近日,清华大学附属垂杨柳医院神经外科采用血管内介入治疗联合硬通道穿刺引流两种微创技术及时救治了一例重症动脉瘤性蛛网膜下腔出血患者,效果良好。
患者男性,40岁,既往体健。主因“头痛2天,加重1天”就诊于清华大学附属垂杨柳医院急诊科。查体:嗜睡,可对答,双侧瞳孔等大。急诊头颅CT显示蛛网膜下腔出血,CTA提示右侧大脑中动脉M1段分叉动脉瘤。

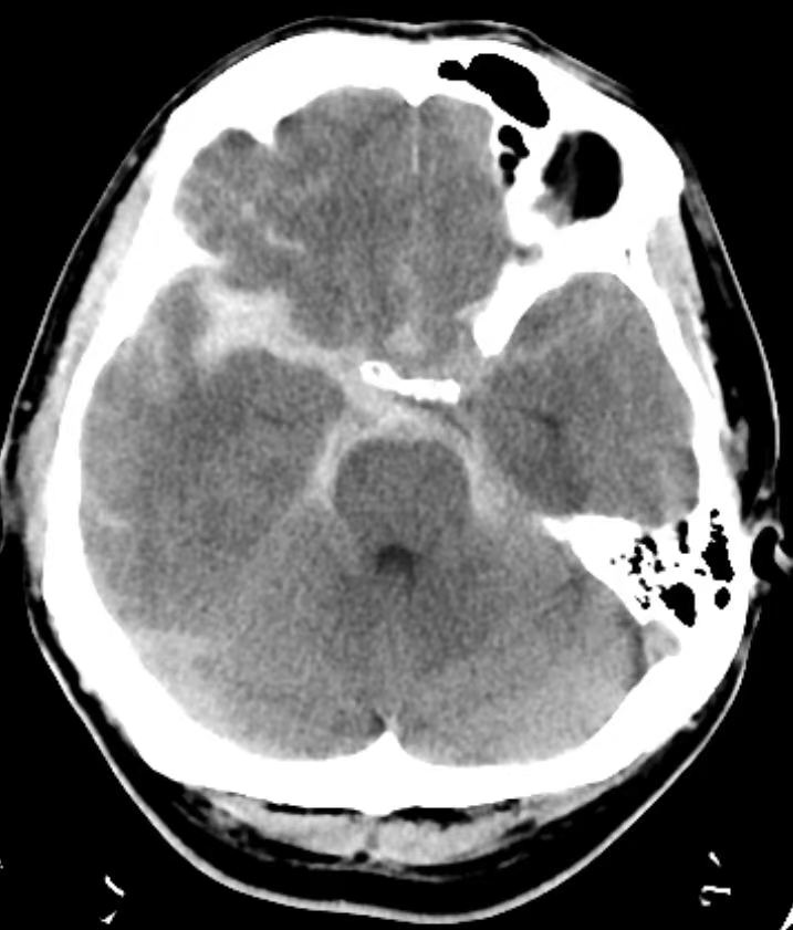
CT提示蛛网膜下腔出血

CTA提示右侧大脑中动脉动脉瘤
向家属交代病情及治疗方案,家属选择微创介入治疗,拟急诊行动脉瘤栓塞术。术前准备过程中,患者意识障碍加重,呈浅昏迷,双侧瞳孔等大,左侧肢体出现偏瘫。考虑为动脉瘤再次破裂出血,血肿形成。神经外科紧急术前讨论,认为患者病情恶化,二次出血,Hunt-Hess分级达4级,随时有生命危险。再次向家属交代病情及诊治方案,家属仍表示首选微创手术治疗。神经外科决定在复合手术室先行动脉瘤栓塞降低再出血风险,再行硬通道穿刺引流术引流血肿以降低颅内压。
脑血管造影显示右侧大脑中动脉M1段分叉不规则动脉瘤,累及下干,角度刁钻。神经外科副主任医师刘磊决定采用单纯弹簧圈栓塞动脉瘤,避免因支架植入后需口服抗血小板药物进而影响后续的有创手术。经过2小时的手术,动脉瘤达到了致密栓塞,不定时炸弹拆除了,载瘤动脉各分支血流通畅。

神经外科医生(刘磊,王绍珍)介入手术中

脑血管造影显示右侧大脑动脉M1段分叉部不规则动脉瘤

术后即刻造影,动脉瘤致密栓塞,载瘤动脉通畅
术中CT显示右侧颞叶脑内血肿,出血量约50ml。于床旁行硬通道穿刺引流术,当即抽出陈旧血25ml,用时仅15分钟。术后于ICU治疗,病情逐渐好转,术后3周转康复医院继续治疗,出院时患者意识清楚,左侧肢体不全偏瘫。出院后两周患者已行走自如,专程来院送来了感谢信和锦旗。

