近日,清华大学附属垂杨柳医院心内科团队首次应用可降解卵圆孔封堵器,成功为一名考虑逆向性脑栓塞的卵圆孔未闭患者完成了卵圆未闭封堵术。这标志着清华大学附属垂杨柳医院在结构性心脏病介入治疗领域迈入“绿色化、无痕化”新阶段。此次是医院首次采用国产自主研发的可降解封堵器开展此类手术,为患者提供了更安全、更前沿的治疗选择。
本次接受手术的男性患者59岁,一月前因不明原因脑卒中在清华大学附属垂杨柳医院神经内科住院治疗。经食管心脏超声及右心声学造影明确卵圆孔未闭合并右向左分流。患者出院一个月后在心内科专家门诊进行门诊复查。心内科主任皮林向患者讲解了卵圆孔未闭的再发脑梗风险及行封堵术的预防措施,患者愿意接受封堵术,心内科团队仔细评估后,认为患者中年男性,脑栓塞最大可能性为卵圆孔未闭造成的逆向性脑栓塞,但是也不能完全排除隐匿性房颤导致左心耳血栓的来源。皮林认为,患者以后可能需要接受的房颤消融及左心耳封堵等穿刺房间隔介入手术保留足够的房间隔通路,同时最大程度避免封堵术围术期血栓的风险,拟采用新型的可降解封堵器实施手术。


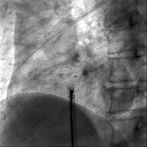
但是可降解封堵器无金属支架,可塑性和顺应性均较传统的金属封堵器要弱,增加了手术的难度,且封堵器在X线下不能完全显影,对于手术的引导手段提出了更苛刻的要求,目前多数医院采用经食管超声引导,这就需要全程麻醉,增加了手术风险和病人的痛苦,团队经过术前反复讨论,为其量身定制了目前更安全和可靠的四点标记的可降解封堵器应用X线及经胸心超的极简式引导手术方案。手术顺利进行,术中心房造影和术后心超均显示卵圆孔彻底闭合,无残余分流。术后第三天患者顺利出院。

清华大学附属垂杨柳医院心内科始终秉承“专注于心,执着于行”的理念,此次医院首次应用可降解卵圆孔封堵器,开展卵圆孔未闭封堵术,是继左心耳封堵术、TAVI(经导管主动脉瓣置换术)、TEER(经导管二尖瓣缘对缘修复术)、LINQ(植入式心电监测仪)等新技术后的又一突破。科室将持续推进前沿技术应用,打造区域性心脏疾病诊疗中心,为患者提供更高效、更优质的医疗服务。医院现已建立PFO诊疗团队,通过规范化筛查流程与个性化治疗方案,为患者提供一站式诊疗服务。


