近日,北京朝阳医院呼吸与危重症医学科常营院区呼吸介入组联合麻醉科,成功为两位患有中心型肺癌并伴有复杂气道狭窄的患者实施硬镜联合柔性支气管镜引导下的“Y型覆膜支架植入术”。这一手术有效缓解患者气道堵塞问题,为中晚期中心型肺癌患者重新开启生命之门,并为他们后续治疗创造有利条件,为患者带来重生的希望。

王峰主任进行Y型支架置入术
患者1是一位老年男性,被诊断为中央型肺鳞状细胞癌已有半年多的时间。近半个月来,他在静息状态下反复出现胸闷和喘息等症状。呼吸困难的症状迅速恶化,导致他无法平躺,日常生活受到严重影响,因此来到北京朝阳医院呼吸与危重症医学科寻求治疗。

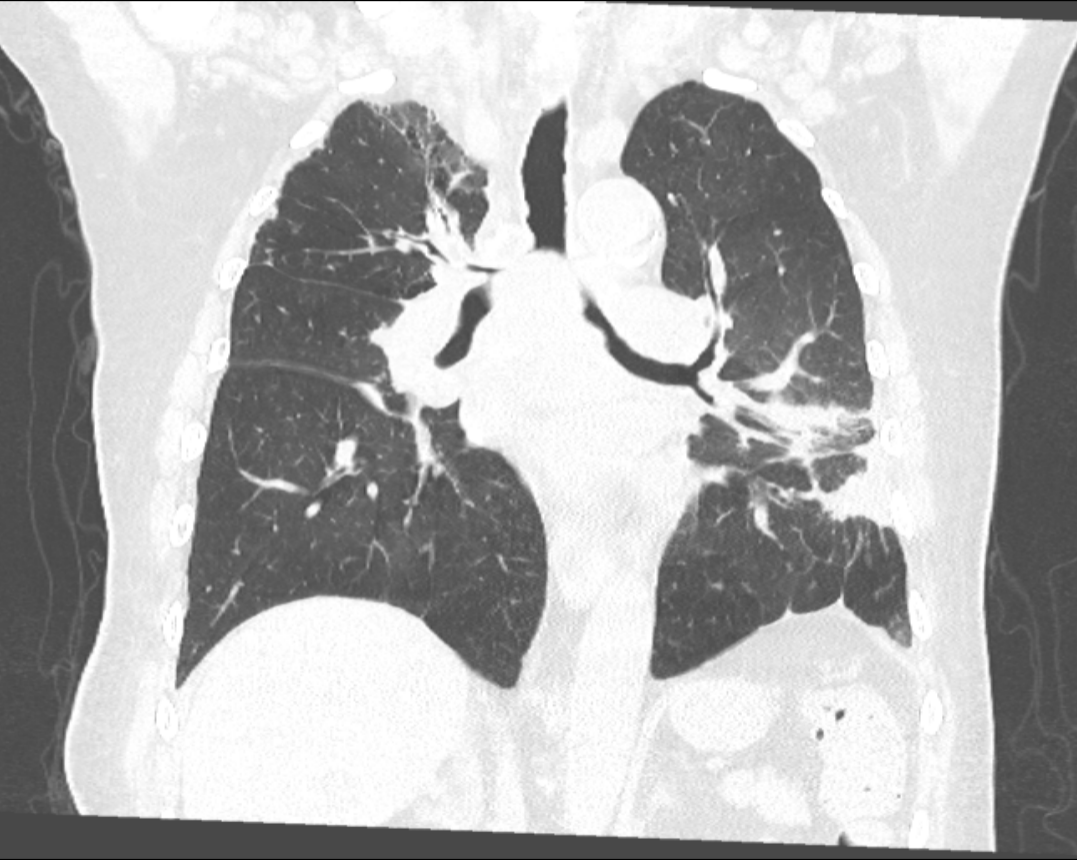
患者术前CT

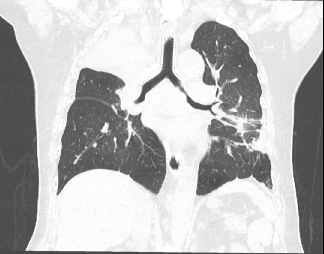
患者支架置入后CT
呼吸与危重症医学科常务副主任、呼吸介入专业组组长王峰对患者进行CT扫描和相关检查。结果显示,患者呼吸困难症状加剧是由于肺部巨大肿瘤压迫气管下段、隆突以及左右主支气管所致。由于气管狭窄的位置特殊,影响到主气管及两侧的主支气管。经过呼吸介入团队的仔细评估,并与麻醉科多次协商,以及与患者及其家属的充分沟通,最终决定采用硬镜联合柔性支气管镜引导的方式,为患者植入“Y型金属覆膜支架”,以重新开通气道,缓解呼吸困难的症状,并为后续的抗肿瘤治疗争取宝贵时间。
手术过程中,王峰带领呼吸介入团队与麻醉团队紧密协作,运用精湛的硬质气管镜操作技巧,根据术前的精准评估,顺利完成导丝放置、精准定位、支架释放及位置调整等一系列操作。在有限的镇静麻醉条件下,成功地将“Y型气管覆膜支架”置入患者体内,显著改善患者气管下段以及左右主支气管的狭窄状况。术后,患者的喘息、胸闷和气短等症状得到明显缓解。

王峰主任进行Y型支架置入术
