病情介绍:
患者,女性,52岁,因“右侧胸痛1月”入院。1个月前,患者出现右侧胸痛,当地医院CT检查显示右肺中叶及左肺上叶大片实变影,初步诊断为肺部感染,给予哌拉西林舒巴坦抗感染治疗,但效果不佳。随后,患者接受了气管镜检查,灌洗液送检二代高通量测序(NGS),结果显示为金黄色葡萄球菌感染,遂调整为左氧氟沙星抗感染治疗。2周后复查胸部CT显示病变仍无明显好转。随后,患者经介绍前往清华大学附属垂杨柳医院就诊。

▲患者胸部CT影像,显示右肺中叶及左肺上叶大片实变影
镜检过程:
患者入院后,完善术前检查后于2025年1月6日接受了全麻下经支气管镜冷冻肺活检术。

▲冷冻肺活检技术示意图,展示冷冻探头经支气管镜引导至肺组织的过程
术中,医生在右肺中叶外侧段使用直径为1.8mm冷冻探针进行活检,冷冻4秒后快速拔出探针,成功获取了数块大小约1.2cm×0.4cm的肺组织标本。活检术中及术后,患者生命体征平稳,无并发症发生。

▲冷冻肺活检获取的肺组织标本,大小约1.2cm×0.4cm,用于病理诊断
病理诊断:
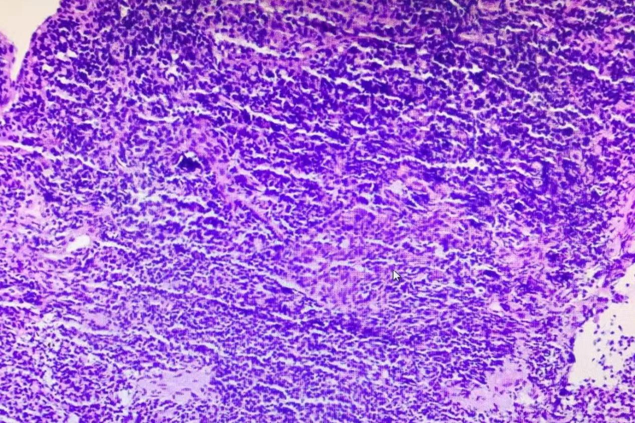
病理科结合患者的CT表现以及肺冷冻活检的取材部位与免疫组化结果,对活检组织进行了详细分析,最终确诊为一种罕见的肺淋巴瘤,即“肺黏膜相关淋巴组织结外边缘区淋巴瘤”(简称为MALT淋巴瘤)。MALT淋巴瘤是一种低度恶性的B细胞非霍奇金淋巴瘤,临床表现不典型,早期症状轻微,影像学表现多样且缺乏特异性,因此极易误诊。常规支气管镜下使用普通活检钳取出的组织样本量,往往难以满足确定病理诊断的需要,导致明确诊断困难。

▲病理切片图像,显示MALT淋巴瘤的典型病理特征
精准治疗:
准确诊断是疾病精准治疗的关键。本例患者通过冷冻肺活检获得了足量的病理标本,得到了疾病的准确诊断;在明确为肺MALT淋巴瘤之后,即将原来的以使用抗菌素为主的抗炎治疗,迅速调整为针对恶行肿瘤的精准治疗,为患者及时获得治愈赢得了极为宝贵的机遇。
冷冻肺活检技术评价:
冷冻肺活检术,是近年来发展起来的一项高难度微创肺活检技术。该技术通过将冷冻探头经支气管镜引导至外周肺组织或结节,利用冷冻探头的黏附性,可以快速获取大块肺组织标本。根据病变的大小和特点,可以选择直径1.1-2.4mm不等的冷冻探头,进而获取不同大小的组织标本。与传统的活检钳相比,冷冻肺活检获取的标本体积更大、质量更高,且对组织内部结构破坏较少,能够极大提高病理诊断的准确性。
科普小课堂:
MALT淋巴瘤是一种较为罕见的低度恶性淋巴瘤,常发生于黏膜相关淋巴组织,如胃、肺、甲状腺等。由于其症状不典型,影像学表现特异性低,早期诊断较为困难。冷冻肺活检技术的应用,为这类罕见疾病的诊断提供了一种新的手段,极大提高了诊断的准确性和效率。
应用冷冻肺活检技术,与病理科、影像科等多学科团队(MDT)紧密合作,显著提高了疑难胸部疾病的诊断效能。这一技术的应用,已使得许多疑难呼吸系统疾病患者获得了精准诊断,并使病人得到了及时治疗,为更多患者带来了希望。


