近日,清华大学附属垂杨柳医院神经外科成功治疗一例最凶险颅内动脉瘤:血泡样动脉瘤破裂伴重症蛛网膜下腔出血青年患者。目前患者已准备重返校园,攻读硕士研究生。
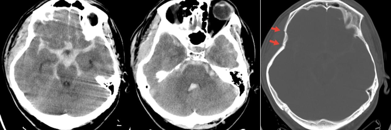
今年26岁的于先生,5月11日晚间被路人发现昏迷倒于路边,由救护车送至清华大学附属垂杨柳医院急诊科。当时无家属在场,病史不详。查体患者呈中度昏迷,GCS5分,右侧颞部头皮挫伤伴出血。双侧瞳孔直径3mm,对光反射消失。急查头颅CT显示广泛蛛网膜下腔出血,第三、四脑室积血,右侧颞骨凹陷骨折。

▲头颅CT显示广泛蛛网膜下腔出血,脑室积血,右侧颞骨凹陷骨折
期间患者病情恶化,出现呼吸不规则,血氧饱和度降至90%,急诊科医生急予气管插管接呼吸机辅助呼吸。神经外科副主任医师刘磊急至急诊科会诊,此时已联系上远在外地的患者父亲,得知患者既往体健,当日刚抵达北京出差。刘磊仔细研判病情认为,患者自发性蛛网膜下腔出血可能性大,右侧颞骨骨折应为昏迷后摔倒所致,出血原因首先考虑颅内动脉瘤破裂。通过电话向患者家属交代病情及诊治方案,患者颅内出血量大,昏迷,Hunt-Hess分级5级,死亡率极高。家属表示理解并同意积极治疗。遂决定急诊手术,先行脑血管造影筛查出血原因,酌情行下一步处理。手术于复合手术室进行,术中造影提示左侧颈内动脉眼动脉段血泡样动脉瘤,与患者的病情相吻合。此种动脉瘤极为少见,治疗难度很大,且复发和再出血概率极高。

▲DSA显示左侧颈内动脉眼动脉段血泡样动脉瘤,直径约1mm
神经外科脑血管病介入团队采取微创治疗,于载瘤动脉内套叠释放两枚编织支架,起到血流导向作用,部分阻断了进入动脉瘤的血流,降低了再出血风险。术后入住ICU,予机械通气,镇静镇痛、防治脑血管痉挛、脱水等治疗。定期复查头颅CT未再出血,无脑梗死及脑积水。患者病情逐渐好转,1个月后转至当地康复医院继续治疗。出院时患者神志清楚,可进食,混合性失语,左侧肢体不完全偏瘫。

▲术后影像可见套叠支架,动脉瘤处网孔密度较高
出院1个月后,神经外科团队对患者进行随访,患者语言及左侧肢体障碍已基本恢复。出院后2个月于当地医院复查脑血管造影,显示血泡样动脉瘤已完全闭塞,载瘤动脉通畅。家属对清华大学附属垂杨柳医院神经外科团队的及时救治表示万分感谢。目前患者正在为硕士研究生的新学期做准备。

▲术后3个月复查造影显示动脉瘤闭塞,载瘤动脉通畅


