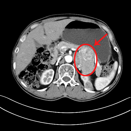
近期,家住内蒙古锡林郭勒的刘先生时感胸口憋闷,伴有头晕症状,在当地医院就诊怀疑是心脏病,经介绍来到首都医科大学附属北京潞河医院泌尿外科就医。刘先生住院后进行了必要检查,经心脏彩超检查并未发现有严重的问题,反而是腹部CT检查发现其左侧肾上腺有肿瘤,最大径12cm。泌尿外科副主任贤少忠随后为刘先生做了血液相关化验检查,发现刘先生的血儿茶酚胺较正常值升高了40倍,贤少忠确定这是一个少见的巨大嗜铬细胞瘤,肿瘤与肾脏、脾脏的血管以及腹腔干紧密粘连,并且病人的嗜铬细胞瘤分泌功能旺盛,会导致血压过山车式的剧烈波动,因此手术风险极大。细心的贤少忠发现,病人的左肾还有一个不起眼的小肿瘤,并且病人的前列腺特异抗原(PSA)是正常值的3倍,这意味着病人可能同时存在肾上腺嗜铬细胞瘤、肾肿瘤、前列腺癌三种肿瘤,这使本来棘手的问题变得更加复杂。


泌尿外科主任张峰波与贤少忠组织科室人员进行了疑难病例讨论,大家认为病人的情况复杂,肿瘤的性质不能完全确定,需要寻求其他科室的帮助,在医疗部主任刘淼、副主任蔡大伟的大力支持下立即召集了多学科讨论,内分泌科、麻醉科、影像科、普外科的专家深入探讨,最终确定了“分阶段、微创治疗”的个体化方案。
在进行了充分的扩血管、扩容及肠道清洁等准备后,第一阶段进行了腹腔镜下左肾上腺肿瘤切除+左肾肿瘤剜除+经会阴前列腺穿刺活检手术。手术由贤少忠主刀完成,为避免挤压肾上腺瘤体造成血压剧烈波动,他采用了对瘤体扰动最小的经腹入路,迅速暴露肾上腺中央静脉并结扎,切断了激素的入血之路,使后面的手术过程更加平稳。然后他小心翼翼地围绕肿瘤抽丝剥茧,成功地将这枚巨型炸弹完整拆除。由于肾肿瘤位于肾上极的背侧,贤少忠在患者腋后线增加1枚辅助Trocar改行经腰入路,仅用时8分钟便完成了左肾肿瘤剜除手术,将热缺血时间压缩到远低于国际安全阈值(25分钟)。最后,采取超声引导下经会阴前列腺穿刺活检手术。幸运的是术后病理证实左刘先生的肾肿瘤为良性的血管平滑肌脂肪瘤,不幸的是前列腺靶向穿刺1针为恶性。


两周后,刘先生经过短暂的恢复便开始了第二阶段的治疗,仍是由贤少忠主刀为他做了腹腔镜前列腺癌根治手术,病理显示前列腺腺泡腺癌,尖部、底部及环周切缘干净,达到了早期治疗、切除彻底的目的。术后在医护人员的精心照护下,刘先生恢复顺利,返回了家乡。在后续回访时,刘先生表示之前的胸闷、头晕、血糖升高等症状都消失了,并且前列腺根治术后尿控良好,手术效果很满意。

刘先生一波三折的治疗过程,让泌尿外科团队更加坚定地意识到责任心的重要性,如果术前阅片不仔细很可能遗漏肾肿瘤,如果不坚持对高危人群常规做PSA筛查,患者就会错过前列腺癌的早期发现;术前充分准备的重要性,如果准备不充分,患者在手术中就会陷入更大的风险之中;手术技术的重要性,只有技术过硬才能不负患者的重托!


