4月15日—21日是第31个全国肿瘤防治宣传周,今年宣传周主题是“科学防癌 健康生活”。恶性肿瘤过去往往被视为“死亡宣判”,如今随着医疗技术的不断发展,它已逐渐被视为一种“可防、可控、可治”的慢性病。在恶性肿瘤防治的漫漫征途中,首都医科大学附属北京潞河医院肿瘤中心始终坚守使命,围绕恶性肿瘤的三级预防,以创新为笔,用AI赋能,为肿瘤患者点亮健康未来的“生命之光”。

“癌症百科”互动展项

“癌症的筛查”互动展项

“肿瘤的成因”互动展项
恶性肿瘤预防|让肿瘤科普“触手可及”
肿瘤的一级预防是病因预防,从根本上改变居民的癌症防治观念,树立主动筛查的认知是肿瘤防治的核心。潞河医院肿瘤中心自2021年开始引入AI智能科普系统,通过语音讲解、图文并茂、互动感应等方式,将复杂的肿瘤知识变得通俗易懂,促使公众积极树立肿瘤预防意识,改变不良生活行为来预防癌症的发生。
恶性肿瘤早期筛查与治疗|智能筛查为健康保驾护航
肿瘤的二级预防是早期发现与治疗,是癌症防控的关键,而高危人群的识别是二级预防的基础。潞河医院的AI智能筛查机器人已走进病房,步入门诊,踏入社区,可以对不同群体进行自动化、个体化的肿瘤筛查并给予干预建议。这不仅帮助公众客观地了解自身存在的肿瘤高危因素,也可以帮助大家调整饮食、运动结构,在防癌、抗癌路上提供科学指导。
恶性肿瘤规范化治疗与康复|精准施治 肿瘤患者拥抱希望
肿瘤的三级预防是规范化治疗与康复。当下,随着医学技术的进步和社会保障体系的完善,癌症患者的生存期也在大幅度延长。潞河医院肿瘤中心通过模式创新,依托现有“3+2+1紧密型医联体”,建立健全恶性肿瘤全生命周期管理模式,科学监控良性及癌前期病变的进展,管理肿瘤患者的心理和营养,AI辅助基因检测助力精准治疗,构建分层精准科学肿瘤慢病化防控体系。在庞大患者群中,已有不少患者借助基因检测优化了治疗策略,延长了生存期。
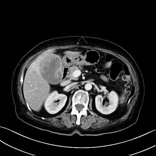
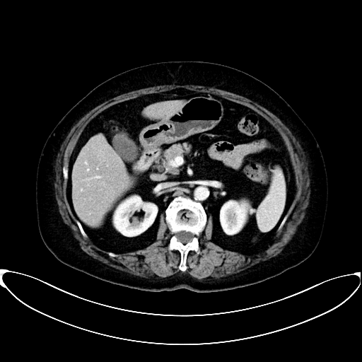
70多岁的王女士就是其中一位。2021年,王女士诊断为胆囊癌侵犯肝脏、腹壁,初始评估无手术机会,在潞河医院肿瘤中心经过精准抗肿瘤内科治疗(抗HER-2靶向药物联合PD-1单抗)后获得了手术切除机会,术后病理提示未见残存肿瘤细胞,目前处于无瘤生存状态。

治疗前

治疗后

潞河医院肿瘤中心聚焦肿瘤精准诊疗,迄今已承担70余项国际、国内多中心新药临床研究,研究目标瘤种广泛,包括胃及胃食管结合部腺癌(靶向HER-2、CLDN 18.2),食管癌(靶向EGFR/HER3、CLDN 18.2),肺癌(靶向EGFR),泛实体瘤(靶向HER-2,新型PD-L1抑制剂,细胞治疗)等,新药种类涉及新型化疗药物、靶向药物及免疫药物,力求不断提升肿瘤精准诊疗水平,为患者提供最优质的医疗服务。
肿瘤防治是一场长期的战斗,需要医患共同携手,AI智能将助力我们一起更有信心地打赢这场硬仗。潞河医院肿瘤中心也将继续探索更多医疗与科技相结合的创新模式,为患者和公众提供更加优质、更加便捷的医疗服务,让“生命之光”继续在肿瘤防治的道路上照亮健康未来!