患者2同样是一位老年男性,因突发性气短3天来常营院区就诊。急诊胸部CT显示主气管下段及左主支气管起始部存在重度狭窄。王峰主任迅速决定将患者转入常营院区呼吸介入病房。在对患者进行初步气管镜检查后,发现气管III区有新生肿物,几乎完全堵塞了主气管,患者随时面临窒息死亡的风险,危在旦夕。王峰主任立即在镜下进行激光减瘤治疗,部分消除了侵入气管内的肿物,并同时置入直筒支架,以进行气管恶性狭窄的临时治疗。患者的生命暂时得到保障,但后续治疗仍面临诸多挑战。几天后,气管镜下肿物的病理结果确认为鳞状细胞癌。为了进一步确保患者气道的通畅,并为后续的全身治疗争取时间,经过呼吸介入与麻醉团队的精心评估和围术期评估后,王峰带领团队成功为患者置入“Y型气管覆膜支架”,该支架同时支撑起了气管中下段及左主支气管起始部的狭窄部分。患者的呼吸困难等症状得到明显缓解。

患者术前CT
王峰介绍,支气管镜下气管支架植入技术是一种治疗复杂恶性气管狭窄的呼吸介入手术,主要用于恶性肿瘤所导致的中心气道狭窄或复杂气管食管瘘的封堵。该项技术可以显著缓解恶性肿瘤压迫所导致的呼吸困难症状,明细改善患者生活质量,为中晚期肿瘤患者后续接受全身治疗赢得时间。
“Y型金属支架”是支气管金属支架的一种,主要用于同时累及气管隆突及左右主支气管的复杂恶性气道狭窄患者的救治。术中操作难度较高,需术前根据患者具体病情定制适当尺寸及成角的Y型支架,同时还需要精准评估患者病情,在改善复杂气道狭窄的同时避免支架遮盖右上叶支气管。不同类型的气管支架应用的情况虽有所不同,但已成为呼吸介入手术中重要的治疗工具,为众多气道狭窄患者带来救治希望。
目前,北京朝阳医院呼吸与危重症医学科常营院区的呼吸介入团队已经成功实施多种复杂的支气管镜下肿瘤治疗技术,包括气管支架置入术、气管球囊扩张成形术、恶性肿瘤的冷热消融术、激光治疗以及恶性肿瘤及淋巴结转移瘤的腔内药物治疗等。这些先进的呼吸介入治疗技术有效地保障了患者的生命安全,并显著改善了患者的生活质量,为患者抗击肿瘤提供了全程的重要保障。
科普知识

气道支架置入术是在气管/支气管镜或放射线的实时监视下,通过将管状的气管支架支撑物送入病变部(狭窄处、瘘口),支架自展扩张,重建呼吸通道,缓解患者呼吸困难症状的一种气道介入技术。
气管支架适应证:
①中心气道器质性狭窄的管腔重建。
②气管、支气管软化症软骨薄弱处的支撑。
③气管、支气管瘘口或裂口的封堵。
④所有失去手术机会或无法接受手术治疗的恶性气管、主支气管狭窄治疗。


