2025年3月底,当术后复查的老李再次来到北京大学第三医院普通外科时,他和家属紧紧握着医护人员的手,满含感激地说道:“特别感谢三院所有的医护人员,要不是你们,我今天不定什么样子呢,太谢谢你们了!”
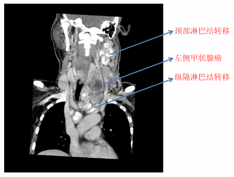
半年多前,57岁的老李在检查中发现了颈部肿物,但因肿物不痛不痒,老李便没有重视。近半年来,老李颈部的肿物越来越大,一家医院为他进行了左侧颈部肿物活检,结果显示为左侧高级别甲状腺髓样癌。PET-CT检查显示,老李颈部淋巴结广泛转移,纵隔淋巴结也未能幸免,疾病的恶性程度极高。老李先后去到多家医院,却都被告知没有好的解决办法,最后辗转来到北京大学第三医院。

患者颈部、纵隔淋巴结广泛转移
甲状腺癌是一种起源于甲状腺滤泡上皮或滤泡旁上皮细胞的恶性肿瘤,是头颈部最为常见的恶性肿瘤。近年来,全球范围内甲状腺癌的发病率增长迅速,据全国肿瘤登记中心的数据显示,我国城市地区女性甲状腺癌发病率位居女性所有恶性肿瘤的第4位,且我国甲状腺癌将以每年20%的速度持续增长。
甲状腺癌最常见的类型为分化型甲状腺癌,大多预后良好,但老李所患的高级别甲状腺髓样癌却凶险万分,若不进行手术,疾病会迅速进展,患者的预期生存期将明显缩短。随着病情恶化,患者会逐渐出现说话声音嘶哑、饮水呛咳等症状,严重影响生活质量。而且,由于癌细胞的侵蚀,颈部皮肤一旦出现破溃,也将难以愈合,增加感染等并发症的风险,进一步危及生命。
北京大学第三医院疑难甲状腺与甲状旁腺疾病多学科诊疗(MDT)团队迅速启动,普通外科宋世兵主任医师、李欣副主任医师,超声医学科陈文主任医师,放射科陈明医师,心脏外科傅元豪副主任医师,病理科梅放副主任医师,内分泌科王海宁主任医师,麻醉科邓莹副主任医师共同对老李的病情展开深入研讨。
老李的病情极为复杂,手术面临着诸多挑战。一方面,上纵隔淋巴结清扫一直是甲状腺外科的难题,甲状腺髓样癌上纵隔淋巴结转移概率为18%,指南推荐在保证手术安全的前提下尽可能一期完成肿瘤完整切除,以达到解剖上甚至生化治愈。如何进行受累区域的淋巴结和脂肪组织完整清扫,尽量不要肉眼残留病灶,是摆在团队面前的一个难题。另一方面,手术需要精细操作,在切除肿瘤和清扫淋巴结的过程中,要仔细保护患者的血管、神经、周围器官及组织,稍有不慎就可能引发严重并发症。
经过讨论,团队制定周密的治疗方案。针对上纵隔淋巴结清扫的难题,心脏外科和普通外科决定采用正中开胸的方式进行清扫,以确保尽可能地清除癌细胞。
2025年春节后的第一个工作日,早上8:30,老李被推进了手术室。在多科室的紧密协同下,手术正式开始。

团队为患者进行手术
手术分为两大步骤:第一步,普通外科宋世兵、李欣医师团队开启这场与病魔的“鏖战”,将颈部的甲状腺癌组织以及转移淋巴结彻底切除。第二步,心脏外科傅元豪与普通外科医师一起完成正中开胸,清扫上纵隔淋巴结。
历经11个小时,团队成功完成了这台复杂的甲状腺癌根治术(甲状腺双侧全切,双侧颈部淋巴结清扫,正中开胸,纵隔淋巴结清扫)。术中,患者出血量小于100ml,生命体征始终平稳,术后患者直接被转回普通病房。
在医护团队的精心照料下,术后1周,老李拔除所有引流管,顺利出院。
这场手术的成功,离不开北京大学第三医院各科室深厚的技术底蕴和MDT诊疗的支持。从MDT迅速介入,到多学科专家精心制定治疗方案,再到手术团队的全情投入,各科室的紧密协作……北京大学第三医院疑难甲状腺及甲状旁腺疾病MDT团队在面对复杂病情时,凭借勤奋、专业与团结,为患者撑起生命的保护伞。未来,医疗团队也将继续保持这份专业精神,不断攻克医学难题,为更多患者带来康复的曙光。


