近日,75岁的王女士3个月前因摔伤,导致腰痛加重(既往腰痛伴右下肢放射痛),前来清华大学附属垂杨柳医院脊柱外科(骨四科)就诊。脊柱外科(骨四科)医师在接诊后为患者进行了细致检查,发现患者腰背部叩痛、压痛,遂收入院治疗。
入院后,完善相关检查。经术前MRI显示:患者腰2椎体骨折、腰5椎体骨折、腰椎管重度狭窄。同时,患者还患有高血压、重度骨质疏松。经脊柱外科(骨四科)主任姜树东及科室团队研判,认为患者病灶多、症状重,结合患者高龄,团队评估后计划为患者进行腰2、5椎体成形术+单侧双通道脊柱内镜下椎管减压术(双节段双侧减压)。一次解决患者腰椎问题。

▲术前MRI显示腰2椎体骨折、腰5椎体骨折、腰椎管重度狭窄
骨质疏松性椎体压缩性骨折、腰椎管狭窄是老年人的常见脊柱疾患。一般情况下,医生会先行治疗骨折,待骨折痊愈后再行手术治疗腰椎管狭窄。但是结合王女士自身的健康状况,为避免患者经历两次手术带来的痛苦,姜树东带领脊柱外科(骨四科)团队,精心拟定手术方案。经与患者及家属沟通同意,患者的手术如期开始。
术中,脊柱外科(骨四科)主任姜树东会同团队医生郭函、刘家伦,为患者开展手术。术中精准穿刺,快速完成腰2椎体、腰5椎体成形术,随即进行单侧双通道脊柱内镜下椎管减压术(双节段双侧减压)。
经过3个小时的手术,患者手术顺利,椎体内骨水泥弥散良好,椎管内神经减压彻底。术后患者恢复良好,当天即感觉疼痛缓解。经过2天的术后治疗,患者已经可以正常行走。术后3天,患者平安出院,后续接受康复治疗。

▲术后X线,椎体内骨水泥弥散良好

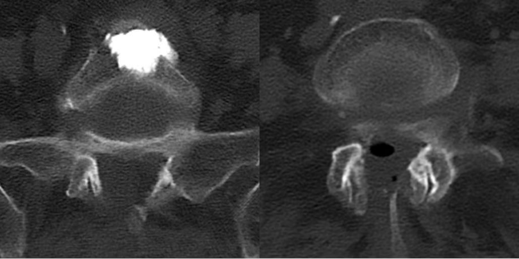
▲术后CT,椎管狭窄较前明显好转
老年人腰痛不容忽视。清华大学附属垂杨柳医院脊柱外科(骨四科)广泛开展椎颈腰椎间盘突出疾病、脊柱骨折、脊柱肿瘤和脊柱侧弯等脊柱疾患的外科治疗,致力于为患者解决“腰痛”难题。医院脊柱外科(骨四科)将秉承“艰苦奋斗、自强不息、忠毅坚卓、仁爱奉献”的垂医精神,为百姓健康保驾护航。


