近日,一位北京某高校大学生在课堂上突发脑出血,陷入昏迷,左侧肢体偏瘫,被紧急送往潞河医院急诊抢救室,一场与死神的较量开始了。
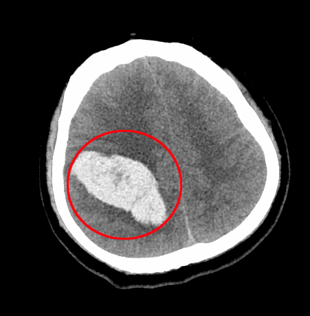
患者是家中独子,一直成绩优异,承载着父母的全部期望。他在课堂上毫无征兆地晕倒,校医紧急拨打120急救电话,把患者送往潞河医院。急诊神经外科值班医生王森接到通知后,迅速冲向抢救室,通过询问病史和查体,初步判断为脑出血,情况十分危急,随即上报给神经外科主任张洪兵。经过急诊CT检查,显示患者脑部血管畸形破裂出血,病变位于功能区,压迫语言中枢与运动皮层。若不及时救治,将严重影响其语言和行动能力,甚至危及生命。张洪兵主任果断指示开通绿色通道,全力抢救。
得益于潞河医院复合手术室的先进配置,血管造影检查和外科手术无缝衔接。经脑血管造影确诊为脑血管畸形。医生们面对患者出血部位在大脑重要功能区的复杂情况深知手术难度巨大,但家属给予的充分信任让大家坚定了信念。王长江和胡艳龙副主任医师通过三维重建技术精准定位血管畸形的供血动脉,在麻醉科和手术室医护人员的紧密配合下,复合手术开始了。血管造影精准定位责任血管,介入医生应用栓塞技术栓塞部分高危出血动脉,张洪兵主任在手术显微镜下仔细清除血肿、切除畸形血管团,每一步都需要高度专注和精湛技艺。术中还采用实时电生理监测技术,确保语言和运动功能不受影响。经过七个多个小时的奋战,手术顺利结束。

脑出血

脑血管畸形
术后,患者转入神经重症监护室。医护人员密切观察其生命体征,给予全方位治疗护理。但恢复过程困难重重,患者术后持续昏迷,苏醒后又面临术区水肿难关。主管医生贾璐琼仔细观察临床症状和脑水肿体征,精准调整脱水药物,经过不懈努力,医护人员终于帮助患者战胜了脑水肿,迅速进入快速康复阶段。在康复治疗室里,患者努力配合训练,眼神中充满对未来的渴望。经过两周的系统康复,患者不仅恢复了肢体活动能力,语言表达也接近正常水平。出院当天,患者在父母的陪同下特意向神经外科的医护人员表达感激之情。这场救治的成功,彰显了潞河医院神经外科的精湛医术与人文关怀,他们以匠心雕琢技术,用大爱守护生命,用执着和坚守护卫百姓健康!

知识链接:
脑血管畸形是脑血管先天性、非肿瘤性发育异常。正常脑血管分布有序,而脑血管畸形时,局部脑血管结构和数量异常,常见如动静脉畸形等。畸形血管易破裂出血,引发剧烈头痛、呕吐、意识障碍等,严重威胁生命,还可能导致癫痫发作、脑缺血等症状。头部CT、核磁及脑血管造影等可明确诊断。治疗方式根据具体情况,包括手术切除、血管内介入治疗、放射治疗等。若发现相关症状,应及时就医排查,早发现早治疗。
潞河医院神经外科在治疗颅内动脉瘤、烟雾病及动静脉畸形等血管病具有丰富的临床经验,治疗团队常年坚守在副中心百姓脑血管病防治的前沿阵地。目前脑血管病专业组人员设备齐全,技术全面且先进,与国际国内最前沿的治疗理念对接,能够完成开颅和介入同时进行的复合手术,应用密网支架治疗多发、宽颈动脉瘤,烟雾病的直接和间接血管重建以及复杂动脉瘤的搭桥手术。在科室主任张洪兵的带领下,脑血管病专业组常年设立“战备”值班,为脑血管病患者第一时间提供快速优质精准的诊疗服务。
脑血管病组出诊时间:
张洪兵主任 周二上午 8:00-12:00
胡艳龙副主任医师 周三上午 8:00-12:00


