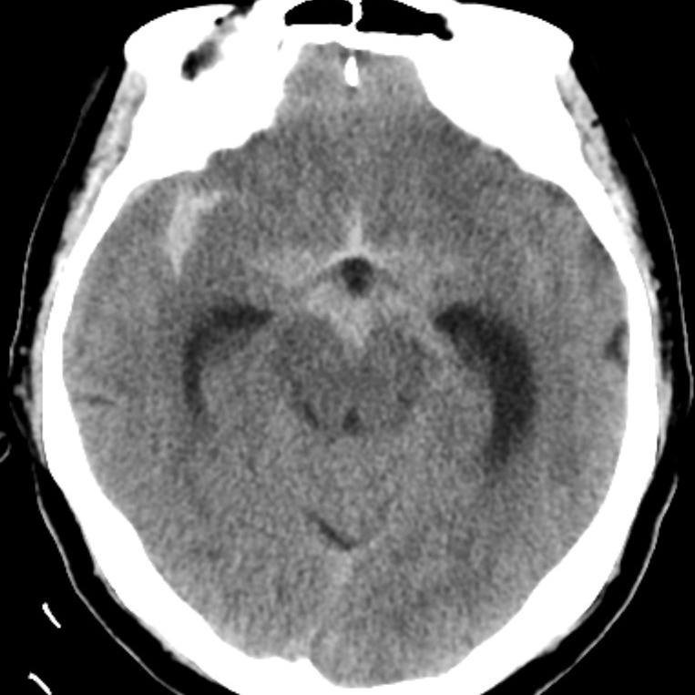
病例一为77岁女性患者,既往高血压病史。因“突发剧烈头痛伴恶心2天”前来清华大学附属垂杨柳医院急诊科就诊。头颅CT检查提示蛛网膜下腔出血,头颈动脉CTA提示右侧大脑中动脉M1段分叉处宽颈动脉瘤。神经外科脑血管病介入团队急诊为患者实施了全脑血管造影术(DSA),造影显示动脉瘤不规则,可见子囊,宽颈,主要累及下干。团队采取了支架辅助弹簧圈栓塞术,患者颅内“不定时炸弹”被成功拆除。动脉瘤达到致密栓塞,载瘤动脉通畅。住院半个月后顺利出院,无神经功能障碍。

▲头颅CT显示蛛网膜下腔出血

▲CTA显示右侧大脑中动脉分叉动脉瘤

▲术前DSA显示宽颈动脉瘤,有子囊,主要累及下干

▲术后DSA显示动脉瘤致密栓塞,载瘤动脉通畅
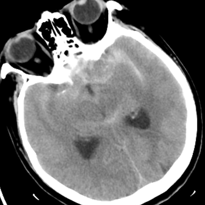
病例二为58岁女性患者。因“突发剧烈头痛伴呕吐3小时”就诊于清华大学附属垂杨柳医院急诊科,行头颅CT检查提示蛛网膜下腔出血。患者嗜睡,频繁呕吐,不排除颅内再出血。为争分夺秒抢救患者生命,神经外科脑血管病介入团队紧急为患者实施了DSA,显示左侧大脑中动脉分叉处宽颈动脉瘤,主要累及下干。术中采取双微导管技术,于动脉瘤内填塞弹簧圈,并置入一枚支架保证致密栓塞和下干分支血管的通畅。成功“拆弹”,化险为夷,患者恢复过程顺利,出院时无神经功能缺损。

▲头颅CT显示蛛网膜下腔出血

▲术前DSA显示左侧大脑中动脉分叉宽颈动脉瘤,可见子瘤,主要累及下干

▲术后DSA显示动脉瘤致密栓塞,载瘤动脉通畅
两例治疗均体现了清华大学附属垂杨柳医院神经外科在脑血管病急症救治方面的快速响应与技术实力。团队依托血管内介入技术,在急诊条件下完成高难度栓塞操作,实现了“在保证载瘤动脉及所有分支血管通畅的前提下,完全、永久性闭塞动脉瘤”的治疗原则。科室将继续深耕脑血管病介入领域,持续优化急重症救治流程,提升疑难病例诊疗能力,为患者提供更为精准、及时、有效的治疗方案。


