2025年7月1日,正值中国共产党建党104周年。清华大学附属垂杨柳医院病理科打通了一位肿瘤患者的随访电话。在电话另一端,患者叶女士像接到老朋友的来电一样,高兴地向病理科医生说:“放心吧,我身体都挺好哒。现在工作生活、干体力活儿都可以。代我向蔡主任问好啊!”
在患者口中念念不忘的蔡主任,就是清华大学附属垂杨柳医院病理科原主任:蔡辉。
时间回溯到2012年。当时32岁的叶女士因早孕,前来医院要求终止妊娠。术前查尿发现HCG阳性,查B超提示左附件低回声包块,右附件区囊性包块。临床考虑异位妊娠不除外,盆腔包块性质待查、卵巢肿瘤?遂收入医院。在叶女士接受手术过程中,妇科医生送来了双侧卵巢肿物,需要病理科进行术中快速冰冻病理检查,要求在30分钟之内给出诊断结果,决定下一步手术方案。
面对还在手术台上等待病理结果的患者、临阵以待的医生以及等在手术室外焦急的家属,这一份病理报告将决定叶女士此后的治疗方向。如果确定患者双侧卵巢肿物确实为肿瘤,那么医生将为患者摘除肿物,后续也将进行针对肿瘤的各项治疗。若非肿瘤,那么仅进行常规治疗即可。这一份沉甸甸的“病理报告”,就是行业“金标准”。
作为一名病理学主任医师,时任病理科主任的蔡辉深知这一份报告的重要性。在接到标本后,他带领团队迅速将组织制成玻璃切片,在显微镜下观察。经过仔细阅片之后,蔡辉给出冰冻诊断结果为(左卵巢)恶性肿瘤,考虑无性细胞瘤,(右侧卵巢囊肿)卵巢单纯囊肿、囊肿黄体。妇科医生根据蔡辉的病理报告,马上调整手术方案,为患者进行了相应手术。

图1:术中冰冻组织大体图片

图2:左侧卵巢无性细胞瘤组织学图片HE 200X

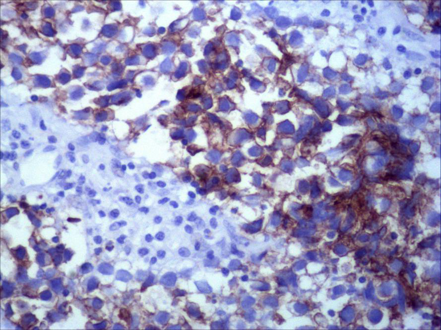
图3:左侧卵巢无性细胞瘤免疫组织化学图片PLAP 200X
后续患者术后恢复良好,并接受了抗肿瘤相关治疗。病理科主任刘晓刚在术后标本病理诊断中也明确诊断(左附件)卵巢无性细胞瘤。后经中国医学科学院肿瘤医院病理科专家会诊,证实此例病理诊断准确,并得到会诊专家的高度表扬。出院前,患者及家属还特意前来病理科,与蔡辉、和时任妇科主任苏光合影留念。

图4:患者及家属与时任病理科主任蔡辉(右二)、时任妇科主任苏光(左一)合影留念
在此后的13年间,患者还在医院接受过三次抗肿瘤相关治疗,医院病理科也坚持为患者进行电话随访,医患之间已经成为了“老朋友”。叶女士表示,病理科孜孜以求、对真理锲而不舍的精神,从坚持13年的随访中可见一斑,“感谢当年给我做手术的苏光主任和病理科的蔡辉、刘晓刚两位主任。希望他们身体健康,为百姓多做贡献!”
病理科全体工作人员将继续团结奋进,致力于提升服务能力,更好地为患者提供优质、快捷、精准的服务,为人民的健康事业再创佳绩!


