减肥总卡壳?先查内分泌激素! --这个真实案例惊醒所有人
40多岁的王先生对着体重秤叹气:吃遍减肥餐、泡烂健身房,血糖却像脱缰野马——空腹11.22mmol/L,餐后直奔13 mmol/L,尿酸、血脂全线飘红,连尿蛋白都3+了!直到他走进潞河医院内分泌代谢与免疫性疾病中心肥胖门诊,医生的一句话帮他找到了减肥总卡壳的“隐形凶手”:“您这面容粗犷、手胀脚胀,得查查垂体激素!”
看诊一分钟 揪出“隐形凶手”
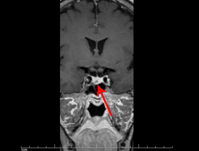
医生发现王先生鼻翼宽、齿缝大、下颌突出、皮肤褶皱深、手指脚趾像戴了“膨胀手套”——这正是垂体瘤的典型体征!垂体激素检查显示生长激素爆表,核磁检查显示垂体微腺瘤:原来王先生体重难控、代谢崩盘的罪魁祸首藏在大脑里!“我还以为胖就是吃多了动少了,原来激素在背后搞破坏!”王先生恍然大悟:“要不是医生‘会相面’,我还在盲目减肥浪费时间和精力!” 现在,王先生不仅自己坚持对症治疗,还拽着胖儿子来筛查——肥胖的可能病因!




划重点!这些“胖得异常”要警惕
鼻翼增宽、齿缝大
皮肤变厚、褶皱加深
手脚变粗、面容越来越“粗犷”
睡觉打鼾憋醒、白天犯困到睁不开眼
血糖/尿酸/血脂集体失控
再怎么努力,减肥比登天难
数据显示,50%难治性肥胖与内分泌相关!甲状腺异常、垂体瘤、多囊卵巢……这些“看不见的激素炸弹”正在让你的减肥努力打水漂!与其盲目节食伤身体,不如花点时间看一次门诊:
精准排查肥胖病因:内分泌激素,给身体“验明正身”!
避开“无效减肥”陷阱:先别急着吃草跑步
同步管理血糖、血脂、尿酸等全身代谢问题
潞河医院内分泌代谢与免疫性疾病中心肥胖门诊,用专业“相面术”+精准检测,帮患者找到“胖点”背后的真相。这个夏天,别再和体重死磕,让肥胖专病医生做你的“减肥军师”!



