泌尿外科完成1例机器人辅助右肾-输尿管全长切除联合下腔静脉重建术
近日,北京朝阳医院泌尿外科副主任王伟团队成功完成一例高难度机器人辅助腹腔镜下右肾-输尿管全长切除联合下腔静脉重建术,标志着医院在机器人微创手术领域及复杂泌尿系统肿瘤治疗方面的重大突破。
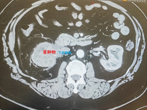
患者为53岁男性,因体检发现右肾肿物就诊。完善进一步检查,肿瘤的影像学特点极不典型,肿物侵及肾实质,右肾动、静脉显示不清,同时病灶与十二指肠及下腔静脉黏连紧密,极有可能侵及下腔静脉,为手术治疗带来巨大难度。下腔静脉作为人体最大的静脉血管,承担着下肢及腹腔脏器的血液回流功能,术中需在完整切除肿瘤的同时重建血管,对手术团队的技术水平、术中护理及麻醉的密切配合及围术期管理均提出了极高要求。

患者右肾肿物影像
针对患者影像学特点,不除外是肾盂来源的恶性肿瘤,王伟团队经充分讨论后决定实施机器人辅助右肾输尿管全长切除术。术中发现,肿瘤侵及下腔静脉,与下腔静脉及十二指肠粘连严重,与术前评估一致。王伟按术前制定的手术方案,通过达芬奇机器人系统放大的3D视野及灵活机械臂,充分游离下腔静脉,完成下腔静脉的完全阻断后切除受侵的下腔静脉部分血管,完整切除肿瘤。随后,王伟完成了下腔静脉的重建,确保血液循环通畅。整台手术进行顺利,手术历时3个小时,患者术后生命体征平稳。



机器人辅助腹腔镜下腔静脉重建是泌尿外科天花板级别的微创手术,不仅手术难度系数高,对术者的操作技术及心理素质要求也极高。在狭小空间内完成高难度血管吻合,展现了机器人手术的稳定性和精准性,以及术者的过硬的手术操作技术和心理素质。北京朝阳医院泌尿外科将持续推进机器人手术技术的临床应用,以更微创、更精准的医疗手段,为患者提供高质量诊疗服务。


