近日,北京朝阳医院泌尿外科副主任医师郑鑫带领上尿路修复团队为来自河北的王女士实施了机器人辅助下肾下盏吻合术,成功挽回了她的肾脏功能。
肾下盏吻合术是一种用于治疗输尿管狭窄的高难度复杂手术,其实施过程存在较高的技术难度和挑战。
王女士曾因腰痛就诊于当地医院,检查发现为肾脏结石并伴有肾积水。尽管经历了多次手术,但肾积水问题始终未能得到解决,甚至出现了肾脏功能减退的情况,这让王女士深感困扰。在多方打听后,她慕名找到了朝阳医院泌尿外科郑鑫医生。经过郑鑫的仔细检查,诊断王女士为肾盂闭塞导致的多发肾盏积水,并伴有多发结石。治疗此类疾病的唯一方法就是进行肾下盏吻合术。然而,由于患者之前经历过多次手术,手术区域存在严重粘连,再次手术的难度极大。

肾下盏吻合术
面对如此棘手的病情,郑鑫医师团队在科室领导的大力支持下,迅速组织了多学科专家进行讨论,并进行了详细的术前评估,包括高精度影像学检查以及患者身体状况的全面分析。在多次模拟手术和缜密规划后,团队决定采用机器人辅助技术进行手术。这项技术能够提供更为精细的操作,同时缩短患者的术后恢复时间。

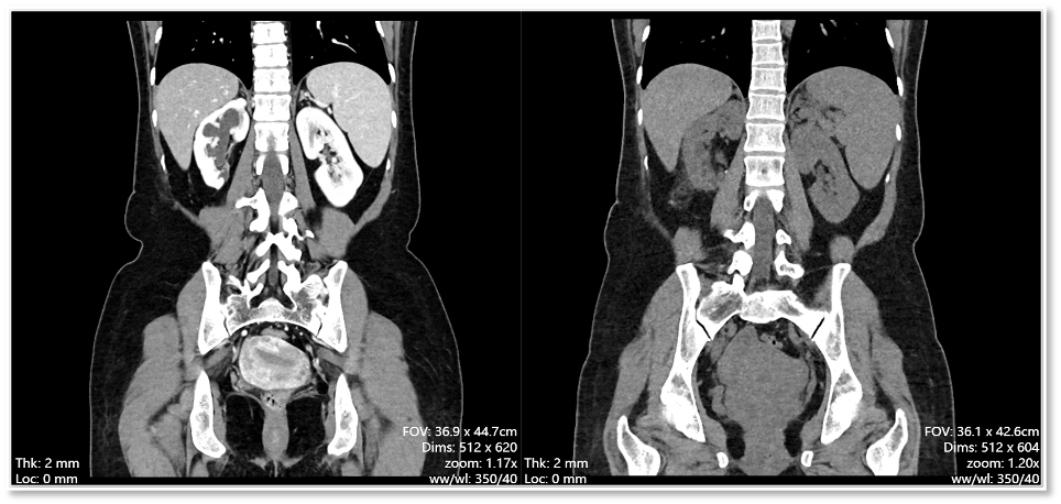
患者术前术后CT对照
手术过程异常艰难。由于患者手术区域严重粘连,组织分辨困难,增加了手术分离和操作的难度,需要耐心逐层剥离粘连组织,以确保不损伤重要结构。此外,在极其狭窄的空间内完成吻合口的缝合也是一大挑战,稍有不慎就可能导致术后尿漏或狭窄复发。然而,郑鑫团队默契配合,历经数小时终于成功完成了肾下盏吻合术,同时取出了患者肾脏内的大量残留结石。
术后,王女士恢复顺利,未出现任何并发症。三个月后的复查结果显示,积水基本消失,肾脏功能也得到了有效保留。

泌尿外科郑鑫医师团队
此例手术从术前的精密规划到术中的高度专注,再到术后的细致护理,都充分展现了泌尿外科医护团队的专业素养和协作精神,也为更多复杂泌尿系疾病患者带来了福音和希望。


