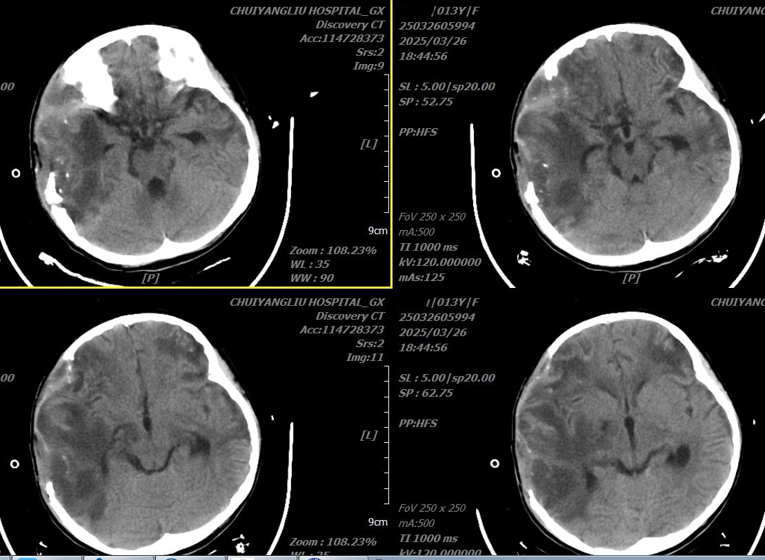
娉娉袅袅十三余,豆蔻梢头二月初。十三岁对于一位少女来说,本应当是在操场上肆意挥洒汗水的花样年华。可这些对于3个月前的小雨来说曾一度不可能。今年2月份的时候,小雨在上学途中,被汽车撞伤,伤后当即意识昏迷。于当地医院急行“右侧开颅脑内血肿清除术+硬膜外血肿清除术+去骨瓣减压术+颅内压探头置入术”。术后一直于深昏迷状态,于2025年3月13日行气管切开。患儿外伤较重且合并肠梗阻,持续胃肠减压、静脉输营养液。术后出现高热,于2025年3月25日于外院行头颅增强MRI示“术区、脑膜及右颞部软组织多发强化,考虑感染性改变”,考虑颅内脓肿、颅内感染。为进一步治疗,患者家属经多方打听后,前来清华大学附属垂杨柳医院神经外科寻求帮助。

入院当日头颅CT
2025年3月26日,小雨转入医院神经外科时,体温达39.1℃,心率达145次/分,右侧颅骨手术后缺失状态,气管切开,带胃管、肠管,持续胃肠减压,静脉输营养液。无法自主排尿,带尿管。患儿可无意识睁眼,无法听指令运动。
