近日,航空总医院骨关节外科李兵团队随访得知,接受AI术前规划+3D打印导板辅助下左侧胫骨高位截骨术的患者李某术后恢复良好,对智能骨科矫形术满意。
一个月前,47岁的李先生双膝关节活动后疼痛3年,半年前于外院诊断为“原发性膝骨关节病、后天性膝内翻畸形”,接受右胫骨内侧高位截骨术治疗,术后右膝疼痛有所缓解,但肢体外观明显外翻。近1月,李先生感觉左膝关节疼痛加重,坐位站起、行走及上下楼困难,听闻航空总医院骨关节科副主任李兵团队在诊治膝关节骨关节炎、矫形手术方面有丰富经验,随即慕名就诊。

术前体位
李兵经过详细的病史询问、专科查体和影像学检查,结合患者自身情况综合评估,考虑到患者尚年轻,对日常活动有一定要求,并且患者体重(105千克)较大,膝关节关节负担更重,截骨术对下肢整体力线的矫正角度控制要求高,容易产生过度矫正或矫正不足现象,决定为患者实施AI术前规划+3D打印导板辅助下的左侧胫骨高位截骨术。

术前下肢全长片
“AI骨科医生”术前精准模拟
AI手术规划软件根据患者的X光片和CT数据,经过算法分析,对患者骨骼解剖结构进行三维重建,生成精准的骨骼模型。
AI自动测量多项关键数据,完成畸形部位及角度判断、目标力线确定、合页和截骨线定位、截骨角度测算以及钢板放置位置推算等工作,最终形成可视化术前规划报告。

术前AI手术规划图
李兵表示,根据术者确认的手术目标,结合患者骨骼解剖结构,AI自动化解析并生成导板数据,进行3D打印。该导板具有与患者骨骼唯一匹配性,能够辅助术者在术中精准、稳定完成截骨操作。

3D打印PSI导板模型
3D导板实现"毫米级"手术导航
术前经过心内科、神经内科、皮肤科、临床营养科及麻醉科的多学科团队联合评估,手术于2月28日如期开展。术中,李兵借助AI+3D打印导板,精确放置导板于截骨区,快速准确定位合页位置、截骨位置、方向和深度,实现精准截骨。同时,楔形块精准撑开,保证撑开角度不丢失,实现手术目标精准落地。

术中X线与AI术前设计对比照片
在李兵团队及手术室、麻醉科共同努力下,历经不到2小时手术顺利完成,术中出血约50ml。术后4天,患者顺利出院。
李兵表示,手术的顺利开展得益于3D打印PSI导板的应用,术中极大地简化了手术操作步骤,避免了传统手术中反复调整力线和透视确认的繁琐流程,减少了术中透视次数,降低了医护人员及患者的辐射伤害,有效缩短了手术时间。

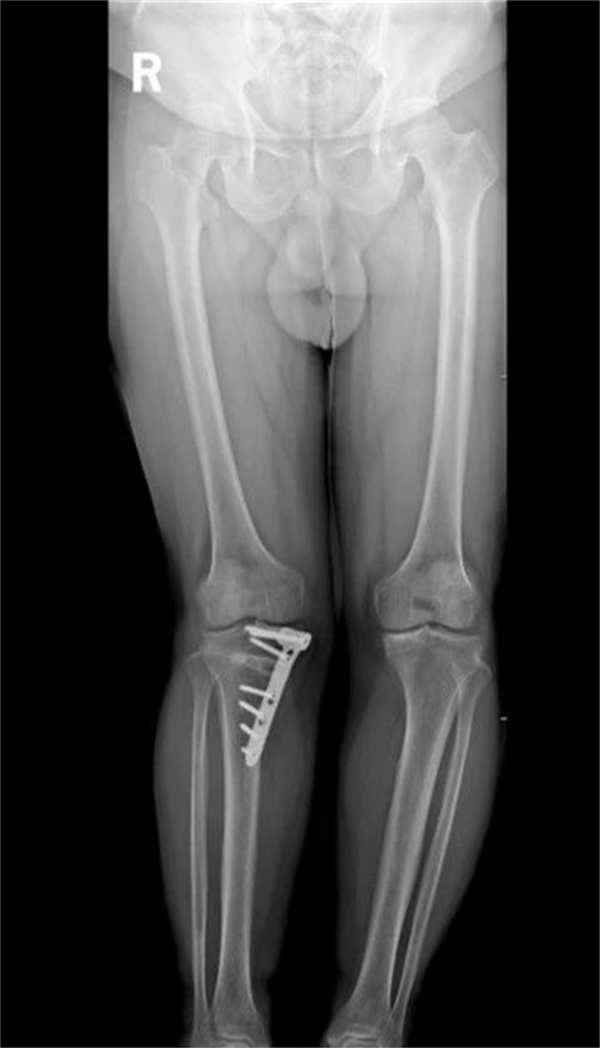
术后体位与术后下肢全长

专家视点
科技赋能骨科,精准医疗再突破
李兵表示,随着人口老龄化的增长,中国骨关节炎患者的数量每年都在增加。骨性关节炎的总发病率约为8%,中国有近1亿人患有骨关节炎。膝骨关节炎患者常面临"保膝"与"换关节"的艰难抉择。截骨术作为一种有效的治疗方案,被广泛应用于膝骨关节炎的“保膝”治疗中;但传统截骨术依赖医生经验判断,存在规划耗时长、术中偏差风险。航空总医院骨关节外科团队创新融合AI智能规划与3D打印导板技术,为患者定制"量体裁衣"式精准治疗方案,实现精准“保膝”治疗。
胫骨高位截骨术(HTO),主要用于治疗膝关节骨关节病伴有胫骨近端特发性或外伤性畸形(内翻或外翻)。该手术通过矫正畸形来调整下肢力线,减轻病变膝关节的压力进而缓解疼痛,修复膝关节,提高患者生活质量。简单来说,就是保留原有的关节内所用重要结构,通过矫正膝关节负重力线(形态)阻止软骨的进一步磨损,增加关节稳定性,缓解疼痛,改善膝关节功能。该术式在AI精准规划和3D打印导板的双重保障下,为骨关节炎患者带来了个性化、精准治疗的新体验,能有效解除患者病痛,实现精准治疗,符合智能骨科未来发展的大方向。
智能骨科不是替代医生,而是将医生的临床经验转化为可复制的精准方案,其核心价值在于提升手术效率、降低手术风险,给患者带来更好的个性化治疗和医疗服务体验。此次创新实践彰显了航空总医院骨关节科在智能骨科领域的前沿探索,也是数字医疗技术在骨科临床转化应用的成功案例,未来骨关节科会以更多先进的技术服务广大病患。


