岁末寒冬,北京迎来了“九九”时节,北风呼啸,寒意袭人。然而这天,88岁的刘奶奶如往常一样在超市买菜,突然感到一阵眩晕,身体失去平衡,倒在地上。头晕目眩和恶心的感觉让她无力呼救。万幸的是,一位热心路人及时拨打了120,急救车迅速将她送往北京市垂杨柳医院急诊科。
急诊医生初步判断可能是急性脑血管病,立即启动脑卒中绿色通道,患者进行头CT检查同时急诊医生呼叫神经内科急会诊。神经内科值班二线副主任医师苏杭迅速赶到急诊.在对患者进行详细神经科查体时,刘奶奶的病情突然恶化:出现意识模糊、四肢无力、言语不清。根据病史及体格检查,苏杭判断刘奶奶很可能是后循环大血管闭塞,立即陪同患者进行了头颈部加强CT扫描检查,结果显示刘奶奶的基底动脉主干闭塞!基底动脉是为脑干供血的主要动脉,而脑干是中枢神经系统的重要部位,可以说是维持人体正常呼吸、心跳的“司令部”,一旦基底动脉主干闭塞,脑干大面积梗死,患者轻则四肢瘫痪,重则危及生命!

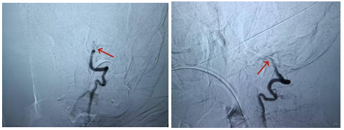
▲术前造影:基底动脉主干闭塞
情况万分危急,苏杭与家属充分沟通,告知患者病情的危重情况,并提出了紧急进行神经介入手术治疗——基底动脉取栓手术的办法。但刘奶奶年事已高,动脉硬化严重,手术风险也远高于常人。经家属商议后,同意接受取栓手术。
苏杭立即联系神经内科介入团队组长副主任医师李军连夜赶来医院参加救治。他与苏杭联手,会同一并赶来的医院导管室技师护士们,迅速开展救治工作。在凌晨2点,紧张有序的手术开始了。由于患者高龄,血管迂曲和钙化严重,手术面临诸多困难。但在团队的共同努力下,成功在右侧大脑后动脉及基底动脉闭塞段置入并成功释放取栓支架。5分钟后,待血栓与支架充分缠结,负压吸引下医生们小心翼翼地撤出取栓支架,上面粘附着一条约7mm的暗红色血栓,复查造影,基底动脉成功开通,刘奶奶的生命通道终于被打通了!同时也再次刷新了医院神经内科介入团队为超高龄患者成功进行急诊取栓手术并取得良好预后的记录。

▲术后:基底动脉开通,血栓取出,术后复查核磁
术后,刘奶奶很快恢复清醒,肢体活动也逐渐恢复良好。经过神经内科医护人员的悉心照料,住院10天后,刘奶奶顺利转至社区医院,开启了下一阶段的康复治疗。祝愿刘奶奶早日康复,能在春节来临之际,与家人共享冬日暖阳下的欢聚时刻。

急性脑梗死是一种严重威胁人类健康的疾病。它是由于脑部血液供应障碍,导致脑组织缺血、缺氧,进而引发局部脑组织的缺血性坏死的一组疾病。这一疾病具有发病率高、致残率高、死亡率高、复发率高的特点,因此被称为危害人类健康的“第一杀手”。在急性脑梗死的治疗中,脑动脉取栓术作为一种先进的微创介入技术,正逐步成为挽救患者生命、减少致残率的重要手段。
脑动脉取栓术是一种通过微创介入技术,将闭塞脑血管内的血栓取出,恢复脑血流的手术治疗方法。这一技术通常经股动脉或桡动脉等路径进行穿刺,借助取栓支架、抽吸导管等材料,将闭塞部位的血栓直接取出体外,从而实现对闭塞脑血管的再通。
脑动脉取栓术并非适用于所有急性脑梗死患者,其适应症和时机至关重要。一般来说,大血管闭塞导致的急性脑梗死患者更适合接受取栓治疗。这类患者通常具有较高的致残率和死亡率,而取栓治疗能够迅速恢复脑血流,减少脑组织的坏死范围。
关于取栓治疗的时机,越早越好。发病6小时内到达医院的大血管闭塞患者,可首选取栓治疗。发病6-24小时内到达医院的大血管闭塞患者,在经过充分评估后,也可接受急诊取栓治疗。需要注意的是,随着发病时间的延长,可挽救的脑组织会逐渐减少,因此尽早开通闭塞血管是治疗的关键。


