10余年反复肩颈痛,无法正常入睡。
150分钟手术,切除致压物,释放受压的颈脊髓神经。
术后清醒后疼痛消失,可以安然入睡。
术后24小时,下床正常活动。
……
“这一周跟过山车似的,没想到短短几天,折磨了我10多年的‘老毛病’就好了。”张阿姨(化姓)讲述起这次在首都医科大学附属北京中医医院骨伤科治疗的经历。
67岁的张阿姨患颈椎病十多年了,一直认为“谁还没有颈椎问题啊?”疼了就吃药,晕了就躺会,没有进行系统治疗。没想到,一直不被重视的颈椎病也会敲响警钟。从11月开始,张阿姨的左侧肩膀和胳膊总是麻麻的,疼疼的,走路时还有点不稳。到了夜里,疼痛感逐渐加重。一连吃了几天止痛药,疼痛没缓解,还造成了严重失眠。“那些日子,天一黑我就害怕,那种钻心的疼太可怕了!”在家人的陪伴下,她来到北京中医医院骨伤科就诊。
骨伤科副主任医师陈超接诊了张阿姨,了解既往颈肩痛的病史,结合当时剧烈疼痛的表现,当即让张阿姨做了颈椎CT检查。CT影像显示,张阿姨颈椎后纵韧带骨化,增生骨化的后纵韧带、突出的椎间盘共同向椎管内压迫颈脊髓、神经根,这些致压物是造成颈肩部疼痛、头晕、行走不稳的罪魁祸首。根据影像结果和临床表现,陈超初步诊断张阿姨是混合型颈椎病,需要住院治疗。

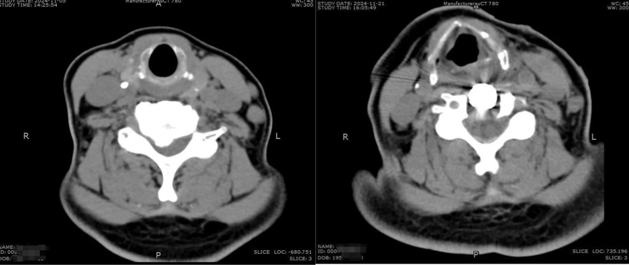
CT影像对比(左图为术前,右图为术后)
住院期间,张阿姨做了全面检查,结果提示她的颈椎管重度狭窄,人体正常颈椎有7块,张阿姨的C4-C7出现了椎间盘突出、后纵韧带骨化,最严重的是C5,骨化的后纵韧带对椎管的侵占率高达70%。颈椎后纵韧带骨柔软的韧带变成了与骨头硬度一样,硬化的后纵韧带和突出的椎间盘共同压迫了颈脊髓和神经根,这也就是导致张阿姨剧烈疼痛的原因。检查中还发现,张阿姨脊髓压迫的范围广泛且较严重,脊髓已经出现变性。当务之急要尽快手术,解除压迫,缓解症状,同时阻止脊髓由于长期受压进一步的恶化。如果进一步发展,可能不仅仅是疼痛麻木,还可能逐渐的丧失了下肢功能,无法正常走路,甚至出现高位瘫痪。
“必须手术啊?我可不敢!”张阿姨听到要手术,心里有些抵触,“手术有风险吗?多久能恢复呢?会不会得躺一两个月?”“阿姨,您的顾虑我能理解。”陈超说,“目前,颈椎手术技术已经很成熟了,根据您的情况,我们会制定一个最佳的方案。一般情况,术后24小时后就能下地活动了。”在陈超的详细解释下,张阿姨打消了顾虑,决定接受手术治疗。
手术有多难?难在哪里?骨伤科主任韦竑宇介绍说:“在骨科脊柱专业,大家共同的认识是脊髓广泛压迫,建议从颈椎后方进行手术,风险小,安全性高。但张阿姨的脊髓压迫来自于颈椎前方,如果从后方手术,仅仅起到间接减压的作用。为了直接从前方切除压迫来源,团队决定采用从前方手术,手术难度更大,技术要求也更高。颈椎中间有像豆腐一样柔软的脊髓通过。张阿姨出现的后纵韧带骨化,坚硬的突出部位压迫柔软的脊髓,就像一块石头压进了豆腐中,就陷入豆腐里,要想办法把石头从豆腐里面挖出来,但又伤不着豆腐,所以技术难度和技术要求比较高。”
术前,韦竑宇带领团队进行了详细规划,切除大范围的硬压迫,不仅需要运用超声骨刀、高速磨钻等设备,还要做好挖掉颈椎骨骼的重建工作。团队利用3D打印技术为张阿姨定制了人工颈椎椎体,确保颈椎的稳定性。

11月20日,手术开始了。韦竑宇团队切除了压迫最重的C5部分椎体,从C4/5、C5/6、C6/7三个间隙水平,向上、向下减压,解除压迫的源头。韦竑宇利用自己设计、制作的微创减压器械,结合超声骨刀、高速磨钻,勾、拨、挑、撬最终得以完整取出了C5椎体后方骨化的后纵韧带。
“手术的难点就在于此,就像是把两个粘连在一起的饺子,在不破皮的情况下完整分开,而且在剥离的过程中,还不能对下方的脊髓有任何刺激。由于颈脊髓在手术前就已经被压迫到没有闪转腾挪的空间,术中稍有不慎,就有可能会造成高位截瘫。”韦竑宇解释道。手术历时两个半小时完成,出血量控制在10毫升左右,避免了大出血压迫气管、脊髓,造成窒息、颈脊髓损伤致命致瘫的风险。
“大夫,我的颈椎和肩膀都不疼了。”手术当天晚上,张阿姨就感觉疼痛消失了。第二天能够自主下床活动,走路也没有之前像踩棉花、不稳当的感觉了。随后几天,责任护士带着张阿姨进行了术后康复功能锻炼,并指导她出院后如何恢复。
“我就要出院了,还挺舍不得你们的。”张阿姨笑呵呵地说:“谢谢你们,现在我不怕黑夜了,终于可以安安稳稳睡觉了。”


