“感谢翟主任,是潞河医院心内科团队给了我母亲第二次生命!”。这是“80”后徐奶奶顺利完成手术时家属发自肺腑的感谢。
80岁高龄的徐奶奶近半年频繁发作心绞痛,曾就诊于国家级心脏中心,冠状动脉造影提示三支病变,建议行冠状动脉搭桥手术。由于徐奶奶年龄较大,家属担心有手术风险,一直采取药物保守治疗。一个月前因症状加重,被诊断为“急性广泛前壁心肌梗死 急性心力衰竭”。在药物治疗下,徐奶奶的病情一步步恶化,不能平卧,精神每况愈下。走投无路之下,家属带着徐奶奶来到老人心中有很深情结的潞河医院寻求最后一丝希望。原来老人80年前就出生在潞河医院,名字中的“潞”就来自于潞河,这么多年对潞河医院有很深的感情。
徐奶奶入院后,在心脏重症监护室医护人员的精心治疗下,老人的病情得到改善,但超声心动图检查结果还是让大家有些措手不及,检查结果显示老人全心衰竭,射血分数只有20%,左室最薄处心肌厚度只有2.3mm。虽然药物治疗略有效果,但如果不解决冠状动脉狭窄的问题病情只会越来越差。在如此进退两难的情况下,翟光耀主任团队决定放手一搏,与时间、与死神赛跑!

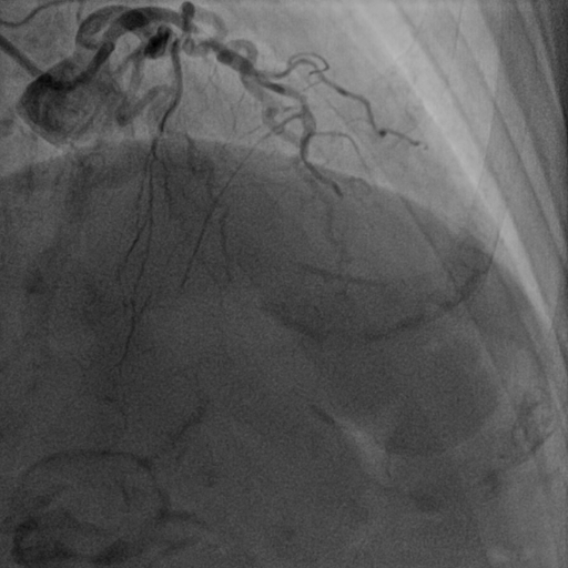
前降支介入术前图像
在经过充分的抗心衰治疗后,徐奶奶在大家的鼓励下上了手术台。冠状动脉造影显示三支冠状动脉严重狭窄,前降支(LAD)近段狭窄99%,回旋支(LCX)远端狭窄80%,右冠状动脉(RCA)中远段弥漫狭窄90%。

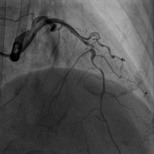
前降支介入术后图像

左室辅助装置图像
翟光耀主任带领高鹏副主任医师、陈文明主治医师在左室辅助装置的保护下成功对徐奶奶的前降支施行支架植入术。在经过几天康复后,徐奶奶可以正常下床活动,身体恢复良好,于近日顺利出院了。

缘乃天定,事在人为,人定胜天!这是一段跨越80年的“潞河情缘”,是潞河医院翟光耀团队的坚持不放弃完美续写了这段缘分。潞河医院心脏中心团队将在翟光耀主任的带领下不忘初心,砥砺前行,为危重症心血管病患者点燃生命的希望之光!


