随着夏天和雨季的到来
空气变得湿润潮热
“桑拿天”也不期而至
导致霉菌任意滋生
您是否留心
在卫生间、厨房、地下室、树/草丛等
阴暗潮湿的环境和角落中
霉菌霉斑的身影?
这时可要当心啦!
霉菌感染时有发生
其中的毛霉菌可引起肺部感染
严重时会危及生命
近日,一位来自山东的52岁男性患者,近1个多月出现反复发热,伴有畏寒、乏力、食欲减退。外院检查均未发现明确致病菌,考虑真菌感染可能后,应用药物治疗不佳。因病情持续进展,为求进一步诊治来到我院呼吸与危重症医学科。主任牟向东接诊后,了解到其有急性髓系白血病6个月病史,曾行化疗4次及脐带血造血干细胞移植治疗,免疫功能低下,近期还曾接触过结核患者。

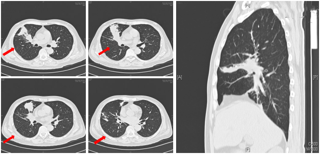
入院胸部CT可见右肺中叶和右肺下叶内基底段可见多发斑片和片状肺内渗出实变影(箭头所示)
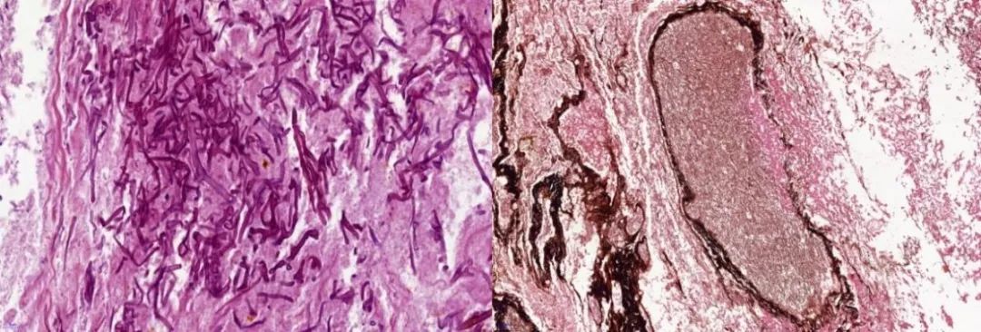
入院后,牟向东团队对患者进行全面的检查检验。排除结核后,结合导航,气管镜精准定位于右上叶前段、右下叶内基底段行病理活检,可见坏死组织内大量毛霉菌菌丝,菌丝侵袭血管,支气管肺泡灌洗液及组织病理二代基因测序(mNGS)显示为少根根霉,最终确诊为急性髓系白血病合并肺毛霉菌病。

病理显示坏死组织内大量毛霉菌菌丝,并可见菌丝侵袭血管(GMS染色及弹力纤维染色)
肺毛霉菌病一直是临床上非常棘手的难题,在业内甚至有“谈毛色变”的说法,病情凶险,常有进展迅速、诊断困难、预后不佳等特点,易出现大咯血,可危及生命,尤其对于恶性血液病、器官移植等免疫力低下的患者,临床预后更差。由于毛霉菌常累及支气管导致其内有大量的坏死组织及毛霉菌丝,导致抗真菌药物无法到达病变的肺组织而发挥作用,且药物全身副作用较大,患者往往难以耐受,治疗难度大。

牟向东(左二)开展常规治疗
结合患者实际,牟向东带领团队采取“全身+局部、介入+灌注”的创新疗法,给予注射用药物抗真菌治疗,气管镜下多部位精准局部灌注治疗,提高肺组织内的药物浓度,同时在全麻下应用冷冻等介入方法多次清除支气管内毛霉菌菌丝体,缩短了疗程,并减少全身用药带来不良反应的概率。经过综合治疗后,复查胸片显示肺部病变较前明显吸收好转。患者出院后定期门诊随诊,至今无复发。

取出的毛霉菌丝体

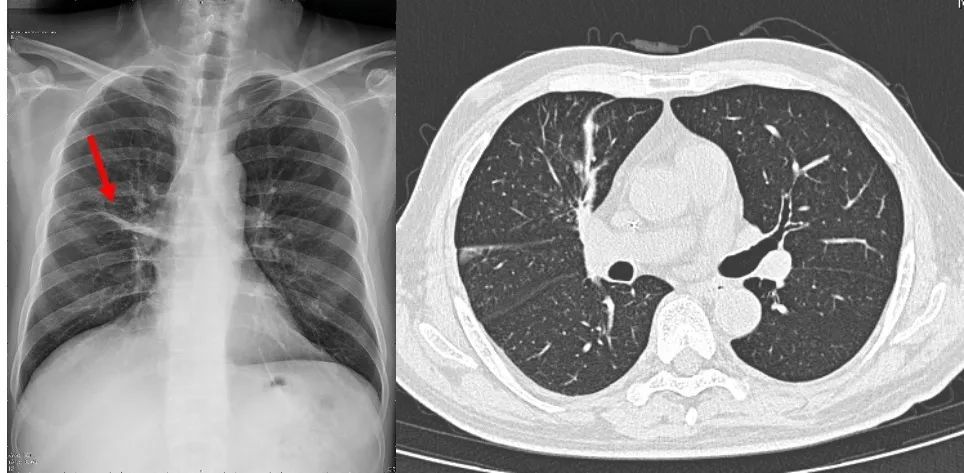
入院时胸片显示右肺病变;治疗1个月后复查胸片及胸部CT显示右肺病变明显吸收
北京清华长庚医院2023年3月成立北京市第一家肺真菌病诊治中心,同年6月设立肺真菌病专病门诊,在和胸腔外科、麻醉科、感染性疾病科、内分泌与代谢科、血液内科、血管介入科、手术室等多学科的共同努力下,呼吸与危重症医学科牟向东团队综合创新应用多种前沿技术,制定“全身+局部、介入+灌注”的创新疗法,将肺真菌病治疗领域提升至国内外领先水平。
专家提醒,近期降雨增多,空气潮湿,大家要注意保持生活环境清洁,及时用科学方式处理霉菌,特别对于免疫功能低下的人群,如糖尿病、白血病、风湿免疫病、应用激素或免疫抑制剂、肿瘤放化疗、器官移植、年老体弱免疫缺陷等人群,一旦出现反复发热、乏力等,要及时到医院就诊。

肺真菌病专病门诊出诊时间
呼吸与危重症医学科
牟向东主任医师 每周四上午


