精准穿刺活检助力疑难结肠癌患者确诊
近日,石景山医院肿瘤科成功为一名多次肠镜检查未能明确诊断的患者实施CT引导下穿刺活检,最终确诊结肠癌,为患者后续规范治疗奠定了基础。
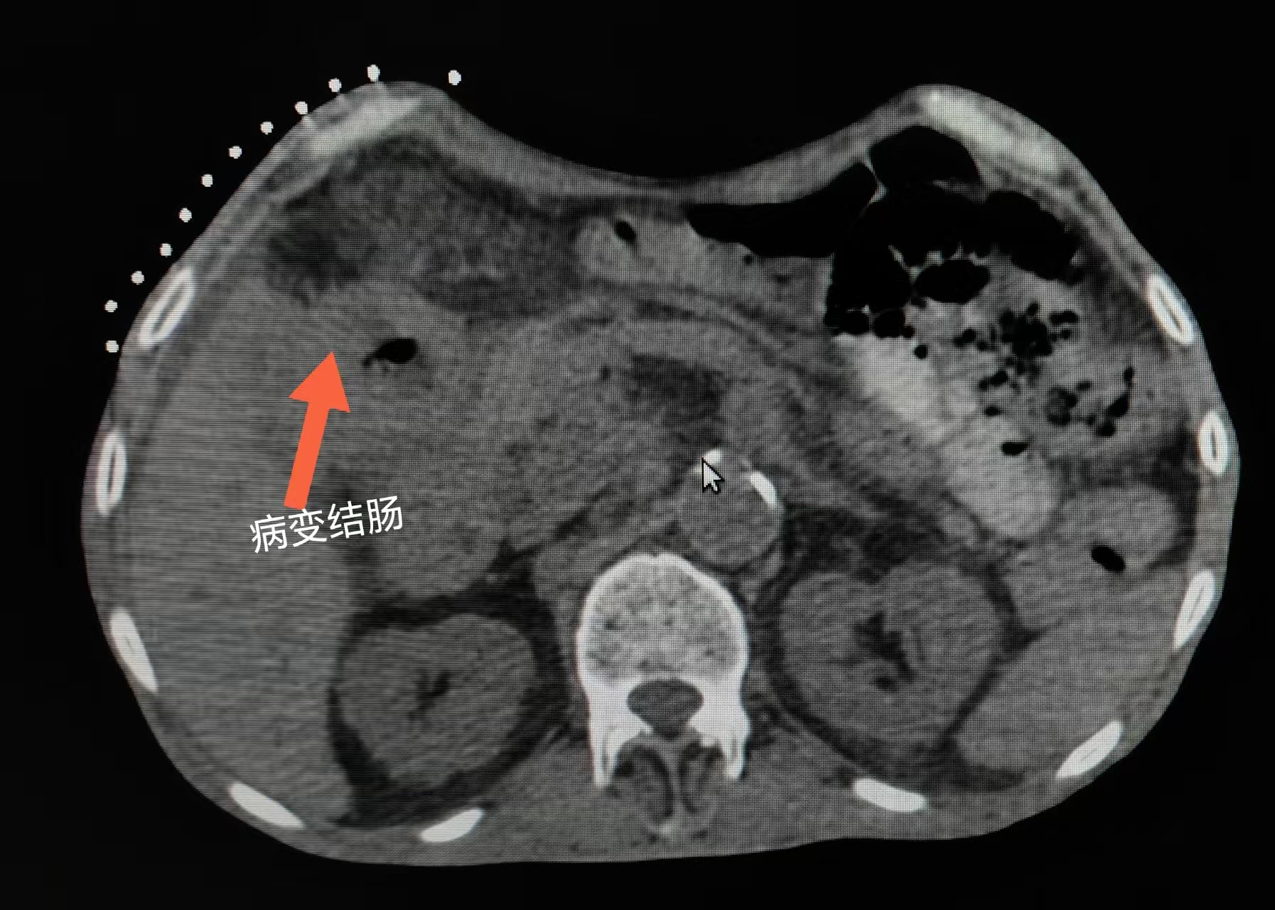
患者高先生自2025年初出现间断上腹痛伴体重下降。4月于石景山医院消化科就诊,腹部CT提示升结肠壁增厚,但肠镜检查未见异常。在消化科医生建议下,患者接受二次肠镜,发现结肠肝曲粘膜肿胀,病理结果仍未见恶性细胞。5月,患者于外院进行第三次肠镜,提示病变与狭窄,但病理仍未明确诊断。
6月初,患者家属求助石景山医院肿瘤科张利锋主任。张主任综合研判患者影像学资料(CT、PET-CT),高度怀疑肠道恶性肿瘤,但亟需病理确诊。考虑到多次肠镜取检未果,张主任决定采用CT引导下结肠占位穿刺活检术。



6月10日,手术在CT实时引导下精准进行。张利锋主任操作细致,成功获取病变组织。术后患者无任何不适,病理结果明确为结肠腺癌。患者随即依据该诊断,开始规范化抗肿瘤治疗。
病理活检是肿瘤诊断的金标准,是抗肿瘤治疗的第一步,取得明确的病理诊断才能根据病理类型进行规范的抗肿瘤治疗。石景山医院肿瘤科开展CT/超声引导下全身多部位(甲状腺、乳腺、肺、肝、骨、软组织、纵膈及腹膜后淋巴结等)穿刺活检技术,为患者快速病理诊断及后续抗肿瘤治疗保驾护航。
肿瘤科门诊出诊信息
普通门诊:周一至周五全天 周六上午
专家门诊:张利锋主任 周三上午 周五上午
燕丽香主任医师 周二上午
孙红梅主任医师 周一上午 周四上午


