近日,国家儿童医学中心北京儿童医院成功救治一名极其复杂的巨大腹膜后节细胞性神经母细胞瘤患儿,其肿瘤最大直径约30厘米,严重包裹重要血管、侵犯组织器官。该患儿经历了4次手术,因胆漏、胰漏、腹腔大血管破裂、腹腔感染,生命几度垂危,最终在肿瘤外科、重症医学科、麻醉科、普外科、超声科、影像中心、消化科、临床营养科、康复科、病理科、神经内科、护理部,以及北京儿童医院保定医院(以下简称保定医院)、北京医院血管外科等10余个团队紧密协作联合救治下,打赢了63天的生命“保卫战”。6月16日,患儿术后出院半个多月,恢复良好。
巨大肿瘤包裹重要血管,持久战艰难打响
今年3月18日,9岁男孩鑫鑫(化名)在父母陪同下,从外地来到北京儿童医院肿瘤外科主任医师王焕民教授的门诊。一周前,孩子因呕吐、腹部不适,检查发现腹腔巨大占位,肿瘤最大径约25厘米。王焕民迅速安排病理会诊,结果提示外周神经母细胞性肿瘤,未见肿瘤远处转移。
对鑫鑫来说,手术切除是目前唯一的治疗选择。为了减少手术等候时间,经与鑫鑫家长充分沟通,鑫鑫来到北京儿童医院保定医院肿瘤外科接受手术。早在2018年,为缓解北京儿童医院肿瘤患儿床位不足,国家儿童医学中心肿瘤外科保定病区在保定医院成立,开设床位48张,与北京儿童医院实行同质化管理,并成为京津冀医疗协同发展的成功典范。
3月27日,王焕民主刀,带领团队在保定医院为鑫鑫手术。打开孩子的腹腔,在场的医护人员都大吃一惊:肿瘤大小约30*20*10厘米,几乎所有的腹膜后重要血管都像钢筋水泥般被巨大肿瘤包裹,血管被拉长、推挤移位,变得十分纤细,血管壁也被肿瘤侵蚀。这意味着一不小心,就很可能损伤血管,导致大出血;而且孩子的胆道、胰腺、肠系膜等重要组织结构也都被肿瘤侵犯,术后并发症风险极高。王焕民意识到,孩子的救治必将是一场艰难的持久战。经过整整11个小时的战斗,最终顺利将肿瘤切除。

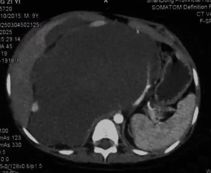
术前腹部增强CT提示腹膜后巨大肿瘤,严重侵犯周围血管及组织器官
然而,正如术前所预判,肿瘤手术切除仅仅是治疗的第一步。4月15日,鑫鑫术后出现胆漏、胰漏、腹腔出血、腹腔感染、消化道出血等一系列症状。情况紧急,医护团队为他紧急进行剖腹探查手术,过程同样异常艰难。
活动性出血危及生命,多学科团队集结化险为夷
4月21日凌晨,鑫鑫再度呕血、便血,腹腔引流管血性渗液,血红蛋白仅69g/L,提示仍然有活动性出血,情况危急!北京儿童医院与保定医院转诊绿色通道迅速启动,鑫鑫紧急转入北京儿童医院,包括肿瘤外科在内的多学科团队积极响应,快速上阵。影像中心急诊增强CT、动脉造影检查发现,鑫鑫的肠系膜上动脉主干旁可见瘤样扩张,随时有血管破裂大出血的风险!消化科胃镜检查提示,胃及十二指肠未见明显消化道出血。
鑫鑫被收入重症监护病房进行治疗。4月22日早8点半,一场知名专家汇集的多学科会诊举行,重症医学科主任王荃、副主任李峥,肿瘤外科王焕民教授团队,普外科主任医师陈亚军教授、副主任庞文博,影像中心副主任医师阴捷,以及特别邀请的北京医院血管外科主任李拥军,就鑫鑫的病情展开细致讨论,制订后续治疗方案。专家讨论后决定,肠系膜上动脉假性动脉瘤是目前随时可能危急鑫鑫生命的“定时炸弹”,当即决定急诊开腹探查。
手术就安排在当天下午。王焕民带领肿瘤外科成海燕主任医师、常晓峰副主任医师,和普外科副主任庞文博、北京医院血管外科副主任医师刁永鹏强强联合。术中情况复杂凶险!腹腔干、肠系膜上动脉起始部均出现破损,正是活动性出血、危及鑫鑫生命的“罪魁祸首”!肝肠吻合口处有黄绿色胆汁渗出,考虑存在吻合口漏……在长达9小时的时间,近20位外科医生、麻醉医生和护理团队精诚协作,最终解决了两处危及生命的动脉出血,对肠系膜上动脉进行了大隐静脉血管替换重建,并完成了胆漏修补。

北京儿童医院王焕民、北京医院刁永鹏等医护人员从患儿大腿内侧取大隐静脉,为患儿进行肠系膜上动脉血管替换
活动性出血危机刚刚解除,鑫鑫状态基本稳定,但持续存在的胰腺损伤仍十分棘手,腹腔引流液中淀粉酶最高飙升至70896 U/L,是正常水平的上百倍。如果这一问题不解决,仍可能腐蚀血管,导致鑫鑫腹腔再次出血、感染等。
医护团队在尝试多种常规方法后,均未能彻底解决胰漏难题,直到4月29日,超声科主治医师吕传凯凭借高超的技术,通过超声引导,在床旁局部麻醉下,成功在胰腺周围置入两根引流管。自此,腹膜后及腹腔内胰液得以通畅引流,效果立竿见影,胰漏逐步好转!
住院63天终迎曙光,儿童肿瘤一定要早诊早治
5月7日开始,鑫鑫整体病情逐步平稳,陆续尝试饮水、无脂流食、无脂半流食,并逐渐有了食欲,可以下地活动。5月29日,在住院长达63天后,鑫鑫终于出院,踏上了回家的旅程。
“看着鑫鑫跑跑跳跳地离开病房,我们参与救治的医护人员都很高兴,”王焕民表示,得益于鑫鑫的坚韧、家长的信任,以及多学科团队的无缝协作,才最终将孩子从死神手里夺了回来。
儿童肿瘤早期症状隐匿,发现难度较大。王焕民特别呼吁,儿童肿瘤一定要早诊早治,家长要提高对儿童肿瘤的关注,千万别把孩子肚子大简单地当成腹胀、“娃娃肚”。
“多年前,中国小儿外科创始人之一、已故张金哲院士就总结了一套肿瘤‘洗澡自查法’,家长居家就能做初步筛查”,王焕民介绍道,家长在给孩子洗澡时,手指并拢,主要顺序可按三条线:头颈上肢,前身下肢,后身会阴,或按八字诀顺序“头颈肩臀腹腿背阴”触摸,从头部到会阴、四肢、指、趾,每次洗澡顺序不乱不漏,重点检查是否有异常包块、肿大淋巴结或不对称隆起。如果摸到了不是这样的鼓包,家长就要警惕,必要情况及时就医。


