近日,北京朝阳医院泌尿外科副主任医师郑鑫团队完成多例高难度宫颈癌放疗后输尿管狭窄修复手术,重燃患者生命希望。
当“不可逆”遭遇“不放弃”
宫颈癌放疗后的输尿管狭窄,曾被医学界视为“修复禁区”——放射性损伤导致输尿管组织脆弱如纸、周围严重粘连,传统手术极易失败,患者往往面临终身肾造瘘管依赖、肾功能衰竭甚至生命威胁。然而,北京朝阳医院泌尿外科尿路修复团队以创新技术打破困境,通过多种不同修复术式,成功为多位饱受折磨的患者重建输尿管通路,实现“从绝望到新生”的医学奇迹。
攻坚克难:一场与“毫米级脆弱”的较量
放疗后组织“豆腐渣工程”。放射性损伤使输尿管及周围组织纤维化、血供极差,传统缝合易撕裂、易漏尿,术后再狭窄风险极高。
解剖结构“迷宫式粘连”。盆腔放疗导致输尿管与周围脏器紧密黏连,分离时稍有不慎即损伤血管、肠道,堪称“在雷区排爆”。
重建通道“巧妇难为无米之炊”。狭窄段长、健康输尿管残留不足,需以膀胱组织“精工剪裁”为瓣膜,替代缺损段,对血供设计精度要求严苛。
技术突破:机器人“显微手”+创新术式双剑合璧
达芬奇机器人显神威。10倍高清3D视野下,主刀医生精准剥离粘连组织;540度旋转机械臂在狭小空间完成毫米级血管吻合,出血量不足50ml。
改良膀胱翻瓣术“量体裁衣”。创新设计带蒂膀胱瓣膜,保留完整血供网络,重塑输尿管生理性抗反流结构,术后狭窄复发率降低80%。
生命重启:从“带着尿袋活着”到“笑着拥抱生活”
案例一:王女士,48岁
放疗后输尿管狭窄致左肾积水,反复支架支撑无效,每日需忍受腰腹剧痛、反复尿路感染。术后2月拔除支架,肾功能完全恢复,重归职场。

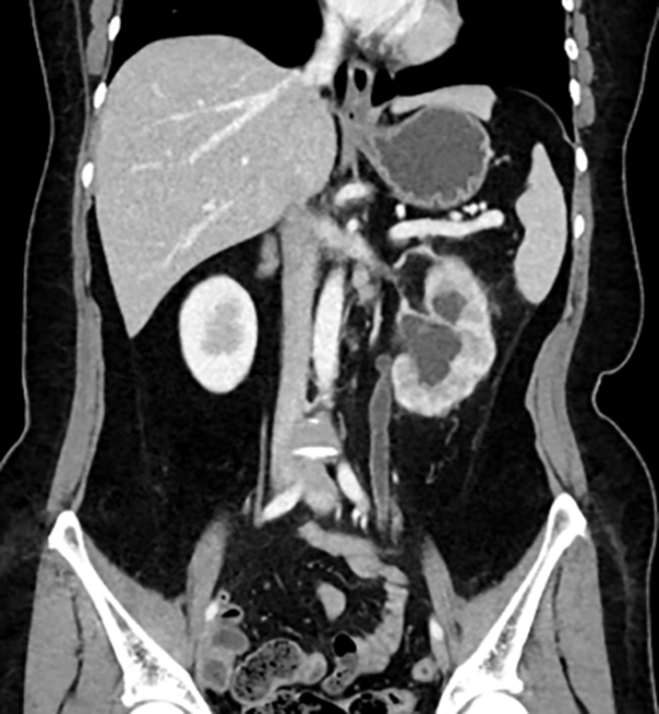
王女士术前CT

王女士术前造影

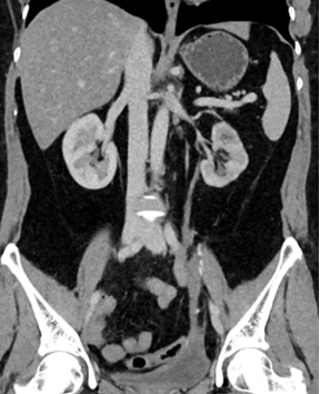
术后半年复查积水缓解
案例二:李女士,69岁
宫颈癌放疗后出现输尿管狭窄并继发输尿管结石。碎石手术后无法拔除支架,痛苦异常。如今能够摆脱支架,她说:“终于能够活得像个普通人了。”

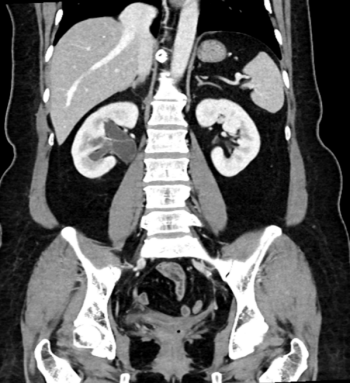
李女士术前CT

李女士术前造影

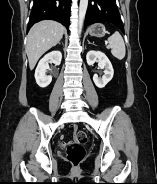
术后半年复查积水缓解(憋尿状态)
数据见证改变
尿路修复术后3个月通畅率100%,无尿瘘、感染等并发症。
患者生活质量评分(QOL)从术前35分提升至85分。
医疗费用较传统多次手术降低60%。
尿路修复团队:用极致技术守护生命的尊严
尿路修复团队副主任医师郑鑫介绍:“这类手术的难度不亚于在豆腐上雕刻血管。但看到患者摆脱造瘘袋、支架,重获正常生活的笑容,再多的付出都值得。我们不仅要治病,更要修复患者被疾病击碎的人生。”
为复杂尿路重建点亮一盏灯
此类手术的成功,标志北京朝阳医院在放射性输尿管损伤修复领域的出色水平。未来,泌尿外科将继续以“机器人精准外科+个体化修复方案”为特色,为更多复杂尿路疾病患者提供“不可能的可能”。
让技术有温度,让重生无界限,北京朝阳医院泌尿外科——复杂尿路重建的领航者。