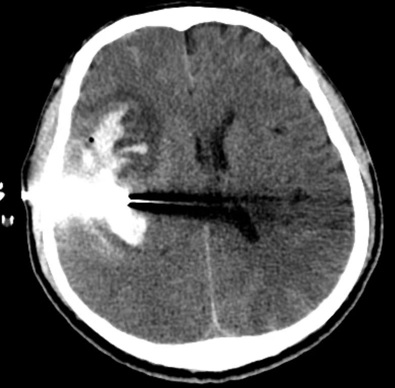
术中CT

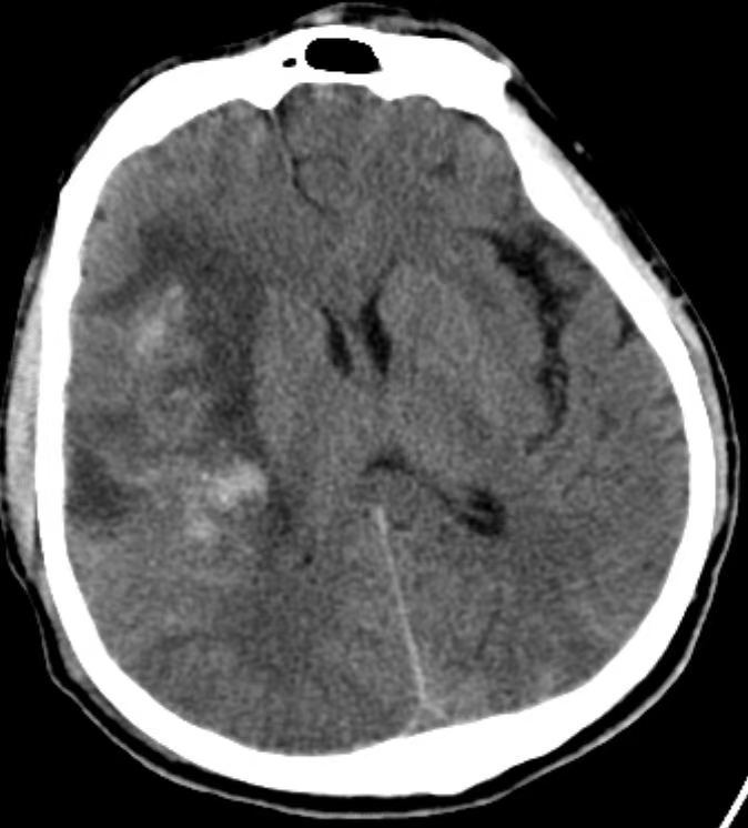
术后第1天CT

术后第10天CT
此例大脑中动脉瘤破裂患者,术前已至少两次出血,病情持续恶化。神经外科医生与时间赛跑,紧急手术,先采取血管内介入治疗栓塞动脉瘤防止再出血,后采取脑内血肿硬通道穿刺引流术,及时挽救了患者。双重微创技术大大减少了对患者的创伤,缩短了抢救时间,真正做到了微创,最重要的是治疗效果良好,患者及家属满意。

术后半个月

锦旗

感谢信
科普小课堂:
蛛网膜下腔出血是一种严重的出血性脑血管疾病,典型临床表现为突发的剧烈头痛,颈痛,伴恶心呕吐,甚至昏迷。颅内动脉瘤破裂是导致自发性蛛网膜下腔出血最常见的原因,约占85%。颅内动脉瘤常位于血管分叉处,它并非实体肿瘤,而是脑动脉壁薄弱处的异常凸起,类似于自行车内胎磨损后的“鼓包”,一旦破裂,后果不堪设想,被称为“颅内的不定时炸弹”。动脉瘤首次破裂出血死亡率可达30%,二次破裂出血是蛛网膜下腔出血患者面临的最危险并发症,致死率和致残率极高,因此一旦诊断,需尽快干预。
大脑中动脉(MCA)动脉瘤是最常见的颅内动脉瘤之一,约占所有颅内动脉瘤的20%。大部分MCA动脉瘤位于M1段分叉处,通常指向外侧(61%~88%),其次位于M1近端(7.7%~22%),较少位于MCA远端(4.3%~27%)。MCA动脉瘤可能偶然发现,但更常表现为蛛网膜下腔出血。有数据显示43%以上的该部位动脉瘤伴发≥2.5cm的脑内血肿,超过其他任何部位动脉瘤;伴发脑室内出血的比率高达24%,这就可以解释为什么MCA分叉部动脉瘤患者就诊时Hunt-Hess分级往往更高。因此MCA动脉瘤一经发现,应积极干预。
开颅夹闭术一直是MCA动脉瘤治疗的传统模式,但随着血管内治疗技术的进步,微创治疗的MCA动脉瘤越来越多。血管内和显微外科治疗可作为独立的治疗方式,也可联合使用,最重要的是针对每个动脉瘤制订最安全有效的个体化治疗方案。破裂动脉瘤如伴有脑实质内血肿,尤其是脑疝的患者,应行开颅手术夹闭动脉瘤,清除血肿并去除骨瓣。也可在清除血肿前先行弹簧圈栓塞,能够防止开颅和打开硬脑膜时动脉瘤再次破裂。


