近日,北京朝阳医院泌尿外科尿路修复专业组副主任医师郑鑫团队成功为两位复杂双侧输尿管狭窄患者实施个性化治疗。
病例一:分步治疗实现上尿路功能重建
李女士曾在外院接受双侧输尿管镜碎石术后出现严重并发症,肌酐飙升至484umol/L,双侧腰腹剧痛。转入北京朝阳医院泌尿外科后,立即行双侧肾穿刺造瘘,迅速将肌酐降至安全范围,同时通过精细的输尿管镜探查,在严重受损的输尿管组织中精准定位管腔,成功置入双侧输尿管支架。

李女士术前损伤造影
两个月后评估显示,通过输尿管支架的支撑和造瘘改善炎症和水肿,李女士的右侧输尿管恢复良好。但左侧因损伤程度严重需手术重建,郑鑫团队运用达芬奇机器人技术为李女士成功实施高难度的改良膀胱瓣-输尿管吻合术重建上尿路。

李女士治疗前后CT对比
经过四个月的系统治疗,患者最终摆脱所有外置管路,肾功能稳定,重获健康生活。
病例二:年轻患者的生命转机
31岁的房先生经历多次碎石手术失败后,带着肌酐超过400mmol/L的危急值和双肾造瘘管来到北京朝阳医院泌尿外科。郑鑫团队评估发现患者左侧尿路肾功能保存较好,适合优先重建。右侧尿路严重炎症且肾功能较差,需先行控制感染。

房先生术前损伤造影
医疗组采用分期手术的策略,机器人辅助下完成左侧输尿管狭窄段切除再吻合手术,解除主力肾脏的梗阻,保护肾功能的同时稳定肌酐水平。

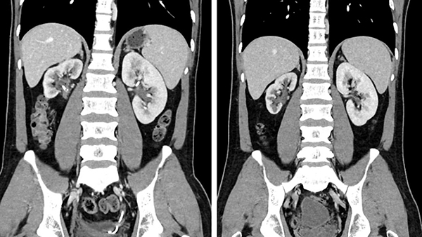
房先生治疗前后CT对比
待右侧输尿管炎症控制后,观察右肾尿量,评估后可以修复从而最大程度保住有效肾单位。右侧采取膀胱瓣-输尿管吻合的方式重建上尿路。最终,患者肌酐稳定在正常值附近,重返工作岗位,结束了长达8个月的“造瘘人生”。
郑鑫表示,输尿管狭窄病因复杂,且个体差异极大,医疗团队整合了达芬奇机器人平台、个性化的分期治疗策略、多学科协作模式,能够为每位患者量身定制最佳治疗方案。
这两例疑难病例的成功救治,充分展现了北京朝阳医院泌尿外科在上尿路修复领域的领先技术水平、处理复杂病例的综合实力和“以患者为中心”的服务理念。未来,泌尿外科将继续推进技术创新,以更精准、更微创的治疗方式,守护广大患者的泌尿系统健康。

泌尿外科郑鑫团队合影


