近期,北京市垂杨柳医院心脏中心收治了一位78岁的终末期心衰患者,有明确冠心病病史11年,三支病变并置入两枚冠脉支架;5年前又因心律失常(心房扑动)行射频消融。后反复因为“胸闷、喘憋”辗转多家医院就诊,调整优化药物治疗,效果不佳。本次因“间断喘憋4天”于我院诊治。
患者入院后喘憋,给予改善症状及纠正心衰规范的药物治疗。辅助检查:心电图示:房扑动,心率150bpm;心脏超声示:射血分数是23%,左室舒张末期内径67mm,左房前后径67mm,心脏收缩力减低,室壁运动普遍减低。

本患者病情危重,存在如下问题:
1、重度心力衰竭,左室射血分数23%;
2、冠心病,三支病变——因重度心衰,不能手术;
3、左房重度大,前后径67mm;
4、房扑射频术后,再发房扑伴房颤——因左房太大,不能宜手术。
病情分析:患者面临主要囧境:
1、因重度心衰无法行冠脉造影术,了解冠脉情况,无法解决心肌缺血问题;
2、左房重度增大,心律失常持续时间长久,射频消融成功率低,无法纠正快速且紊乱的心律;
3、心肌缺血、心律失常使心衰恶化;心力衰竭加重心肌缺血和心律失常,三者互为因果,形成恶性循环链。最终导致药物反应差,患者辗转多家知名医院,疗效欠佳。亟需更好的治疗措施,打断这一恶性循环。

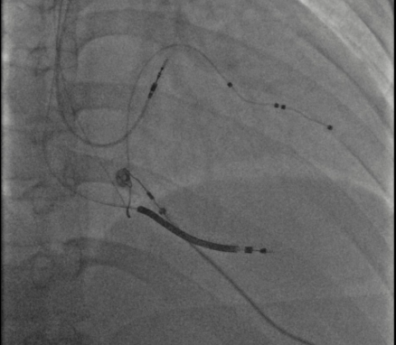
患者收入医院心内科后,给予规范药物治疗;同时,心脏医学中心主任、心脏重症监护室(CCU)主任张俊蒙,会同心内科主任皮林,联合心内科专家围绕患者病情进行讨论,认真分析:患者病情危重,属终末期心衰,且合并冠心病、心律失常,三者互为因果,加重患者症状。经全面评估,决定采用“房室结消融联合永久起搏器植入术”。因患者及家属之前辗转多家大医院,均无有效治疗方案。心衰流行病学研究显示,,心力衰竭患者5年死亡风险近50%,而重度心衰患者1年死亡风险达50%。而这个手术方案无疑给处在绝望的家属一线希望!经与患者及家属沟通,并取得同意后,张俊蒙团队仅用1小时20分即完成难度非常高的三腔起搏器植入术,接着完成房室交界区消融。手术过程顺利,无不良并发症,起搏器程控相关参数良好。


令人惊喜的是,患者术后3周,心功能明显改善,复查心脏超声射血分数是50%,左室舒张末期内径63mm,左房前后径54mm,节段性室壁运动异常。患者自诉心衰症状显著改善。
治疗后分析:这个手术策略不仅有效的治疗了心力衰竭,而且带来了更多的惊喜!首先,患者心功能得到改善,心肌重构得以逆转;其次:使另两个难题——冠脉造介入进而血运重建、射频消融术并恢复窦性心律——成为可能。心功能恢复可耐受冠脉造影,为冠脉介入提供保障;左房径缩小,使患者有机会行房颤、房扑的射频消融并恢复窦性心律。

科普
一、什么是房室结消融联合起搏器植入术?
它是由两个手术组成,一个是起搏器植入术,包括普通双腔、CRT(三腔)起搏器的植入。另一个手术是消融房室结(或房室交界区),目的是阻断房室之间的电连接,从而令快速紊乱的房性心律不影响心室的收缩。

二、哪些患者适合进行房室结消融联合起搏器植入术?
7类持续性房颤合并心衰的患者需要考虑房室结消融联合永久起搏器植入手术治疗:
1.对药物治疗无反应的快速心室率患者
2.房颤消融失败或无法进行(左心房增大、永久性房颤)
3. QRS 持续时间> 130 ms
4.左束支传导阻滞患者
5.有起搏/ ICD适应症的患者
6.需要心脏起搏器/ ICD升级的患者
7.因经济困难而无法承受多次射频消融房颤的患者
心脏医学中心主任、心脏重症监护室(CCU)主任张俊蒙作为医院引进的心血管病专家,带领其团队一起为心血管病患者的健康全面保驾护航。在过去的一年里,张俊蒙主任团队开创了垂杨柳医院近十项技术创新。能独立完成各类心律失常介入手术以及结构心脏病介入手术,包括房颤、房扑、阵发性室上性心动过速、房速、室早、室速的射频消融术;缓慢心律失常的起搏治疗(普通及希浦系统起搏),恶性心律失常的器械植入(ICD/S-ICD)、以及心力衰竭的器械治疗(CRT-D);TAVR、房缺、卵圆孔封堵术、左心耳封堵术等。 手术量迅速增加,救治了众多患者,同时显著提升了垂杨柳医院心脏病学科的整体水平及影响力!
心脏中心简介
垂杨柳医院心脏中心,包括心内科及CCU两个病区,共拥有床位91张,有进口心电监护、呼吸机、心衰超滤设备,主动脉内球囊反搏泵、临时起搏器等设备,主要收治急性心肌梗死、心绞痛、心力衰竭、高血压、心律失常、心肌炎心肌病、心脏瓣膜病和晕厥等心血管常见疾病,并开通胸痛急救绿色通道,全天候开展急性心肌梗死急诊介入治疗。有心导管室3间,其中杂交手术室1间,拥有进口DSA,进口电生理三维标测,血管内超声,冠脉内血流检测仪等设备,可进行冠状动脉介入检查治疗、心电生理检查和消融治疗、永久心脏起搏和除颤器植入、先天性心脏病介入术、右心导管和肺动脉介入检查和治疗。同时包含心脏特殊检查室,拥有超声,18导心电图,内皮功能检测仪,肢体动脉检测仪,动态血压和动态心电图,运动平板心电图,运动心肺测试仪,运动心排量测试仪等先进设备。
张俊蒙

医学博士,Mayo clinic博士后,副主任医师,副教授;垂杨柳医院心脏医学中心主任,心脏重症(CCU)主任;职称:副主任医师。擅长:复杂心律失常射频消融术、起搏除颤器植入、心衰器械治疗、冠心病介入治疗。出诊时间:周一上午专家门诊。
皮林

心内科主任 职称:主任医师。擅长:难治性高血压、顽固性心衰、晕厥、心律失常。出诊时间:周二上午知名专家门诊。