入院后,神经外科主任张锟组织科内讨论。在中国医学科学院傅继弟、潘栋超团队“分层引流”治疗颅内感染理念的指导下,于2025年3月27日在全麻下由医院神经外科副主任医师董雪涛,主治医师刘耀东行“脑脓肿切开引流术+脑室穿刺引流术”。术后在重症医学科(ICU)进一步治疗和恢复。在ICU期间,患儿出现感染反复、贫血、营养不良,医院神经外科团队联合重症医学科团队,积极给予抗感染、输血、营养支持等对症治疗,患儿病情逐渐好转。待患者病情稳定后转入神经外科普通病房,逐步给予拔除尿管、胃管、拔除气切套管。在手术14天之后,患儿病情日渐好转,可以正常与人交流。患儿和家属的脸上终于又浮现了久违的笑容。

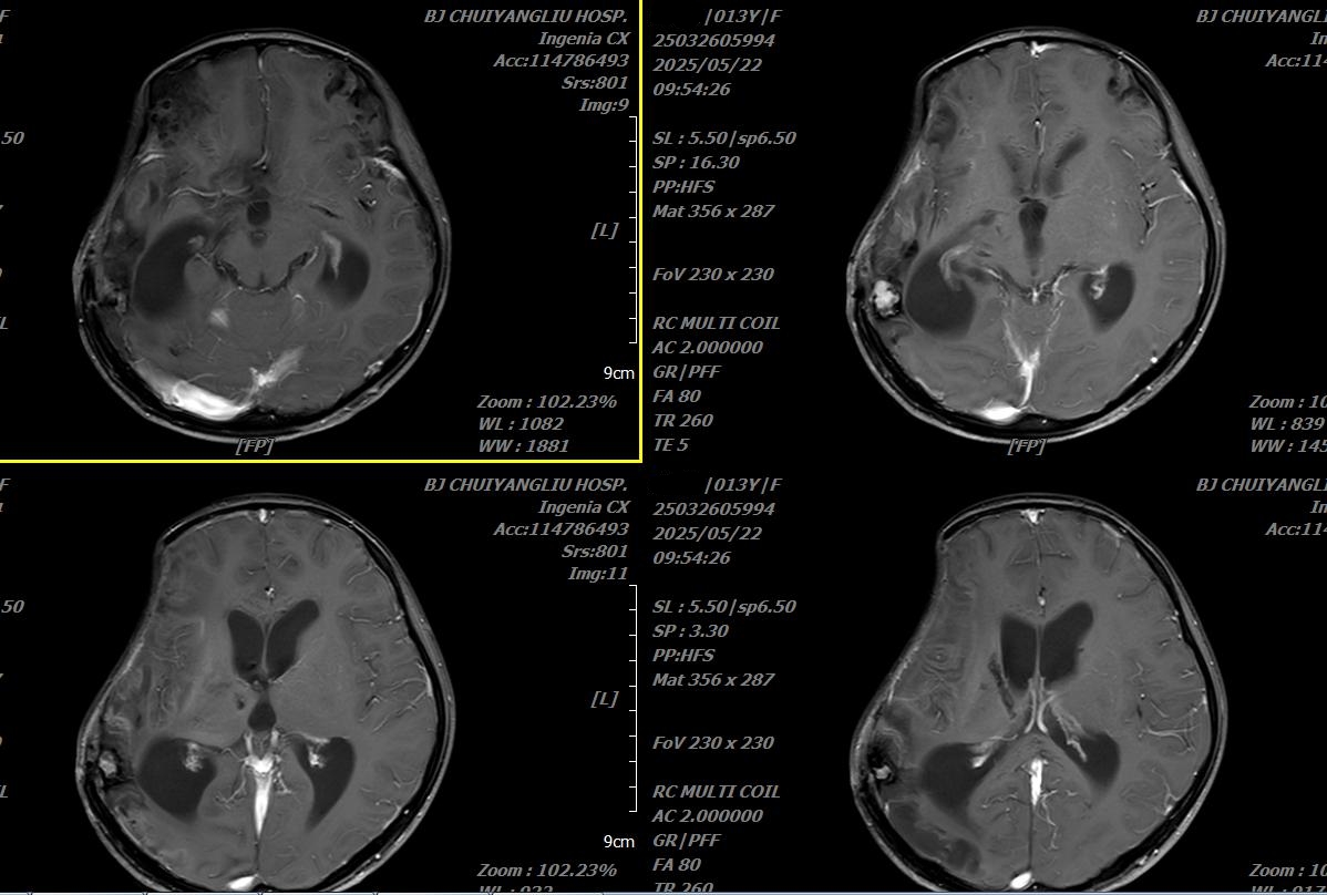
出院前头颅增强MRI
2025年5月23日,历时58天,小雨终于顺利出院了,再看小雨,体温早已正常,并且可以自主进食、排尿、在爸爸的搀扶下行走,并且可以大声地喊出“我回家了!”
横祸无情,但是大难不死。在小雨出院之际,神经外科医护团队也向这个花季少女送上了美好的祝福。希望她好好复健,争取早日回归校园。


