近日,年近七旬的贾先生再次来到首都医科大学附属北京潞河医院肿瘤中心复查,影像评估显示,他体内的肿瘤病灶得到了稳定控制。贾先生的精神状态和生活质量也得到了明显改善,他感慨地说:“是潞河医院让我在与晚期肠癌的漫长斗争中,依然保持着生命的尊严和希望。”这背后是潞河医院多学科协作五年的精准守护:从肠梗阻起病的晚期结肠癌肝转移,到跨越五年生存期,贾先生历经 “手术 +化疗+介入” 等多线综合治疗,走出了一条属于自己的 “抗癌之路”。
急起肠梗阻 竟隐藏着晚期结肠癌的 “暗礁”
时间还要追溯到2020年8月的一天,贾先生因突发下腹部胀痛、停止排气排便急诊入院,检查结果如晴天霹雳:结肠癌晚期伴肝多发转移,合并肠梗阻。由于贾先生已不再年轻,且又是晚期、肝转移……这让他的治疗之路布满荆棘。潞河医院胃肠外科首先为贾先生进行了“全麻下行腹腔镜降结肠癌切除术+降结肠造口术”,解除肠梗阻,切除原发灶。随后,肿瘤中心组织了全院多学科讨论:胃肠外科、肝胆外科、介入疼痛科、医学影像科、病理科、营养科等科室经过认真分析讨论,一致认为:目前患者肠梗阻缓解,胃肠功能恢复,肝多发转移,不适宜外科干预,先给予内科化疗联合靶向转化治疗,密切评估病情变化,肿瘤退缩,转移灶数目减少后,再进行肝转移灶手术加射频消融术。


五年“抗癌接力赛” 多学科出手 “步步精准”
结肠癌的手术治疗包括原发灶切除、转移灶切除、姑息性减瘤手术等。贾先生先后完成了5次手术:先通过腹腔镜解除肠梗阻并切除结肠原发灶,后续针对肝转移灶进行手术切除,还因治疗过程中出现的肠粘连进行松解手术。每次手术都以 “最大限度清除肿瘤、最小化创伤” 为目标,为后续治疗打下基础。针对无法一次性手术切除的肝转移灶,治疗团队采用了介入治疗(灌注化疗+栓塞)和射频消融等两种治疗手段联合,实现了对肝转移灶的 “立体围剿”,有效控制了局部病情。

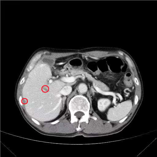
影像2020

影像2022

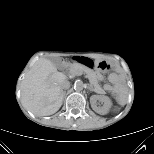
影像2025
全身治疗是晚期结肠癌的重要支撑,包括化疗、靶向治疗、免疫治疗等。贾先生历经多线全身治疗:初始采用靶向药物联合化疗针对性攻击肿瘤细胞;病情进展后调整为免疫治疗,激活自身免疫系统对抗肿瘤;后续转入维持治疗,持续抑制肿瘤复发转移。前后调整治疗方案10余次,全程根据基因检测结果、病灶变化和身体耐受度动态优化,实现 “精准用药、个体化调整”。
每次治疗节点(手术时机选择、局部与全身治疗衔接、方案调整),都由多学科专家联合评估,避免 “单科作战” 的局限 —— 比如手术前需影像科精准定位病灶,病理科明确肿瘤分型和基因状态,营养科提前干预保障患者耐受手术,多学科的紧密配合让治疗更连贯、更精准。
“晚期肿瘤不是‘死刑判决’,而是精准抗癌的新起点。” 肿瘤中心严冬主任介绍,这位患者的5年生存期,正是多学科协作+个体化精准治疗的生动体现,也印证了结肠癌治疗的核心逻辑:早期发现、早期治疗是关键,即便到了晚期,通过合理排兵布阵,多学科协作,患者依然能实现长生存。未来,潞河医院肿瘤中心将持续优化多学科诊疗模式,提升精准治疗水平,助力2030年健康中国肿瘤五年生存率目标达成,让更多结肠癌患者摆脱 “晚期 =绝症” 的困境,实现有质量的长生存。
值得提醒的是,结肠癌的早期症状容易被忽视,建议45岁以上人群、有肠癌家族史、慢性肠炎或息肉病史的高危人群,定期进行肠镜检查,做到 “早发现、早诊断、早治疗”。一旦出现便血、排便习惯改变、腹痛腹胀等症状,需及时就医,避免延误病情。


