咳嗽胸闷当感冒治,拖成了呼吸衰竭,到医院就诊发现,肺里竟“发霉长毛”了,这到底咋回事?

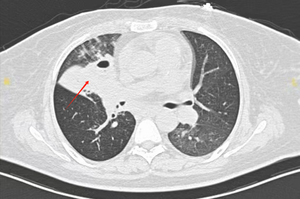
患者右肺呈现大片白色
来自河北的唐女士怎么也没想到,一场看似普通的咳嗽,竟让她在鬼门关前走了一遭。4个月前,她因咳嗽、胸闷,先输了10天消炎药,症状没好转反倒加重了,出现呼吸衰竭被紧急送到市级医院,气管插管后送进ICU。CT扫描让人倒吸一口凉气:右肺被大片白色阴影笼罩。而气管镜下可见右主支气管被“毛霉菌团”完全堵死——这意味着,她的肺正在“发霉长毛”!
毛霉菌,这种常出现在腐食、土壤中的真菌,靠分解有机物为生。健康人吸入后大多能自行清除,但唐女士刚确诊的糖尿病成了“致命缺口”:长期高血糖导致免疫力崩塌,让毛霉菌在肺里疯狂繁殖,啃食支气管、血管,甚至形成肺坏死和大咯血风险。数据显示,肺毛霉菌病死亡率高达40%~80%,尤其是侵犯主气道的患者,存活希望渺茫。
患者病情稳定后,慕名转诊至北京清华长庚医院呼吸与危重症医学科主任牟向东处求助。复查气管镜,牟向东发现患者病情又进一步加重了,毛霉菌已侵犯连接左右肺的“交通枢纽”——隆突,右主支气管完全堵塞,随时有大咯血窒息死亡的风险。

“皇冠上的手术”:
在呼吸的“咽喉要道”动刀
呼吸关生死,牟向东立即组织多学科联合讨论,由内分泌与代谢科调控患者血糖修复免疫,由胸腔外科陈东红主任尽快主持手术,切除右全肺、右主支气管,重建隆突——此类手术是胸腔外科领域“皇冠上的宝石”,需在直径仅约2厘米的气管与左主支气管间完成精准吻合来重建呼吸道,稍有偏差就会导致呼吸通路断裂。
术中所见触目惊心:右肺大部分已实变,布满发霉的空腔,毛霉菌“啃穿”支气管壁,甚至累及了肺门大血管。在麻醉科段怡的支持保障下,胸外科陈东红团队耗时6小时切除病灶,并将气管与左主支气管重新“接活”。术后当天,患者就脱离了呼吸机,看似闯过了最险的一关。
术后九死一生:
脓胸、吻合口瘘,二次手术再闯关
然而,糖尿病酮症酸中毒、重度真菌感染、耐药肺炎克雷伯菌多系统合并感染、贫血、肥胖等多重聚于一身,这些不良因素让唐女士的康复之路险象环生。术后一周,气管-支气管吻合口出现微小瘘口,继发胸腔感染出现了脓胸,胸壁切口大范围感染溃烂,甚至与胸腔相通。这是非常凶险的情况,唯一的呼吸通道有断开窒息的风险!牟向东团队紧急在支气管镜下置入支架封堵瘘口,胸腔外科主治医师朱伟鹏同期进行脓胸廓清和切口清创——这场“二次战役”中,医生跨科组团作战,像“管道工”一样,既要修补漏气的气管,又要清除胸腔内的感染“泥潭”。

左四为临出院时的患者唐女士,这一病她快速消瘦了50斤体重
在呼吸与危重症医学科及胸腔外科医护团队通力协作下,系统性抗感染治疗、胸腔冲洗引流控制感染、每天多次清创换药促进切口愈合、严密监测控制血糖防止免疫力“掉线”、营养支持避免患者过度消耗……最终,患者胸壁切口完全愈合,血糖得到较好控制,气管漏口成功愈合并顺利取出支架,至此,唐女士的呼吸生命线终于通畅了。
肺毛霉菌感染较为罕见,病情严重,且治疗极为困难。肺毛霉菌病的治疗过程中,除了治疗基础疾病及全身抗真菌药物治疗外,积极的局部治疗尤为重要,包括气管镜介入+灌注治疗及手术切除病肺治疗,北京清华长庚医院在既往的诊疗病例中,已经形成了“术前系统性抗真菌药物治疗±支气管镜介入治疗+手术±术后系统性抗真菌药物治疗”模式,为患者重建呼吸生命线。


