近日,61岁的白先生因贫血,前来北京市垂杨柳医院血液科(肿瘤内科)治疗。在接受了常规骨髓穿刺以及系列治疗后,白先生出院回家休养。但是不久却接到了血液科(肿瘤内科)医生的电话通知,建议他前往医院消化内科进行胃镜检查。
看到这里,您可能会奇怪:白先生是贫血,但是医院却建议患者去做胃镜。这背后有什么玄机吗?
是的!这里就不得不提到医院病理科的精确诊断和运筹帷幄。
在白先生住院期间,血液科(肿瘤内科)医生王玲对白先生进行了常规骨髓穿刺,并将骨髓标本送到了病理科。病理科医生孔令红在进行显微镜检查时,发现白先生这份标本中存在异常细胞:转移癌。借助病理科的好帮手:免疫组化,力求确定转移癌的原发位置。果然白先生的免疫组化结果出来后,孔令红确定了原发胃癌,立即联系临床科室,为患者进一步诊断。

▲骨髓 HE 10X

▲骨髓 CK7(左) MUC5AC(右) 10X
这才发生了最开始的一幕,血液科(肿瘤内科)医生电话联系到白先生去做胃镜。微创肝胆外科主任医师王永光在胃镜下为白先生取了4块活检组织再次送到病理科。病理科医生王丽宁在显微镜下认真审阅这份胃镜活检切片,最终明确诊断为胃癌。

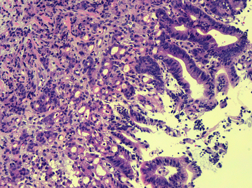
▲胃体 HE 20X
白先生没有想到自己患了胃癌,他表示,平时自己的胃部并没有不适的情况。但在病理科、血液科(肿瘤内科)、消化内科、微创肝胆外科以及微创中心(第二手术区)多方医护人员的共同努力下,寻根追踪,最终发现元凶。“感谢医护人员寻根问底的精神,帮我找到了病情的‘元凶’。我这个病啊终于能有的放矢,好好治啦。”
在病理科的不懈追踪下,在血液科(肿瘤内科)、消化内科、微创肝胆外科以及微创中心(第二手术区)等兄弟科室的共同协作下,白先生的病情得到了精确的诊断和很好的治疗。病理科主任刘晓刚表示,病理科全体医务人员将以此次精确诊断为契机,认真钻研专业知识,不断提高病理专业水平,发挥病理诊断权威性的核心作用,提升医院医疗质量,为百姓提供更加精准的医疗诊断。


