近日,北京市垂杨柳医院神经外科脑血管病介入团队成功为一名患者实施了颅内破裂动脉瘤栓塞手术,及时精准拆除了颅内“不定时炸弹”。挽救了患者生命,赢得了家属的赞誉。
患者女性,62岁。既往有高血压病史及冠脉支架置入史。来院前突发剧烈头痛,伴恶心呕吐,抽搐一次。就诊于北京市垂杨柳医院急诊科,行头颅CT检查提示蛛网膜下腔出血,当即请神经外科会诊。神经外科医生段练第一时间赶到急诊,查看患者呈嗜睡状态,颈项强直。紧急为患者安排了头颈动脉CTA检查,CTA显示左侧后交通动脉瘤。动脉瘤不规则,再出血风险极大,再出血后果不堪设想,需尽早手术治疗。

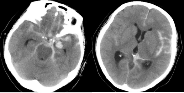
▲术前头颅CT显示广泛蛛网膜下腔出血
神经外科主任张锟,副主任医师刘磊带领团队进行科内讨论,并与患者家属充分沟通病情,决定采取微创血管内介入治疗,拆除不定时炸弹,防止动脉瘤再破裂出血。当日下午,在导管室、麻醉科的全力配合下,由神经外科脑血管病介入团队为患者实施了全脑血管造影术+后交通动脉瘤弹簧圈栓塞术。

▲神经外科脑血管病介入团队(刘磊,王绍珍,段练)手术中
术中三维造影显示左侧不规则后交通动脉瘤,顶端可见子瘤,约3.3*8mm,手术难度及风险相当大。脑血管病介入团队采取了双微导管交替栓塞技术,经过2个小时的手术,患者这颗颅内“不定时炸弹”被成功拆除。过程顺利,动脉瘤达到致密栓塞,载瘤动脉及后交通动脉通畅。术后患者转入ICU接受术后治疗。

▲3D-DSA显示不规则后交通动脉瘤,顶端有子瘤

▲术后即刻造影,动脉瘤致密栓塞,载瘤动脉通畅
术后第一天为患者实施了腰大池置管引流术,引流血性脑脊液。患者头痛逐渐缓解,无新发神经功能缺损。术后一周患者顺利转入普通病房,术后两周好转出院。在出院之际,患者及家属对治疗效果非常满意,并赠送了锦旗以表示感谢。

蛛网膜下腔出血是一种严重的出血性脑血管疾病,典型临床表现为突发的剧烈头痛,颈痛,伴恶心呕吐,甚至昏迷。颅内动脉瘤破裂是导致自发性蛛网膜下腔出血最常见的原因,约占85%。颅内动脉瘤常位于血管分叉处,它并非实体肿瘤,而是脑动脉壁薄弱处的异常凸起,类似于自行车内胎磨损后的“鼓包”,一旦破裂,后果不堪设想,被称为“颅内的不定时炸弹”。动脉瘤首次破裂出血死亡率可达30%,二次破裂出血是蛛网膜下腔出血患者面临的最危险并发症,致死率和致残率极高,尤其是对于Hunt-Hess分级高的高龄患者,极易合并脑血管痉挛、脑梗死、心肺功能衰竭而死亡。
颅内动脉瘤的治疗方法主要有开颅夹闭术和血管内介入治疗,血管内介入治疗具有微创不开刀,术后反应轻,恢复快的优点。尤其适合于高龄、基础疾病多的患者。此例患者采取了单纯弹簧圈栓塞术,效果良好。
北京市垂杨柳医院神经外科脑血管病介入团队采取急诊介入治疗已经挽救了许多颅内动脉瘤破裂患者,他们秉承“破裂动脉瘤不过夜”的思想,始终竭诚为周边居民服务。


