近日,清华大学附属垂杨柳医院心脏中心成功救治一名急性左主干闭塞合并肺癌支气管闭塞的心肺危重症病患。心脏中心联合呼吸与危重症医学科、重症医学科(ICU)、胸外科等多学科协作,在IABP和呼吸机支持下完成急诊血运重建,术后多次床旁气管镜治疗,患者终于转危为安,经过后续的心肺康复后,顺利出院。
急诊:胸痛绿道打通生命主干道
5月23日清晨,心内科主任医师胡江乔紧急会诊了这位67岁的急性广泛前壁心肌梗死患者,启动了胸痛绿色通道。心内科主任医师徐世莹、主治医师刘文博以最快的速度完成了冠脉造影检查,提示冠脉左主干100%闭塞。
左主干病变属于冠心病中的高危类型,一旦严重狭窄或闭塞,可能导致大面积心肌缺血或梗死,致死风险高,需及时诊断和治疗。开通左主干如同在心脏的“生命主干道”上拆除一枚随时可能引爆的炸弹,抢救成功率不足30%,是冠脉介入技术的天花板。
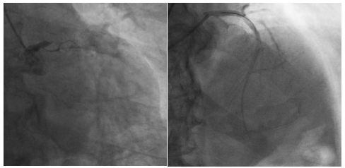
心内科主任医师包恩泽面对挑战,迎难而上,在主动脉球囊反搏(IABP)循环支持及在大量血管活性药物维持生命体征下,指引导管到位、导丝顺利通过病变到达血管远段,球囊扩张,支架植入。从患者到达医院急诊至IABP置入、血管开通,仅用73分钟。患者左主干至前降支顺利植入2枚支架,胸痛明显减轻,生命体征逐渐平稳。

支架植入前 支架植入后
突发:病情突变多专家联合施救
然而,介入手术结束并不是这个患者救治的终点。患者入住CCU后出现气促、呼吸困难等急性泵衰竭表现,心内科主任皮林带领CCU团队立即行气管插管、有创呼吸机辅助通气,抗休克,精细化调整呼吸机参数,胶体和晶体入量和出量,患者生命体征一度趋稳。然而第二天患者突然出现不明原因血氧下降,调整呼吸机参数、吸痰后氧合始终难以改善,完善胸部CT检查后确认有右侧肺的大面积肺不张。
为进一步明确患者病情,心内科立即启动MDT多学科会诊,请重症医学科(ICU)主任彭振丽和呼吸与危重症医学科主任薛兵前来会诊,胸外科主任崔健远程会诊。经呼吸与危重症医学科主治医师陈兴为患者进行急诊床旁气管镜检查后,发现患者右侧支气管因肿物堵塞而完全闭塞造成肺不张,还有疑似牙齿样白色异物附着,周围有破裂出血。彭振丽及崔健认为需要除外气管异物。CCU医护人员仔细检查后,确认患者牙齿并无缺失。那么患者肺部的牙齿样白色物体究竟是何物?

MDT团队进行气管镜检查中

气管镜探查中患者肺部白色物体
为明确诊断,当天夜里胸外科医生王晓再次行急诊床旁气管镜。经过研判,专家们一致认为牙齿样白色组织为肿瘤坏死组织。待异物吸出后,周围组织可见部分渗血,给予药物止血治疗。

气管镜吸出的血块
寻因:MDT解决出血抗凝矛盾
在MDT多学科会诊救治后,患者的氧合逐渐改善,呼吸机参数逐渐下调,呼吸与危重症医学科医生间断给予气管镜吸痰及血块,维持气管通畅。吸出的支气管肿物及血块病理报告为肿瘤组织,明确了患者系既往的泌尿系统恶性肿瘤有肺内转移,堵塞了支气管并造成出血。患者在接受急诊介入治疗后,合并了气管内活动性出血,在抗凝抗板和出血两方面互相矛盾,心内科和呼吸与危重症医学科团队联合精准评估、周密协调,谨慎抗板评估出血,呼吸与危重症医学科间断给予气管镜下止血和吸出堵塞血块。在术后第5天,患者拔除了IABP,术后第7天拔除气管插管,患者开始进行心肺康复训练,住院18天后痊愈出院。
此例循环和呼吸危重症患者的成功救治,充分展现了清华大学附属垂杨柳医院心脏中心在冠脉介入治疗、急危重症救治方面的强大综合实力,是清华大学附属垂杨柳医院MDT多学科团队无缝协作的生动写照:心内科、呼吸与危重症医学科、重症医学科(ICU)、胸外科等在极短时间内精准响应、高效联动,以整合式治疗方案突破救治瓶颈,彰显了医院在急危重症领域顶尖的协同作战能力。
清华大学附属垂杨柳医院是全国胸痛联盟认证胸痛中心,胸痛质控排名在北京市名列前茅。心脏中心可进行各种复杂冠脉病变介入治疗,包括在IABP、ECMO和呼吸机支持下的急诊冠脉介入治疗,曾多次成功抢救左主干急性闭塞病例。清华大学附属垂杨柳医院心脏中心将继续秉持“精诚、协作、至真、卓越”的宗旨,持续提升医疗救治水平,为广大患者的生命健康筑牢坚实的保障防线。


